Ung thư phổi là một trong những nguyên nhân gây tử vong hàng đầu trong số các loại ung thư trên thế giới. Ở Việt Nam ung thư phổi cũng là một trong những loại ung thư thường gặp nhất với hơn 26.260 bệnh nhân được phát hiện mới trong năm theo thống kê từ tổ chức ung thư toàn cầu (GLOBOCAN 2020). Với ung thư phổi không tế bào nhỏ (chiếm tới khoảng 85% các trường hợp ung thư phổi), tỷ lệ sống sau 5 năm của bệnh nhân khi ung thư mới chỉ khu trú ở phổi, khi đã lan tràn đến hạch lympho hoặc các cơ quan xung quanh phổi và khi đã di căn xa giảm lần lượt từ 65% xuống 37% và 9%. Với ung thư phổi tế bào nhỏ, số liệu thống kê chỉ còn lần lượt 30%, 18% và 3%.
Như vậy trong ung thư phổi việc chẩn đoán bệnh ở giai đoạn sớm có vai trò rất quan trọng đến kết quả điều trị. Tuy nhiên ở nước ta, phần lớn bệnh nhân vẫn được phát hiện bệnh ở giai đoạn muộn, do đó tỷ lệ chữa khỏi hoàn toàn còn khiêm tốn. Cũng theo thống kê GLOBOCAN 2020, số bệnh nhân tử vong do ung thư phổi trong năm này lên tới 23.797 bệnh nhân.
Trên thế giới đã có các nghiên cứu cho thấy chụp cắt lớp vi tính liều thấp giúp phát hiện sớm và làm giảm nguy cơ tử vong do ung thư phổi tới 20%. Việc sàng lọc được tiến hành trên đối tượng có nguy cơ cao mắc ung thư phổi. Trong một số nghiên cứu trên thế giới, nhóm bệnh nhân này được định nghĩa là người hút thuốc lá từ 30 bao/năm trở lên. Từ kết quả của các nghiên cứu, mạng lưới ung thư quốc gia Hoa Kỳ (National Comprehensive Cancer Network), Lực lượng dịch vụ dự phòng Hoa Kỳ (U.S. Preventive Services Task Force), Hiệp hội ung thư Châu Âu (European Society for Medical Oncology), và nhiều tổ chức quốc tế uy tín khác đã khuyến cáo sàng lọc ung thư phổi bằng chụp cắt lớp vi tính liều thấp ở những bệnh nhân có nguy cơ cao.
Ở Việt Nam, tại Trung tâm Y học hạt nhân và Ung bướu bệnh viện Bạch Mai, chụp cắt lớp vi tính lồng ngực liều thấp cũng đã được các bác sỹ thực hiện thường quy để sàng lọc giúp phát hiện ung thư phổi cho bệnh nhân. Sau đây là hai trường hợp lâm sàng minh họa.
Trường hợp lâm sàng số 1:
Bệnh nhân Bùi V. T., nam, 56 tuổi, đến khám tại Trung tâm Y học hạt nhân và Ung bướu bệnh viện Bạch Mai để được tư vấn, khám, sàng lọc, phát hiện sớm ung thư.
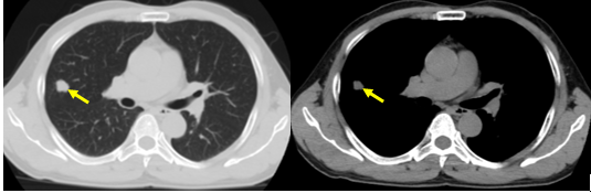
Sau khi hỏi thông tin lâm sàng và khám bệnh, bác sỹ khám bệnh đánh giá bệnh nhân có nguy cơ cao mắc ung thư phổi với tiền sử hút thuốc lá >20 bao/năm. Sau khi chỉ định cho bệnh nhân chụp cắt lớp vi tính lồng ngực liều thấp, bác sỹ đã phát hiện bệnh nhân có khối thùy giữa phổi phải, kích thước 14x15mm, bờ không đều, có các dải xơ mảnh xung quanh co kéo nhu mô phổi, theo dõi u phổi.

Hình 1. Hình ảnh chụp cắt lớp vi tính lồng ngực độ phân giải thấp phát hiện khối thùy giữa phổi phải, kích thước 14x15mm (mũi tên vàng)
Bệnh nhân đã được chỉ định nhập viện để chẩn đoán, đánh giá và điều trị.
Bệnh nhân được chỉ định chọc sinh thiết và kết quả chẩn đoán xác định là ung thư biểu mô tuyến của phổi. Sau đó, bệnh nhân tiếp tục được xét nghiệm đánh giá toàn thân, được hội chẩn và có chỉ định phẫu thuật cắt thùy giữa phổi phải.
Kết quả đánh giá giai đoạn sau mổ là IA (pT1N0M0). Sau phẫu thuật bệnh nhân được theo dõi đinh kỳ và vẫn ổn định cho đến hiện tại.
Như vậy, nhờ có ý thức đi khám sức khỏe ngay từ khi chưa có triệu chứng của bệnh và đã được chỉ định chụp CT liều thấp, nên bệnh nhân đã phát hiện được bệnh ung thư phổi ngay từ giai đoạn rất sớm, từ đó giúp các thầy thuốc đưa ra được phương pháp điều trị triệt căn. Hy vọng bệnh nhân sẽ có cuộc sống bình thường trở lại.
Trường hợp lâm sàng số 2:
Bệnh nhân Vũ Đình L., nam, 69 tuổi, vào viện vì ho khạc đờm lẫn máu và sút 5kg/2 tuần.
Bệnh nhân có tiền sử hút thuốc lá 60 bao/năm (hút 2 bao/ ngày, trong 30 năm), hiện chưa bỏ thuốc). Sau khi thăm hỏi và khám lâm sàng, bác sỹ nghi ngờ bệnh nhân có tổn thương tại phổi và tại gan nên đã cho bệnh nhân chụp cắt lớp vi tính lồng ngực, ổ bụng.
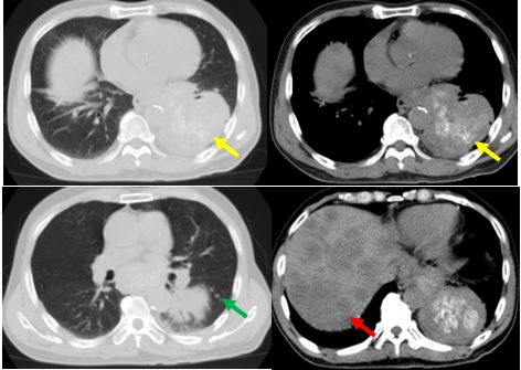
Kết quả phát hiện thấy ở nhu mô thùy dưới phổi trái, sát rốn phổi có khối tổn thương kích thước 75x63mm, ngoài ra rải rác nhu mô thùy dưới có vài nốt đặc, nốt lớn đường kính 4mm và có nhiều hạch trung thất.
Tại gan: nhu mô gan có các khối nốt giảm tỷ trọng trước tiêm, kích thước lớn nhất 75x104mm (theo dõi tổn thương di căn).

Hình 2: Hình ảnh cắt lớp vi tính cho thấy khối thùy dưới phổi trái sát rốn phổi kích thước 75x63mm (mũi tên vàng), nốt đặc thùy dưới phổi trái 4mm (mũi tên xanh) và các khối giảm tỷ trọng lan tỏa nhu mô gan theo dõi thứ phát (mũi tên đỏ)
Sau khi nhập viện vào Trung tâm Y học hạt nhân và ung bướu – Bệnh viện Bạch Mai, bệnh nhân được đánh giá toàn thân, sinh thiết khối u phổi cho kết quả ung thư biểu mô vảy. Bệnh nhân được chẩn đoán ung thư phổi trái di căn gan đa ổ, di căn hạch trung thất. Bệnh nhân không còn khả năng phẫu thuật và đã được điều trị bằng liệu pháp toàn thân.
Như vậy: Bên cạnh các phương pháp sàng lọc phát hiện sớm ung thư như đang được áp dụng hiện nay thì việc sử dụng máy chụp cắt lớp vi tính liều thấp để chụp sàng lọc phát hiện sớm ung thư nói chung và ung thư phổi nói riêng đã giúp chẩn đoán sớm ung thư ở những bệnh nhân có nguy cơ cao mắc ung thư phổi.
GS.TS. Mai Trọng Khoa, BS.Đào Mạnh Phương, PGS.TS. Trần Đình Hà, PGS.TS. Phạm Cẩm Phương (tổng hợp và lược dịch)

