Hiện tượng giảm độ pH dẫn tới sự khử khoáng gây mất khoáng bắt đầu ở dưới bề mặt men, tổn thương lâm sàng mất 10% lượng chất khoáng được gọi là tổn thương sâu răng giai đoạn sớm. Tổn thương này được biểu hiện bởi các đốm trắng trên lâm sàng và thường khó phát hiện hoặc dễ bỏ qua. Tuy nhiên tổn thương sâu răng ở giai đoạn này có thể hoàn nguyên được bằng các biện pháp tái khoáng hoá.
Các phương pháp khám và chẩn đoán sâu răng giai đoạn sớm
Lâm sàng:
Tổn thương thường thấy là các đốm trắng trên bề mặt nhẵn hoặc hố rãnh men răng.
Các tổn thương này có thể thấy ở trạng thái ướt hoặc sau khi đã thổi khô. Những đốm trắng nhìn thấy khi thổi khô có khả năng phục hồi cao hơn những đốm trắng nhìn thấy ngay ở trạng thái ướt.
Các tổn thương sâu răng giai đoạn sớm được xác định bằng mắt thường và các phương tiện hỗ trợ chẩn đoán như Laser huỳnh quang, ánh sáng xuyên sợi, đo điện trở men…. không được thăm khám bằng thám trâm để tránh làm sập lớp bề mặt của tổn thương.

Thăm khám cho bệnh nhân tại Khoa Răng hàm mặt, Bệnh viện Bạch Mai
Các phương tiện hỗ trợ chẩn đoán
Laser huỳnh quang hiện đang là một trong những phương pháp được phát triển và ứng dụng rộng rãi để chẩn đoán sâu răng giai đoạn sớm trong cộng đồng, đặc biệt là ở vị trí hố rãnh nghi ngờ và các tổn thương sâu răng dạng ẩn (hidden caries) với độ chính xác trên 90%. Kiểm soát tổn thương, đánh giá kết quả tái khoáng hóa các tổn thương sâu răng ở giai đoạn sớm. Tuy nhiên chi phí giá thành cao.
Kỹ thuật DIFOTI (digital imaging fiber – optic trans – illumination): Được sử dụng để phát hiện sớm các tổn thương sâu răng và các vết nứt, rạn vỡ ở các bề mặt của răng, đặc biệt là ở mặt bên trước khi nó xuất hiện trên X-quang. Phát hiện các tổn thương sâu thứ phát. Kiểm soát việc trám bít có hiệu quả. Đây là phương pháp lý tưởng nhất trong việc thay thế cho chụp phim cánh cắn để phát hiện tổn thương sâu ở mặt bên.
Kỹ thuật QLF (quantitative light flourescence): Phát hiện sớm tổn thương sâu răng ở mặt nhai, mặt ngoài, mặt trong của răng, xác định kích thước tổn thương (độ sâu, rộng). Đánh giá được sự thay đổi mức độ mất khoáng tiến triển hay tái khoáng của tổn thương, do đó được dùng để kiểm soát sự phục hồi của tổn thương trong điều trị dự phòng. Phát hiện và định lượng được mảng bám răng, cao răng. Tuy nhiên hạn chế trong việc phát hiện và đánh giá tổn thương mặt bên.
Điều trị
Điều trị các tổn thương
Các tổn thương này được điều trị bằng các phương pháp tái khoáng hóa mạnh để bù khoáng và các tổn thương này có thể hoàn nguyên được, không cần khoan trám và hàn răng.
Các phương pháp điều trị tổn thương sâu răng giai đoạn sớm sử dụng vecni NaF 5% (bôi 3-6 tháng một lần), gel florua photphat axit hóa (APF) 1,23% (bôi 3-6 tháng một lần) hoặc nước súc miệng NaF 0,2% (một lần mỗi tuần) kết hợp trám bít hố rãnh với các tổn thương sâu răng chưa hình thành lỗ sâu ở hố rãnh.

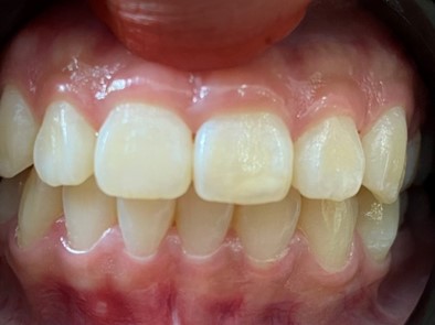
Hình ảnh sâu răng sớm trên lâm sàng
Điều trị dự phòng
Các biện pháp Flour: Flour là biện pháp hiệu quả nhất trong phòng ngừa bệnh sâu răng.
Trám bít hố rãnh.
Kiểm soát chế độ ăn và chăm sóc răng miệng theo hướng dẫn của nha sỹ.
Thăm khám định kỳ và thường xuyên là biện pháp tốt nhất để phát hiện, chẩn đoán và điều trị kịp thời các tổn thương.
Hãy đến với Khoa Răng Hàm Mặt – Bệnh viện Bạch Mai để được khám, tư vấn và được áp dụng các phương pháp điều trị một cách hiệu quả và chính xác nhất!

