1. Kỹ thuật diệt đám rối thân tạng là gì?
– Đám rối thân tạng (celiac plexus) còn được gọi là đám rối dương (solar plexus) là mạng lưới các dây thần kinh truyền cảm giác đau từ các tạng tầng trên ổ bụng: gan, tụy, đường mật, lách, thượng thận, thận, đoạn thấp thực quản, dạ dày, tá tràng, đại tràng ngang… tới các hạch thân tạng. Đám rối và hạch thân tạng nằm cạnh gốc động mạch thân tạng, mạc treo tràng trên, phía trước động mạch chủ bụng. Cảm giác đau từ các tạng, qua đám rối tạng, hạch tạng, hạch giao cảm tới tủy sống.

Sơ đồ đám rối thân tạng và các tạng chi phối cảm giác
– Kỹ thuật diệt đám rối tạng là kỹ thuật dùng để phá hủy đám rối tạng giúp điều trị đau bụng mạn tính, mức độ nhiều, không đáp ứng với điều trị nội khoa.
2. Những bệnh nhân nào được chỉ định với kỹ thuật này?
– Các bệnh nhân đau bụng kéo dài nhiều ngày, mức độ nhiều, điều trị nội khoa không hiệu quả.
– Bệnh nhân dị ứng, có tác dụng phụ với morphin.
– Đây là giải pháp hàng đầu cho các bệnh nhân đau do ung thư tụy, ung thư di căn vùng quanh đầu tụy – rốn gan từ dạ dày, đại tràng, thực quản, viêm tụy mạn…
– Kiểm soát chứng nôn và buồn nôn ở bệnh nhân tổn thương ác tính ở tụy.
– Kiểm soát chứng rối loạn nhu động sau cắt dây thần kinh phế vị.
3. Những bệnh nhân nào không phù hợp với kỹ thuật này?
– Chống chỉ định tuyệt đối:
+ Bệnh nhân bị rối loạn đông máu hoặc có nguy cơ chảy máu cao.
+ Hạ kali máu.
– Chống chỉ định tương đối:
+ Phình, bóc tách hoặc xơ vữa thành mạch, huyết khối bám thành động mạch chủ bụng. Với đường tiếp cận phía trước thì không có chống chỉ định.
+ Viêm khu trú vùng bụng có nguy cơ nhiễm khuẩn huyết.
+ Tắc ruột cơ học.
+ Nuốt nghẹn do nguyên nhân thực quản, giãn dạ dày do hẹp môn vị.
+ Khối lớn che lấp ranh giới vùng đám rối tạng.
4. Để thực hiện kỹ thuật này, bệnh nhân cần chuẩn bị những gì?
– Thăm khám lâm sàng, xác định mức độ đau dựa trên thang điểm VAS.
– Xét nghiệm đông máu: Không có rối loạn đông máu. Xét nghiệm sinh hóa không có giảm kali máu.
– Bệnh nhân được giải thích về tác dụng cũng như nguy cơ của kỹ thuật. Đây là kỹ thuật được thực hiện khá an toàn, tỉ lệ biến chứng rất thấp < 2%.
– Dừng thuốc giảm đau từ đêm hôm trước khi thực hiện kỹ thuật.
5. Trong quá trình thực hiện kỹ thuật, bệnh nhân cần lưu ý điều gì?
– Cần phối hợp thực hiện các yêu cầu của nhân viên y tế để tiến hành kỹ thuật
– Tùy theo đường tiếp cận từ trước hay sau mà bệnh nhân nằm sấp hay nằm ngửa.
– Thông thường kỹ thuật được thực hiện dưới máy chụp cắt lớp vi tính.
– Tại Trung tâm Điện Quang, Bệnh viện Bạch Mai, thông thường đường chọc kim sẽ qua thành bụng trước nên bệnh nhân sẽ nằm ngửa, để giảm khó chịu cho bệnh nhân khi nằm sấp (đặc biệt là những bệnh nhân ung thư khi nằm sấp kéo dài có thể phối hợp không tốt) và thông thường sử dụng một kim chọc.

Chọc kim vào cạnh gốc ĐM thân tạng

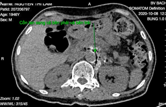
Bơm kiểm tra hỗn hợp thuốc cản quang và gây tê lan quan động mạch chủ bụng

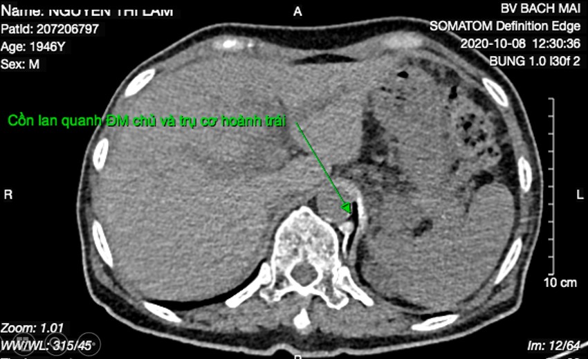
Bơm cồn tuyệt đối lan quanh động mạch chủ bụng
Cồn tuyệt đối lan qua trụ có hoành trái
6. Sau khi thực hiện kỹ thuật, bệnh nhân cần theo dõi thế nào? Phòng ngừa
biến chứng ra sao? Khi nào cần báo bác sĩ?
– Sau khi thực hiện kỹ thuật bệnh nhân được về bệnh phòng và theo dõi toàn trạng, các dấu hiệu sinh tồn trong vòng 24 giờ.
– Khi thấy có biểu hiện bất thường, cần báo ngay bác sĩ để được thăm khám lâm sàng, kiểm tra mạch, huyết áp. Siêu âm ổ bụng để kiểm tra có chảy máu ổ bụng hay không.
– Có một tỉ lệ nhỏ bệnh nhân bị tiêu chảy, hạ huyết áp thế đứng sau can thiệp do hủy vai trò thần kinh giao cảm. Điều trị là bù dịch và điện giải, sau vài ngày sẽ hết.
– Có tỉ lệ rất nhỏ có biến chứng thần kinh như liệt, rối loạn cơ tròn do cồn làm tổn thương động mạch tủy trước.
7. Kỹ thuật này thực hiện trong bao lâu?
Được thực hiện dưới cắt lớp vi tính, trong khoảng thời gian 15-20 phút.
8. Có được BHYT chi trả không? Nếu không thì chi phí khoảng bao nhiêu
tiền?
Kỹ thuật có chi phí thấp vì được thực hiện dưới cắt lớp vi tính, giá bằng với một lần chụp cắt lớp vi tính ổ bụng, và được bảo hiểm y tế chi trả.
9. Hiệu quả sau khi thực hiện kỹ thuật thế nào? Người bệnh giảm đau được
bao nhiêu %?
Kỹ thuật có hiệu quả cao, hiệu quả giảm đau từ 70-90% tùy theo nghiên cứu. Bệnh nhân sau can thiệp không cần phải sử dụng morphin hoặc giảm liều morphin đáng kể. Tác dụng giảm đau kéo dài trong nhiều tháng vì cồn tuyệt đối có tác dụng hủy không hồi phục đám rối thân tạng.
TS. Lê Văn Khảng – PGS.TS. Vũ Đăng Lưu
Trung tâm Điện quang

