Ung thư phổi di căn, người đàn ông Hà Nội vẫn sống tốt sau 6 năm

Thấy ho ra máu tươi, ông Việt đi khám, được bác sĩ chẩn đoán mắc ung thư phổi giai đoạn cuối đã di căn hạch nhiều nơi.

PGS.TS Phạm Cẩm Phương, Giám đốc Trung tâm Y học hạt nhân và ung bướu, BV Bạch Mai chia sẻ, khi mắc ung thư, rất nhiều người coi đây là “án tử”, nhưng nhiều năm trở lại đây, nhờ cập nhật những tiến bộ trong chẩn đoán và điều trị, tỉ lệ chữa khỏi ung thư ở Việt Nam đã tăng lên nhiều rất nhiều.

Ngay các trường hợp mắc ung thư được coi là ác tính như ung thư phổi cũng có rất nhiều trường hợp sống tốt sau 5 năm.

Điển hình như trường hợp bệnh nhân Đỗ Hiển V., 73 tuổi ở Ba Đình, Hà Nội vẫn sốt tốt sau 6 năm điều trị ung thư phổi.

PGS Phương cho biết, ông V. vốn có tiền sử đái tháo đường, tăng mỡ máu, vẫn uống thuốc thường xuyên, sức khoẻ bình thường.

Ung thư phổi di căn, người đàn ông Hà Nội vẫn sống tốt sau 6 năm

Ông V. không hề đau đớn nhưng ho ra máu, là biểu hiện của ung thư phổi giai đoạn muộn 

Tuy nhiên cuối năm 2014, ông đột nhiên ho ra máu đỏ tươi lượng ít, ngày 1-2 lần, dù không hề ho, không khó thở, đau tức ngực hay sút cân.

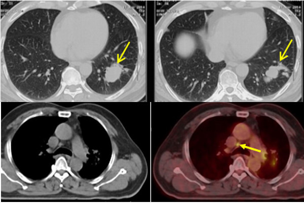
Khi thăm khám tại BV Bạch Mai, bác sĩ phát hiện trên phổi của ông có khối u khá lớn, kích thước 4,7 x2,9 cm. Qua xét nghiệm sinh thiết, bác sĩ khẳng định ông mắc ung thư phổi không phải tế bào nhỏ, giai đoạn 4, di căn hạch nhiều nơi, được chuyển vào Trung tâm Y học hạt nhân và ung bướu điều trị.

Do ung thư đã di căn, bệnh nhân được chỉ định phác đồ hoá chất 9 chu kỳ, kết hợp điều trị các bệnh nền sẵn có như tiêm insulin hàng ngày điều trị đái tháo đường, uống thuốc hạ mỡ máu và kết hợp nâng cao thể trạng.

1 năm sau, bệnh nhân thấy sức khoẻ tốt lên, khối u ở phổi trái đã xơ hoá, tuy nhiên phổi phải vẫn còn các nốt mờ rải rác. Bác sĩ chỉ định thay vì truyền đường tĩnh mạch, bệnh nhân dùng thuốc hoá chất dạng uống, tái khám định kỳ.

3 năm sau khi làm cắt lớp vi tính lồng ngực, khối u ở phổi đã tan biến hoàn toàn, ông V. ăn ngủ tốt.

Mọi thứ vẫn diễn biến tốt cho đến năm thứ 4 (2018), khi kiểm tra PET/CT để đánh giá tổng quát, bác sĩ lại phát hiện phổi trái tái phát khối u, kích thước 4,6×1,9 cm, lan sang phổi phải và di căn lên hạch thượng đòn, hạch trước. Bệnh nhân tiếp tục được điều trị duy trì bằng hoá chất dạng uống.

Đến nay, sau 2 năm kể từ ngày tái phát, ông V. chưa phát hiện thêm các tổn thương bất thường, khối u ở phổi chỉ còn rất nhỏ. Bệnh nhân đang tiếp tục duy trì thuốc hoá trị uống và theo dõi sức khoẻ định kỳ tại bệnh viện.

Từ trường hợp của bệnh nhân V. sẽ tiếp thêm nhiều hy vọng cho các bệnh nhân ung thư khác. Hiện nay, các nước phát triển đã coi ung thư như bệnh mãn tính, tương tự bệnh tiểu đường, tim mạch…

Theo PGS Phương, ung thư phổi là ung thư phổ biến nhất trên thế giới trong nhiều thập kỷ qua. Mỗi năm có 2,1 triệu trường hợp mới mắc, trong đó có tới 1,8 triệu ca tử vong. Đây là bệnh ung thư phổ biến nhất ở nam giới trên toàn thế giới (chiếm 16,7% tổng số ung thư ở nam giới).

Ung thư phổi di căn, người đàn ông Hà Nội vẫn sống tốt sau 6 năm

Hình ảnh khối u ở phổi bệnh nhân V. (2 ảnh trên) và hình ảnh khối u thu nhỏ sau điều trị

Tại Việt Nam, ung thư phổi xếp thứ hai sau ung thư gan, mỗi năm có hơn 23.000 người mắc mới nhưng có tới 88% tử vong, tương đương gần 21.000 người.

GS Mai Trọng Khoa, nguyên Phó giám đốc Bệnh viện Bạch Mai cho biết, ung thư phổi được xếp vào loại ung thư khó phát hiện sớm.

Bệnh gồm 2 nhóm khác nhau: Ung thư phổi tế bào nhỏ (chiếm 15-20%) và Ung thư phổi không phải tế bào nhỏ (chiếm 80-85%), trong đó ung thư phổi tế bào nhỏ là thể ác tính hơn.

Trong các yếu tố nguy cơ gây ung thư phổi, thuốc lá là nguyên nhân hàng đầu. Hơn 90% trường hợp nam giới ung thư phổi có nghiện thuốc là và 80% nữ giới ung thư phổi có liên quan đến thuốc lá. Ngoài ra môi trường nhiễm độc và yếu tố di truyền cũng là những nguy cơ gây ung thư phổi.

Dù là ung thư phổ biến song triệu chứng sớm của ung thư phổi thường nghèo nàn và ít đặc hiệu. Vì vậy phần lớn các trường hợp phát hiện ung thư phổi đều ở giai đoạn muộn với các triệu chứng như ho dai dẳng tăng dần, ho ra máu kèm theo đau ngực, khó thở, sụt cân nhanh và các triệu chứng ở các cơ quan bị di căn nếu có.

Nguồn: https://vietnamnet.vn


086 9587728
[contact-form-7 id="6" title="Đặt hàng"] Đóng
[contact-form-7 id="508" title="Liên hệ"] Đóng