Nguyên nhân gây khớp cắn ngược ở trẻ
Khớp cắn ngược có thể xuất phát từ nhiều nguyên nhân:
🔹 Do răng
Răng cửa hàm trên mọc muộn hơn răng hàm dưới
Thói quen trượt hàm ra trước kéo dài
Biểu hiện thường là mặt lõm, gãy
🔹 Do xương hàm
Xương hàm trên kém phát triển hoặc hàm dưới phát triển quá mức
Dị tật khe hở vòm miệng ảnh hưởng đến cấu trúc hàm
🔹 Kết hợp cả răng và xương hàm
Đây là dạng phức tạp, cần được đánh giá bởi bác sĩ chuyên khoa răng hàm mặt

Dấu hiệu nhận biết sớm
Trẻ bị khớp cắn ngược thường có các biểu hiện:
Răng hàm dưới phủ ngoài răng hàm trên
Cung hàm trên hẹp hơn hàm dưới
Mặt nhìn nghiêng có xu hướng “gãy”, cằm nhô
Có thể kèm theo viêm nướu, khó khăn khi ăn nhai
Những ảnh hưởng không nên bỏ qua
⚠️ Ảnh hưởng chức năng ăn nhai
Trẻ khó nhai, dễ biếng ăn; lâu dài có thể ảnh hưởng tiêu hóa và phát triển thể chất
⚠️ Nguy cơ bệnh lý khớp hàm
Sai lệch lực nhai có thể gây rối loạn khớp thái dương hàm
⚠️ Ảnh hưởng thẩm mỹ và tâm lý
Nếu không can thiệp sớm, tình trạng sẽ nặng dần theo sự phát triển của xương hàm, khiến trẻ tự ti
⚠️ Ảnh hưởng phát âm
Trẻ có thể nói ngọng, nói không rõ, ảnh hưởng giao tiếp
Khi nào cần can thiệp?
💡 Các chuyên gia khuyến cáo: Nên đưa trẻ đi khám sớm ngay khi phát hiện dấu hiệu bất thường
👉 Việc điều trị khớp cắn ngược càng sớm sẽ:
✔️ Đơn giản hơn
✔️ Hiệu quả cao hơn
✔️ Hạn chế can thiệp phức tạp về sau
Với trường hợp do răng: có thể điều chỉnh bằng chỉnh nha đơn thuần
Với trường hợp do xương hàm nặng: có thể cần can thiệp chuyên sâu, thậm chí phẫu thuật khi trưởng thành
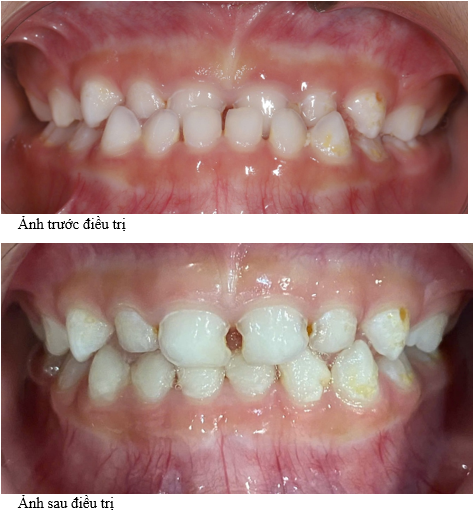
Hiệu quả điều trị sớm
Việc phát hiện và điều trị sớm giúp:
✨ Cải thiện thẩm mỹ khuôn mặt
✨ Phục hồi chức năng ăn nhai
✨ Giúp trẻ tự tin trong giao tiếp và sinh hoạt
| 📍 Địa chỉ khám và điều trị: Khoa Răng Hàm Mặt – Bệnh viện Bạch Mai 🏥 Số 78 Giải Phóng, phường Kim Liên, Hà Nội (Nhà K1 hoặc Nhà F) ☎️ Hotline: 086 958 7708 |

