U phì đại tuyến tiền liệt (BPH) là tình trạng tăng sản không phải ung thư của tuyến tiền liệt, xảy ra chủ yếu ở phần chuyển tiếp của tuyến tiền liệt, gây chèn ép niệu đạo và ảnh hưởng đến quá trình tiểu tiện.
Các triệu chứng chính của BPH bao gồm tiểu khó, tiểu rắt, tiểu nhiều lần, tiểu đêm và bí tiểu gây giảm chất lượng cuộc sống. Nếu không được điều trị đúng cách, bệnh có thể dẫn đến các biến chứng nghiêm trọng như nhiễm trùng đường tiểu, sỏi bàng quang và suy thận và làm giảm nghiêm trọng chất lượng sống.
Nút mạch tuyến tiền liệt – phương pháp điều trị hiện đại, ít xâm lấn
Nút mạch tuyến tiền liệt (Prostatic Artery Embolization – PAE) là kỹ thuật can thiệp nội mạch tiên tiến, hiệu quả và ít xâm lấn, đang được triển khai hiệu quả tại Viện Điện quang Chẩn đoán và Can thiệp, Bệnh viện Bạch Mai. Thay vì phẫu thuật cắt bỏ tuyến tiền liệt, bác sĩ sẽ điều trị từ bên trong mạch máu, giúp người bệnh hồi phục nhanh và giảm tối đa rủi ro.
Kỹ thuật này sử dụng các hạt vi cầu hoặc keo sinh học được tiêm vào động mạch tuyến tiền liệt, để làm giảm lượng máu cung cấp cho tuyến tiền liệt. Quá trình tắc nghẽn gây ra hoại tử thiếu máu cục bộ các mô tuyến tiền liệt, dẫn đến giảm kích thước tuyến và cải thiện các triệu chứng của u phì đại tuyến tiền liệt gây ra, giảm các triệu chứng rối loạn tiểu tiện. Nói cách khác, đây là phương pháp “làm nhỏ tuyến tiền liệt mà không cần mổ”.

Hình ảnh dựng hình động mạch chậu trong 3D xác định động mạch tuyến tiền liệt và đánh giá tưới máu động mạch tuyến tiền liệt bằng conebeam CT
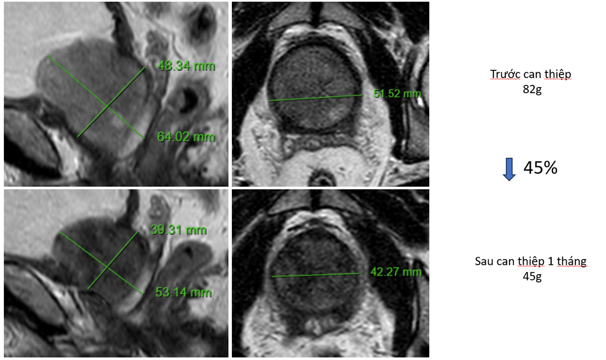
Hình ảnh tuyến tiền liệt giảm 45% thể tích, IPSS từ 26 xuống 6 điểm. QoL từ 4 xuống 1 điểm sau 1 tháng can thiệp
Ai nên cân nhắc nút mạch tuyến tiền liệt?
Nút động mạch tuyến tiền liệt (PAE) được chỉ định cho các bệnh nhân mắc u phì đại tuyến tiền liệt (BPH) với các triệu chứng đường tiểu dưới mức độ trung bình đến nặng, không đáp ứng với điều trị nội khoa (thuốc) hoặc phẫu thuật truyền thống (cắt đốt tuyến tiền liệt)
Phương pháp này đặc biệt phù hợp với: Bệnh nhân có tuyến tiền liệt lớn (từ 40ml trở lên), đặc biệt là những bệnh nhân có tuyến tiền liệt rất lớn (>80-100ml) mà phương pháp nội soi cắt đốt không hiệu quả. Bệnh nhân có các triệu chứng đường tiểu dưới từ trung bình đến nặng như tiểu khó, tiểu rắt, tiểu đêm, bí tiểu không hoàn toàn hoặc bí tiểu cấp tính tái phát, gây ảnh hưởng nghiêm trọng đến chất lượng cuộc sống. Bệnh nhân không đủ điều kiện phẫu thuật hoặc có nguy cơ phẫu thuật cao. Bệnh nhân cao tuổi, mắc bệnh lý nền nặng như tim mạch, suy thận, bệnh lý đông máu. Bệnh nhân muốn lựa chọn phương pháp điều trị ít xâm lấn, nhanh hồi phục và không cần nằm viện lâu.
Kỹ thuật nút mạch tại Bệnh viện Bạch Mai
Tại Bệnh viện Bạch Mai, quy trình nút mạch được thực hiện theo chuẩn quốc tế. Khám và đánh giá kỹ lưỡng. Bệnh nhân được làm các xét nghiệm cần thiết như: Siêu âm, xét nghiệm PSA. Chụp MRI hoặc CT mạch máu vùng chậu. Đánh giá toàn trạng và bệnh lý đi kèm. Thực hiện thủ thuật. Chỉ cần gây tê tại chỗ, không gây mê. Tiến hành qua đường động mạch đùi hoặc động mạch quay, cánh tay tùy trường hợp. Toàn bộ quá trình được theo dõi bằng hệ thống chụp mạch số hóa xóa nền (DSA) hiện đại, để giám sát việc tắc nghẽn và đảm bảo không có tắc nghẽn ngoài mục tiêu.

Các bác sĩ Viện Điện quang Chẩn đoán và Can thiệp, Bệnh viện Bạch Mai thực hiện Nút mạch điều trị u phì đại tuyến tiền liệt cho người bệnh.
Sau khi thực hiện thủ thuật, bệnh nhân sẽ được theo dõi tại bệnh viện và thường chỉ cần nằm viện từ vài giờ đến 1 ngày. Có thể sớm trở lại sinh hoạt bình thường. Các triệu chứng sau can thiệp phần lớn diễn ra nhẹ và thoáng qua, như: Đau âm ỉ vùng chậu. Tiểu máu nhẹ tạm thời trong thời gian ngắn, thường tự hết mà không cần điều trị. Sốt nhẹ 1-2 ngày… Các biến chứng nặng rất hiếm gặp khi thủ thuật được thực hiện đúng kỹ thuật và theo dõi chặt chẽ.
Hiệu quả điều trị đã được chứng minh. Theo dõi lâm sàng tại Bệnh viện Bạch Mai, tuyến tiền liệt giảm trung bình 30 – 40% thể tích và trên 90% người bệnh cải thiện rõ rệt triệu chứng. Giảm đáng kể tiểu đêm, tiểu khó, bí tiểu, tiểu rắt. Nhiều bệnh nhân lớn tuổi thoát khỏi tình trạng phụ thuộc sonde tiểu. Đặc biệt, có những trường hợp bệnh nhân trên 90 tuổi, tuyến tiền liệt rất lớn, sau nút mạch tiểu tiện gần như bình thường chỉ sau vài tuần.
Nút mạch tuyến tiền liệt không thay thế hoàn toàn phẫu thuật, nhưng là giải pháp an toàn – hiệu quả – nhân văn cho nhiều người bệnh, nhất là những trường hợp tuổi cao, nhiều bệnh nền.
Với đội ngũ bác sĩ can thiệp giàu kinh nghiệm cùng hệ thống trang thiết bị hiện đại, Bệnh viện Bạch Mai đang từng bước mang các kỹ thuật y học tiên tiến đến gần hơn với người dân, giúp người bệnh sống khỏe – sống nhẹ nhàng hơn mỗi ngày.

