NÚT MẠCH XUẤT HUYẾT TIÊU HÓA DO VỠ BÚI GIÃN TĨNH MẠCH DẠ DÀY QUA ĐƯỜNG TĨNH MẠCH CỬA

  • Kỹ thuật nút giãn tĩnh mạch dạ dày xuôi dòng là gì ?

Tĩnh mạch (TM) dạ dày được gọi là giãn khi đường kính >2mm. Giãn TM dạ dày xảy ra trên những bệnh nhân có tăng áp tĩnh mạch cửa, mà nguyên nhân chủ yếu ở Việt Nam là xơ gan.

nut mach xuat huyet

 

nut mach xuat huyet 2

nut mach xuat huyet3

 

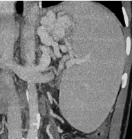
Hình 1: (A) Các vòng nối cửa chủ; (B) giãn TM phình vị trên nội soi và (C) trên MSCT

Khác với TM thực quản có thể kiểm soát dưới nội soi thắt vòng cao su, TM dạ dày kiểm soát dưới nội soi rất khó khăn, nhiều nguy cơ, không điều trị dứt điểm được. Khi đó can thiệp nội mạch có vai trò rất quan trọng. Nút mạch được thực hiện ngược dòng với dù tắc mạch (PARTO), tuy nhiên điều kiện là phải tồn tại shunt vị thận (khoảng 80%). Các trường hợp không có shunt vị thận, hoặc shunt vị thận không phù hợp thì có thể sử dụng phương pháp can thiệp xuôi dòng qua tĩnh mạch cửa (antegrade transvenous obliteration – ATO).

  • Những bệnh nhân nào được chỉ định với kỹ thuật này?

–      Giãn tĩnh mạch dạ dày có nguy cơ vỡ: trên hình ảnh nội soi thấy các búi giãn lớn, có các điểm xung huyết hoặc loét khu trú và tiến triển nhanh.

–      Giãn tĩnh mạch dạ dày đã vỡ: tái diễn nhiều lần.

–      Giãn tĩnh mạch dạ dày không kiểm soát được bằng điều trị nội khoa, nội soi can thiệp.

–      Không tồn tại shunt vị thận hoặc shunt vị thận không phù hợp trên hình ảnh MSCT.

  • Những bệnh nhân nào không phù hợp với kỹ thuật này?

BN có một trong các vấn đề sau:

–      Dị ứng thuốc cản quang

–      Suy thận: creatinin huyết thanh > 1.5 mg/dl

–      Chức năng đông máu quá kém

–      Cổ chướng mức độ nhiều, tái diễn do tăng áp lực tĩnh mạch cửa

–      Đang có giãn tĩnh mạch thực quản nặng, tiến triển

  • Để thực hiện kỹ thuật này, bệnh nhân cần chuẩn bị những gì?

– Bệnh nhân được khám lâm sàng với hồ sơ đầy đủ, làm các xét nghiệm thường quy và đánh giá chức năng gan, nội soi thực quản dạ dày.

– Các bệnh nhân có chức năng đông máu kém và dịch ổ bụng nhiều cần điều trị ổn định tình trạng trước can thiệp.

  • Trong quá trình thực hiện kỹ thuật, bệnh nhân cần lưu ý điều gì?

Trong quá trình can thiệp bệnh nhân sẽ hoàn toàn tỉnh táo. Vì vậy bệnh nhân cần nghe theo những chỉ dặn của bác sỹ để cùng phối hợp thực hiện phương pháp, những việc cần làm của bệnh nhân không quá khó khăn.Ví dụ: (1) Hít vào nín thở để bộc lộ tốt đường vào khi bác sĩ can thiệp đường vào qua siêu âm; (2) Cần báo ngay những cảm giác bất thường như đau, khó thở, … để bác sĩ kịp thời xử lý.

  • Quy trình gồm những bước như thế nào?

a) Trước can thiệp:

          – CLVT đa dãy: đánh giá búi giãn, các nhánh đến từ hệ cửa (TM vị trái, TM vị ngắn, TM vị sau), các TM dẫn lưu, các luồng shunt cửa chủ.

          – Các xét nghiệm đánh giá chức năng gan thận và đông máu cơ bản.

b) Kỹ thuật can thiệp

     Dùng kim Angiocath chọc vào nhánh tĩnh mạch cửa vị trí phân thùy dưới hướng dẫn siêu âm, sau đó dùng dụng cụ can thiệp dưới hướng dẫn của DSA đi vào các nhánh TM cấp máu cho búi giãn bao gồm TM vị trái, TM vị sau và TM vị ngắn, chụp chọn lọc từng nhánh, bơm vật liệu tắc mạch là keo sinh học, chụp đánh giá lại sau mỗi lần chụp để có thể nút tắc triệt để.

nut mach xuat huyet 4

Hình 2: Kỹ thuật xuôi dòng (A) tiếp cận và chụp búi giãn qua tĩnh mạch cửa; (B) nút tắc các nhánh nuôi bằng keo

– Kết hợp kỹ thuật xuôi dòng và ngược dòng:

Trường hợp shunt vị thận lớn việc tắc shunt bằng plug bị hạn chế có thể kết hợp cả hai kĩ thuật xuôi dòng và phương pháp đi ngược dòng.

nut mach xuat huyet 5

Hình 3: Kết hợp kỹ thuật ngược dòng (A) và xuôi dòng (B)

– Đóng đường vào vị trí chọc TM cửa:

+ Sử dụng spongel dạng dải dài đưa vào đường hầm chọc

+ Trong các trường hợp bệnh nhân tình trạng đông máu kém, có thể đóng đường ra bằng dung dịch histoacryl : lipiodol

+ Siêu âm kiểm tra tại vị trí chọc: xem có dịch quanh lách/dịch tự do ổ bụng hay không. Băng tại vị trí chọc.

  • Sau khi thực hiện kỹ thuật, bệnh nhân cần theo dõi thế nào? Phòng ngừa biến chứng ra sao? Khi nào cần báo bác sĩ?

– Theo dõi tình trạng nôn máu và đi ngoài phân đen, mạch, huyết áp, tình trạng đau bụng, sốt nếu có.

– Nội soi đánh giá tình trạng niêm mạc, tình trạng chảy máu, nguy cơ chảy máu của búi giãn.

– Phòng ngừa biến chứng: quan trọng nhất là điều trị bệnh lý nền, nguyên nhân gây tình trạng tăng áp lực tĩnh mạch cửa.

– Bất kỳ tình trạng bất thường nào như đau bụng, nôn máu, đi ngoài phân đen,.. bệnh nhân cần báo ngay cho bác sĩ điều trị

  • Kỹ thuật này thực hiện trong bao lâu?

Kỹ thuật ATO thường diễn ra trong 1h đến 1h30phút tùy vào số nhánh nuôi và mức độ khó khăn khi tiếp cận.

Trong những trường hợp cần kết hợp cả kỹ thuật ATO và PARTO cần nhiều thời gian hơn, thường diễn ra từ 2h – 2h30phút.

  • Có được BHYT chi trả không? Nếu không thì chi phí khoảng bao nhiêu tiền?

Đây là một phương pháp điều trị có chi phí không lớn và bệnh nhân có được hưởng BHYT.

Đối với những bệnh nhân đúng tuyến, tổng số tiền bệnh nhân phải thanh toán sau điều trị sẽ không lớn.

  • Hiệu quả sau khi thực hiện kỹ thuật thế nào?

Các nghiên cứu trên thế giới về kỹ thuật ATO đã chứng minh được hiệu quả của kỹ thuật trong việc cải thiện chức năng gan và tình trạng xuất huyết tiêu hóa cho bệnh nhân xơ gan. Hiện ở Việt Nam chưa có nghiên cứu cụ thể nào về kỹ thuật này, nhưng với những bệnh nhân chúng tôi theo dõi trong vòng 1-3 tháng sau điều trị, các bệnh nhân đi khám lại đều không còn tình trạng xuất huyết tiêu hóa, nôn máu/đi ngoài phân đen.

Nhìn chung kỹ thuật nút búi giãn TM dạ dày xuôi dòng là sự hỗ trợ hoàn hảo cho kỹ thuật nút mạch ngược dòng. Với tất cả các BN xuất huyết tiêu hóa do giãn vỡ TM dạ dày đều có thể được điều trị bằng can thiệp nội mạch với mức độ an toàn và hiệu quả ca

                                                                                                                                                                                                                                                                  BS. Trịnh Hà Châu – PGS.TS. Vũ Đăng Lưu

                                                                                                                                                               Trung tâm Điện quang


086 9587728
[contact-form-7 id="6" title="Đặt hàng"] Đóng
[contact-form-7 id="508" title="Liên hệ"] Đóng