- Kỹ thuật nút giãn Tĩnh mạch dạ dày ngược dòng là gì ?
Tĩnh mạch dạ dày được gọi là giãn khi đường kính > 2mm. Giãn tĩnh mạch dạ dày xảy ra trên những bệnh nhân có tăng áp Tĩnh mạch cửa, mà nguyên nhân chủ yếu ở Việt Nam là xơ gan.



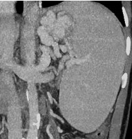
Hình 1: (A) Các vòng nối cửa chủ; (B) giãn TĨNH MẠCH phình vị trên nội soi và (C) trên MSCT
Khác với TM thực quản có thể kiểm soát dưới nội soi thắt vòng cao su, TM dạ dày kiểm soát dưới nội soi rất khó khăn, nhiều nguy cơ, không điều trị dứt điểm được. Khi đó can thiệp nút búi giãn tĩnh mạch dạ dày ngược dòng bằng dù tắc mạch (Plug-assisted retrograde transvenous obliteration – PARTO) là phương pháp hiệu quả cao, an toàn.
- Những bệnh nhân nào được chỉ định với kỹ thuật này?
– Giãn TM dạ dày có nguy cơ vỡ: trên hình ảnh nội soi thấy các búi giãn lớn, có các điểm xung huyết hoặc loét khu trú và tiến triển nhanh.
– Giãn TM dạ dày đã vỡ: tái diễn nhiều lần.
– Giãn TM dạ dày không kiểm soát được bằng điều trị nội khoa, nội soi can thiệp
– Trên hình ảnh MSCT búi giãn được dẫn lưu về shunt vị thận trái.
- Những bệnh nhân nào không phù hợp với kỹ thuật này?
Bệnh nhân có một trong các vấn đề sau:
– Dị ứng thuốc cản quang
– Suy thận: creatinin huyết thanh > 1.5 mg/dl
– Chức năng đông máu quá kém
– Cổ chướng mức độ nhiều, tái diễn do tăng áp lực TM cửa
– Đang có giãn TM thực quản nặng, tiến triển
– Không tồn tại shunt vị thận hoặc shunt vị thận nhỏ
- Để thực hiện kỹ thuật này, bệnh nhân cần chuẩn bị những gì?
– Bệnh nhân được khám lâm sàng với hồ sơ đầy đủ, làm các xét nghiệm thường quy và đánh giá chức năng gan, nội soi thực quản dạ dày.
– Các bệnh nhân có chức năng đông máu kém và dịch ổ bụng nhiều cần điều trị ổn định tình trạng trước can thiệp.
- Trong quá trình thực hiện kỹ thuật, bệnh nhân cần lưu ý điều gì?
Trong quá trình can thiệp bệnh nhân sẽ hoàn toàn tỉnh táo. Vì vậy bệnh nhân cần nghe theo những chỉ dặn của bác sỹ để cùng phối hợp thực hiện phương pháp. Những việc cần làm của bệnh nhân không quá khó khăn, ví dụ: (1) Hít vào nín thở để bộc lộ tốt đường vào khi bác sĩ can thiệp đường vào qua siêu âm; (2) Cần báo ngay những cảm giác bất thường như đau, khó thở, … để bác sĩ kịp thời xử lý.
- Quy trình gồm những bước như thế nào?
a) Trước can thiệp:
– CLVT đa dãy: đánh giá búi giãn, các nhánh đến từ hệ cửa (TM vị trái, TM vị ngắn, TM vị sau), các TM dẫn lưu, đánh giá kích thước, hướng của shunt vị thận, các TM nhỏ lân cận.
– Các xét nghiệm đánh giá chức năng gan thận và đông máu cơ bản.
b) Kỹ thuật can thiệp
Kỹ thuật xâm lấn tối thiểu, chỉ cần can thiệp qua một lỗ chọc tại TM đùi, sau đó luồn dụng cụ dưới hướng dẫn của máy chụp mạch số hóa xóa nền (DSA) vào TM chủ dưới, tiếp cận shunt vị – thận, thả dù tắc mạch (Amplatzer plug), tắc shunt vị thận, tiếp cận búi giãn bơm vật liệu tắc mạch vào trong.
– Kết hợp kỹ thuật xuôi dòng và ngược dòng:

Hình 2: Tiếp cận búi giãn (A) và bơm vật liệu tắc mạch ngược dòng (B)
Trường hợp shunt vị thận lớn việc tắc shunt bằng plug bị hạn chế có thể kết hợp cả hai kĩ thuật xuôi dòng (trình bày ở bài khác) và phương pháp đi ngược dòng.

Hình 3: Kết hợp kỹ thuật ngược dòng (A) và xuôi dòng (B)
- Sau khi thực hiện kỹ thuật, bệnh nhân cần theo dõi thế nào? Phòng ngừa biến chứng ra sao? Khi nào cần báo bác sĩ?
– Theo dõi tình trạng nôn máu và đi ngoài phân đen, mạch, huyết áp, tình trạng đau bụng, sốt nếu có.
– Nội soi đánh giá tình trạng niêm mạc, tình trạng chảy máu, nguy cơ chảy máu của búi giãn.
– Phòng ngừa biến chứng: quan trọng nhất là điều trị bệnh lý nền, nguyên nhân gây tình trạng tăng áp lực TM cửa.
– Bất kỳ tình trạng bất thường gì: đau bụng, nôn máu, đi ngoài phân đen,.. bệnh nhân cần báo ngay cho bác sĩ điều trị
- Kỹ thuật này thực hiện trong bao lâu?
Kỹ thuật PARTO thường diễn ra trong vòng 30phút-1h; những trường hợp cấp cứu có thể chỉ cần 20 phút.
- Ưu điểm, nhược điểm của kỹ thuật này là gì?
Ưu điểm:
– Cải thiện tình trạng tắc mạch hiệu quả. Bệnh nhân hết nôn máu, không giãn lại.
– Thời gian nhanh (có thể chỉ mất 20p nếu làm cấp cứu), phù hợp với các trường hợp xuất huyết tiêu hóa cấp.
– Vật liệu an toàn, chi phí hợp lý: sử dụng dù tắc mạch và spongel, gần như không có biến chứng lớn
Nhược điểm:
Chỉ thực hiện được với BN có shunt vị thận phù hợp
- Có được BHYT chi trả không? Nếu không thì chi phí khoảng bao nhiêu tiền?
Đây là một phương pháp điều trị có chi phí không lớn và bệnh nhân được hưởng BHYT. Đối với những bệnh nhân có BHYT đúng tuyến, tổng số tiền bệnh nhân phải thanh toán sau điều trị sẽ không lớn.
- Hiệu quả sau khi thực hiện kỹ thuật thế nào?
Hiệu quả của kỹ thuật PARTO đã được chứng minh qua các nghiên cứu với tỷ lệ thành công đạt 79% – 100%. PARTO kiểm soát tốt chảy máu tiêu hóa do vỡ TM dạ dày trong 91% – 100% số bệnh nhân.
Nhìn chung kỹ thuật nút búi giãn TM dạ dày là một phương pháp có hiệu quả cao, là sự lựa chọn tốt cho những bệnh nhân xuất huyết tiêu hóa do giãn TM dạ dày.
BS. Trịnh Hà Châu – PGS.TS. Vũ Đăng Lưu
Trung tâm Điện quang

