Khoa Phẫu thuật Tiết niệu – Bệnh viện Bạch Mai ghi dấu ấn quốc tế với kỹ thuật nội soi sau phúc mạc điều trị đồng thời nang thận và sỏi bể thận

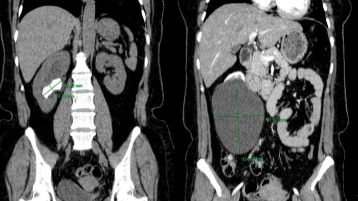
Hình ảnh sỏi thận và nang thận trên phim chụp cắt lớp vi tính và sau phẫu thuật của người bệnh

Nang thận đơn thuần và sỏi bể thận là hai bệnh lý có dịch tễ học khá phổ biến nhưng nhưng hiếm khi xuất hiện đồng thời, do vậy mà các tài liệu về việc lựa chọn phương pháp can thiệp cùng lúc hai bệnh lý này trong một cuộc phẫu thuật cũng rất ít. Thông qua hai ca lâm sàng cụ thể, Tiến sĩ Nguyễn Minh Tuấn – Trưởng khoa Phẫu thuật Tiết niệu cùng ê kíp của mình đã lựa chọn phương pháp ít xâm lấn là phẫu thuật nội soi sau phúc mạc để tiếp cận vấn đề – Phương pháp này giúp hạn chế mất máu, rút ngắn thời gian hồi phục và đặc biệt là điều trị được đồng thời cả hai bệnh lý trong cùng một lần phẫu thuật. Các bệnh nhân đều hồi phục tốt, ra viện sau 5 ngày và không gặp biến chứng sau mổ!

Điểm đặc biệt của nghiên cứu không chỉ nằm ở kết quả điều trị mà còn ở tư duy phẫu thuật: từ việc phối hợp chuyên khoa Chẩn đoán hình ảnh để đánh giá hình ảnh học chi tiết, xác định mối quan hệ giữa nang và sỏi, đến lập kế hoạch tiếp cận tối ưu, đặt trocar chính xác và quyết định mở bể thận để lấy sỏi ngay sau khi xử lý nang. Việc sử dụng duy nhất một đường tiếp cận cho hai mục tiêu phẫu thuật không chỉ giúp tiết kiệm thời gian và chi phí cho người bệnh, mà còn phản ánh năng lực kỹ thuật – tư duy hội nhập – và tinh thần đổi mới của tập thể cán bộ Khoa Phẫu thuật Tiết niệu – Bệnh viện Bạch Mai

Tiến sĩ Tuấn cùng ê-kíp trong ca phẫu thuật cho người bệnh

Thành công của nghiên cứu cũng đánh dấu bước tiến quan trọng trong lộ trình phát triển chuyên môn và hội nhập quốc tế của Khoa. Việc công bố trên một tạp chí Scopus thuộc hệ thống xuất bản của Elsevier không chỉ là minh chứng cho chất lượng chuyên môn mà còn tạo nền tảng thúc đẩy hợp tác đào tạo, nghiên cứu khoa học và chuyển giao công nghệ với các Trung tâm Tiết niệu trên thế giới. Chỉ trong thời gian ngắn từ khi chính thức hoạt động, Khoa Phẫu thuật Tiết niệu – Bệnh viện Bạch Mai đã cho thấy năng lực triển khai kỹ thuật cao, tư duy hiện đại và khả năng hội nhập học thuật vượt bậc. Thành công này là nền móng vững chắc để tiếp tục phát triển các kỹ thuật chuyên sâu hơn trong tương lai, đưa chuyên khoa Tiết niệu Bạch Mai trở thành trung tâm đầu ngành, không chỉ trong nước mà còn trong khu vực.

Link bài báo đầy đủ:

Simultaneous treatment of renal cysts and ipsilateral stones with retroperitoneoscopic surgery: report of two cases – ScienceDirect


086 9587728
[contact-form-7 id="6" title="Đặt hàng"] Đóng
[contact-form-7 id="508" title="Liên hệ"] Đóng