Các bác sĩ Trung tâm Điện quang, Bệnh viện Bạch Mai vừa thông báo ca lâm sàng hiếm gặp, lần đầu tiên được can thiệp thành công tại Việt Nam. Sau 90 phút “đấu trí” với tử thần, các bác sĩ đã “giành” lại sự sống từ lưỡi hái tử thần cho sản phụ 33 tuổi trở lại với 3 con thơ.
Mới đây, Trung tâm Điện quang, Bệnh viện Bạch Mai vừa tiếp nhận sản phụ 33 tuổi từ tuyến dưới chuyển lên. Bệnh nhân nhập viện với tình trạng mất máu nghiêm trọng. Chỉ số hồng cầu của người bệnh chỉ còn 1,4 triệu (bình thường là 4,5-5,5 triệu hồng cầu); HST 44 G/L, HGB 0,13 l/l. Theo bệnh án chuyển tuyến, sản phụ sinh thường (con thứ 3). Sau khi sinh, tử cung không co hồi gây chảy máu liên tục – dân gian gọi là băng huyết. Tại bệnh viện tỉnh, để cứu sống sản phụ, các bác sĩ buộc phải tiến hành cắt tử cung để cầm máu. Tuy nhiên, máu vẫn chảy không ngừng qua đường âm đạo và trong ổ bụng rất nhiều dịch máu. Mạch nhanh lên 120 lần/ phút, huyết áp giảm 90/60mmHg.
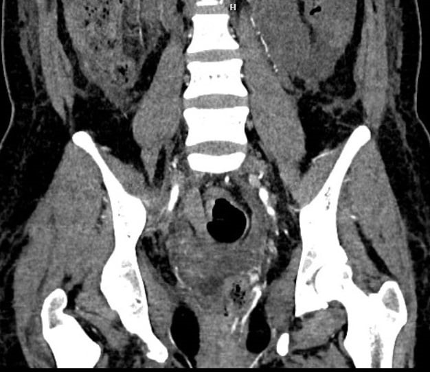
Trước diễn tiến ngày càng nguy kịch, các bác sĩ bệnh viện tỉnh đã hội chẩn trực tuyến qua điện thoại với Trung tâm Cấp cứu A9, Bệnh viện Bạch Mai. Kết quả buổi hội chẩn từ xa qua Telehealth, bệnh nhân được chuyển tuyến cấp cứu lên Trung tâm Điện quang, Bệnh viện Bạch Mai. Tại Bạch Mai, các bác sĩ của Trung tâm Cấp cứu A9 và Trung tâm Điện quang lập tức hội chẩn cấp cứu để đưa ra phương án chẩn đoán và điều trị cho người bệnh. Kết quả chụp MSCT cho thấy, bệnh nhân bị tổn thương chảy máu từ mạch máu quanh trực tràng. Những quyết định, phác đồ xử trí được hoạch định chớp nhoáng, bởi lẽ, nếu muộn hơn một chút thôi, bệnh nhân sẽ dẫn tới biến chứng rối loạn đông máu, suy gan, suy thận và tổn thương não,…

Hình ảnh thoát thuốc vị trí động mạch tử cung trái và quanh trực tràng

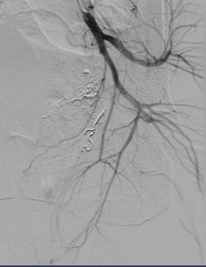
sau nút mạch quanh động mạch trực tràng

Sau nút mạch động mạch mạc treo tràng dưới
Sau 90 phút cân não, bằng tất cả trí lực và hệ thống trang thiết bị hiện đại, kíp bác sĩ Trung tâm Điện quang đã làm nên kỳ tích trong lịch sử điện quang can thiệp Việt Nam. Nhớ lại khoảnh khắc “đấu trí” với tử thần đó, BSCKII. Phan Hoàng Giang, người trực tiếp thực hiện ca can thiệp cho biết: “Đây là lần đầu tiên, chúng tôi gặp trường hợp chảy máu sau đẻ mà nguồn gốc lại từ động mạch mạc treo tràng dưới. Ca lâm sàng này rất hiếm gặp trên thế giới. Ca được báo cáo lần đầu tiên là vào năm 2015. Và trong một nghiên cứu lên đến 783 bệnh nhân thì chỉ có 8 bệnh nhân mắc (chiếm 1% các trường hợp chảy máu sau đẻ). Với những bệnh nhân đã cắt tử cung càng khó khăn trong quá trình tìm động mạch tử cung nhằm cầm máu và gây tắc. Ca sản phụ này khá phức tạp và mất nhiều thời gian hơn so với ca chảy máu sau đẻ thông thường. Bình thường, chúng tôi chỉ gây tắc nhánh mạch tổn thương và cầm máu tạm thời động mạch chậu trong hai bên. Tuy nhiên với bệnh nhân này, chúng tôi cần tìm thêm các nhánh chảy máu quanh trực tràng, gồm 6 nhánh mạch 2 bên: động mạch trực tràng trên, động mạch trực tràng giữa và động mạch trực tràng dưới. Sau khi xác định được nhánh chảy máu, chúng tôi phải lựa chọn vật liệu gây tắc mạch cũng như vị trí can thiệp để không bị hoại tử trực tràng”. Sau 36 tiếng theo dõi an toàn, sản phụ đã được xuất viện, trở về nhà cùng chồng và 3 con thơ.
Đánh giá kết quả của ca can thiệp này PGS.TS. Vũ Đăng Lưu, Giám đốc Trung tâm Điện quang, Bệnh viện Bạch Mai chia sẻ: Có được kết quả này, ngoài nhờ có hệ thống trang thiết bị đồng bộ, hiện đại, Trung tâm Điện quang, Bệnh viện Bạch Mai còn có các nhóm bác sĩ có chuyên môn sâu trong tất cả các lĩnh vực: thần kinh, tiêu hóa, sinh dục tiết niệu, hô hấp, cơ xương khớp, tim mạch… Trung tâm chúng tôi luôn có các hình thức nghiên cứu khoa học: ca lâm sàng, báo cáo staff, review các ca can thiệp, câu lạc bộ tiếng Anh, báo cáo chuyên môn bằng tiếng Anh để các bác sĩ luôn trao dồi vốn ngoại ngữ và có cơ hội cập nhật liên tục các kiến thức lâm sàng cùng bạn bè quốc tế. Các bác sĩ của Trung tâm thường xuyên được tham gia các diễn đàn khoa học, tham dự hội nghị trong nước và quốc tế, đi học các khóa tại nước ngoài… Vì vậy, chúng tôi luôn cập nhật các kiến thức khoa học tiên tiến trên thế giới cũng như khu vực. Do đó, mặc dù chưa gặp ca bệnh nào trên lâm sàng, nhưng nhờ tự học hỏi nên chúng tôi cũng đã thực hiện thành công ca bệnh hiếm và khó. Với ca bệnh cụ thể này, ngoài kiến thức về giải phẫu, các bác sĩ còn cần phải biết lựa chọn vật liệu can thiệp để bệnh nhân sau can thiệp không bị hoại tử trực tràng.
Bằng kiến thức, trí tuệ, trái tim, quyết đoán nhanh – chính xác trong chẩn đoán, điều trị và tinh thần – kỹ năng làm việc nhóm, phối hợp linh hoạt, hài hòa giữa các đơn vị của Bệnh viện Bạch Mai, tập thể các bác sĩ bệnh viện đã cứu thành công người mẹ khỏi lưỡi hái tử thần. Niềm hạnh phúc được trở lại với cuộc đời không chỉ là niềm vui của riêng gia đình người bệnh mà còn là niềm vui của tập thể các bác sĩ Bệnh viện Bạch Mai – một tập thể mạnh, luôn quyết tâm, chung nhịp đập vì sự an toàn và chất lượng sống của người bệnh!
Bài: Đỗ Hằng

