Một nam thanh niên 35 tuổi sau nhiều năm nghiện món tiết canh đã nhập viện trong tình trạng hôn mê, phải mổ cấp cứu do bị sán “ăn” não.

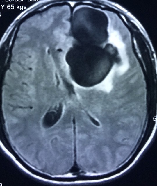
Hình ảnh tổ sán “ăn” một phần trong não – Ảnh: Bác sĩ cung cấp
Bác sĩ Nguyễn Đức Liên, Trưởng Khoa Thần kinh, Bệnh viện K Trung ương, cho biết các bác sĩ ở đây vừa tiến hành phẫu thuật cấp cứu một trường hợp là nam thanh niên 35 tuổi, ở tỉnh Lào Cai, bị hôn mê do sán làm tổ trong não.
Trước đó khoảng 2 tuần, bệnh nhân vốn luôn “khoá khẩu” món tiết canh có dấu hiệu đau đầu, choáng váng, sốt, lên cơn co giật. “Tại thời điểm nhập viện, bệnh nhân hôn mê. Kết quả chụp cắt lớp vi tính phát hiện bệnh nhân có một khối u lớn trong não dạng nang, nghi ngờ trong não có nang sán hoặc khối u. Với những bệnh nhân tỉnh táo, bác sĩ sẽ chụp cộng hưởng từ để đánh giá kết quả chính xác hơn nhưng do bệnh nhân đã hôn mê nên được chỉ định mổ ngay lập tức. Kết quả, khi mổ ra các bác sĩ phát hiện một tổ nang sán lớn như chùm nho có kích thước 5 cm x 6 cm làm tổ trong não. Sau mổ, bệnh nhân phải hồi sức 3 ngày mới tỉnh trở lại và được điều trị tích cực” – bác sĩ Liên nói.
Trước đó 1 tuần, cũng Khoa Ngoại thần kinh đã tiếp nhận bệnh nhân nam 54 tuổi, ở Hà Giang, nhập viện trong tình trạng đau đầu, hay quên. Kết quả chụp cộng hưởng từ cho thấy bệnh nhân có nang sán dây lợn trong não kích thước 4 cm x 5 cm. Bệnh nhân có thói quen ăn tiết canh, rau sống. Sau phẫu thuật bóc toàn bộ nang sán, bệnh nhân tỉnh táo trở lại và được bác sĩ hướng dẫn từ bỏ thói quen ăn tiết canh, uống thuốc tẩy giun định kỳ 6 tháng một lần.

Các bác sĩ phẫu thuật vét khối nang sán trong não bệnh nhân
Theo bác sĩ Liên, đặc điểm của các trường hợp sán lợn là bệnh nhân có dấu hiệu đau đầu, co giật do sán gây viêm màng não hoặc làm tổ nang sán chèn lên não, nên bị nhầm lẫn với viêm màng não, u não. Ngoài ra, người bị nhiễm sán có thể có các nốt ở dưới da và cơ như bị nhiễm bệnh “lợn gạo” gây chẩn đoán nhầm với các nguyên nhân đau cơ khác. Sán dây lợn thường phát triển ở trong tổ chức cơ, hoặc di chuyển lên phổi, di chuyển lên não. Một số bệnh nhân chỉ tìm đến bệnh viện khi tình trạng bệnh đã nặng, dẫn đến những triệu chứng như: Động kinh, co giật hoặc nổi u dưới da. Khi được hỏi, hầu hết bệnh nhân cho biết họ có thói quen ăn tiết canh; thịt tái, sống; gỏi; rau sống…
Giới chuyên môn cho biết sán dây lợn là một dạng ký sinh trùng trên cơ thể lợn. Sán xâm nhập vào cơ thể người có thể do ăn phải loại thực phẩm từ thịt lợn bị nhiễm ấu trùng sán hoặc trứng sán; ăn rau sống không được rửa sạch… Trứng và ấu trùng sán dây lợn trong thịt lợn thường giống như hạt gạo. Sán khu trú ở trong các bắp thịt lợn (thịt nạc vai nhiều nhất), óc, đặc biệt các hạt gạo tập trung chủ yếu phần nhiều gân và mỡ của lợn. Những phần trên cũng thường được dùng để chế biến tiết canh. Sán lợn sang người sẽ di chuyển khắp nơi trong cơ thể, nhưng “vùng đất” lý tưởng nhất của nó là não và vùng dưới da. Sán lợn lên não sẽ chèn ép não, gây nên những tổn thương vùng não dẫn đến hiện tượng giảm trí nhớ, mất trí nhớ, đau đầu và động kinh co giật.
Rượu không “giết” được giun sán, vi khuẩn
Bác sĩ Nguyễn Đức Liên cảnh báo nhiều người ăn tiết canh thường nghĩ uống rượu để diệt vi khuẩn, diệt giun sán, nhưng thực tế trứng giun sán không thể tiêu diệt bằng rượu, bia. Do đó, để phòng bệnh cần tuân thủ nguyên tắc ăn chín uống sôi; vệ sinh tay trước khi ăn. Người lớn, trẻ nhỏ cần tẩy giun định kỳ 6 tháng – 1 năm/lần; không ăn tiết canh, thịt lợn tái, nội tạng không bảo đảm, không rõ nguồn gốc; tăng cường vệ sinh môi trường, giữ gìn nơi ở, vườn tược sạch sẽ…

