1. Đốt sóng cao tần là gì?
Điều trị các khối u bằng đốt sóng cao tần (Radiofrequence, Radiofrequency ablation) là phương pháp phá hủy khối u bằng nhiệt. Nguyên lý hoạt động của phương pháp này là sử dụng dòng điện của sóng cao tần có tần số 400-500 mHz kích thích gây chuyển động các phân tử quanh điện cực để sinh ra nhiệt. Trong điều kiện cơ thể, các tế bào khối u sẽ bị phá hủy ở nhiệt độ > 600C. Hiện nay có nhiều thế hệ máy điều trị sóng cao tần được phát minh và áp dụng trong lâm sàng với mục đích mở rộng chỉ định điều trị với các khối u lớn.
2. Ưu và nhược điểm
- Ưu điểm: Đây là phương pháp điều trị xâm lấn tối thiểu (hầu hết bệnh nhân chỉ cần gây tê tại chỗ, rất ít trường hợp phải gây mê), điều trị nhanh (thường đốt nhiệt <15 phút, phụ thuộc vào vị trí, kích thước khối), hồi phục sớm, hiệu quả cao và ít biến chứng. Đây được xem là phương pháp điều trị triệt căn.
- Nhược điểm: Phương pháp này chỉ được thực hiện với tổn thương dạng đặc (nghĩa là tổ chức có tính dẫn nhiệt và dẫn điện tốt), những tổn thương kích thước lớn thường phải đốt nhiều lần, chi phí chi trả cao.
Bệnh nhân sẽ gặp phải một số tác dụng không mong muốn do nhiệt phát sinh làm hủy hoại mô xung quanh (mô lành).
3. Điểm khác biệt của kỹ thuật này với phương pháp điều trị giảm đau truyền thống
Những điểm khác biệt lớn nhất: triệt căn (trong diệt hạch đám rối tạng, diệt hạch đám rối hạ vị,…), tác dụng tại chỗ thay vì sử dụng thuốc giảm đau đường uống đơn thuần với nhiều nguy cơ, đôi khi phụ thuộc thuốc dẫn đến tăng liều và lạm dụng các thuốc giảm đau.
4. Nguyên tắc hoạt động của phương pháp này là gì?
Nguyên tắc hoạt động của phương pháp này là sử dụng dòng điện xoay chiều với tần số cao 400-500mHz để tạo nên chuyển động liên tục các ion có trong tổ chức, từ đó sẽ sinh ra nhiệt được tạo nên từ quá trình ma sát. Lượng nhiệt sinh ra có thể từ 60-1000C đủ để phân giải tế bào (nước nội bào và làm hoại tử đông).

Nguyên lý hoạt động của máy đốt sóng cao tần, gồm: (1) máy phát sóng cao tần (RF generator), (2) Bơm nước làm mát (pump), (3) đầu đốt (hay kim đốt) (RF electrode), (4) miếng dán tiếp xúc (grounding pad), (5) đầu dò máy siêu âm (transducer).
5. Quy trình gồm những bước nào?
- Chuẩn bị bệnh nhân: giải thích các yếu tố nguy cơ, ưu và nhược điểm của phương pháp điều trị. Hồ sơ bệnh án phải đầy đủ. BN cần cam kết đồng ý điều trị.
- Chuẩn bị dụng cụ: máy siêu âm (đốt nhiệt dưới siêu âm), máy chụp CLVT (đốt nhiệt dưới CLVT), máy đốt sóng, kim đốt sóng. Các vật tư tiêu hao khác: toan, gạc vô khuẩn, thuốc tê (lidocain), thuốc giảm đau, giãn cơ…
- Quá trình tiến hành can thiệp: sát khuẩn tại chỗ, trải toan vô khuẩn, siêu âm hoặc chụp CLVT để xác định đường đi của kim, khi định vị đầu kim đến đúng khối u hoặc tổn thương đích thì bắt đầu tiến hành đốt nhiệt bằng khởi động máy đốt sóng.
- Nhận định kết quả: tùy thuộc và kích thước của khối u, quá trình đốt nhiệt sẽ dẫn đến hoại tử mô, sinh ra các bóng khí quanh đầu kim, tính chất lan rộng của diện đốt phụ thuộc vào bóng khí quanh đầu kim.
6. Những bệnh nhân nào được chỉ định với kỹ thuật này?
Những chỉ định chính: kiểm soát cơn đau mạn tính, tất cả các tổn thương đau có nguồn gốc từ thần kinh hoặc nguồn gốc đau giao cảm: viêm tụy mạn tính, u tụy hoặc khối u sau phúc mạc xâm lấn đám rối tạng, u trực tràng hoặc các khối u vùng tiểu khung xâm lấn đám rối hạ vị, các u thành ngực, u phổi xâm lấn đám rối thần kinh liên sườn, các tổn thương di căn,…
Đau liên quan đến bệnh lý ung thư là một vấn đề khó khăn, các phương pháp điều trị hiện nay thường bị hạn chế, điều trị nội khoa (dùng thuốc) vẫn là phương pháp phổ biến nhất, nhưng điều trị kéo dài có thể dẫn đến nhờn hoặc lạm dụng thuốc, các thuốc an thần làm suy giảm chức năng tâm thần và ảnh hưởng đến chất lượng cuộc sống. Một số phương pháp điều trị khác: phẫu thuật cắt bỏ (là can thiệp xâm lấn), tia xạ (tổn thương những mô xung quanh, hiệu quả giảm đau thường chỉ đạt được khi sử dụng liều chiếu tối đa).
Kỹ thuật đốt sống cao tần trong điều trị ung thư ngày nay được chỉ định rộng rãi do có nhiều ưu điểm:
- Những cảm giác đau liên quan đến thần kinh sinh ba (dây V).
- U xương lành tính như u dạng xương.
- Di căn xương.
- Di căn phần mềm từ các khối u nguyên phát như: u trực tràng, u buồng trứng, ung thư bàng quang….
- Các khối u gan, thận, tuyến thượng thận, u vú.
- Các khối u vùng đầu mặt cổ.
| A. | ![]() |
B. | ![]() |
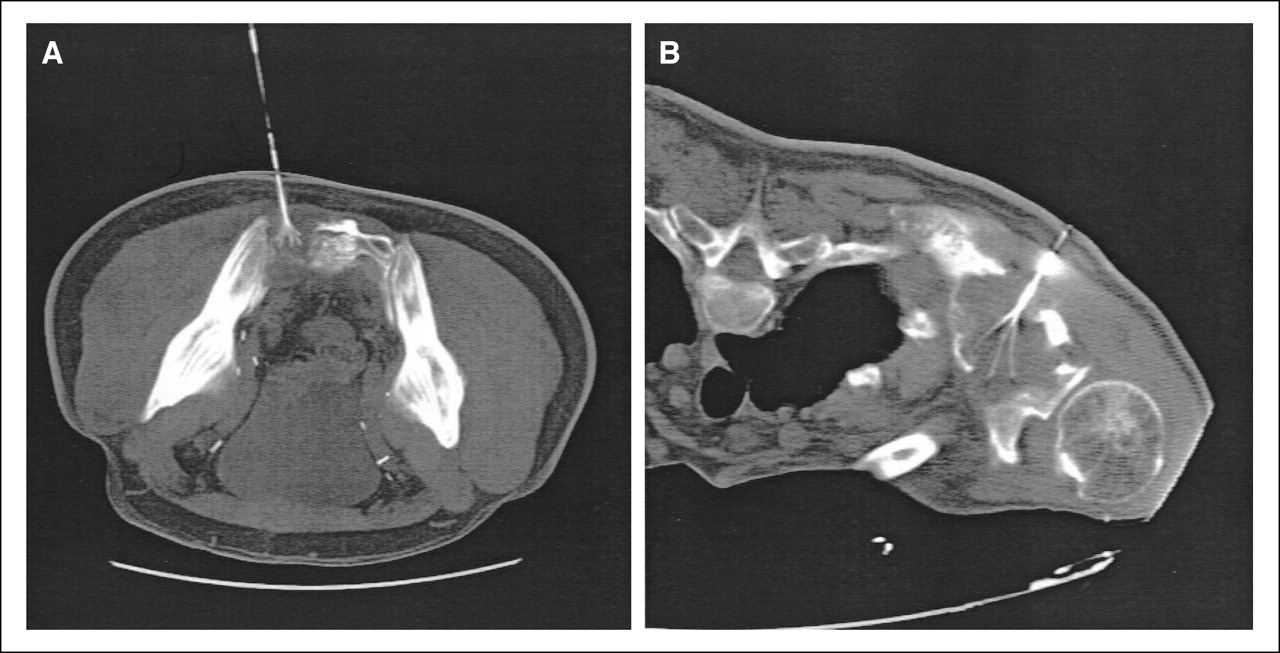
Bệnh nhân nữ, 58 tuổi, tiền sử ung thư ống vòi trứng> 2 năm.
A. Khối di căn phần mềm vùng bẹn trái, kèm huyết khối tĩnh mạch đùi (mũi tên đen), khối ngấm thuốc mạnh sau tiêm (mũi tên trắng).
B. Khối phần mềm sau khi đốt sóng cao tần không còn ngấm thuốc sau tiêm.

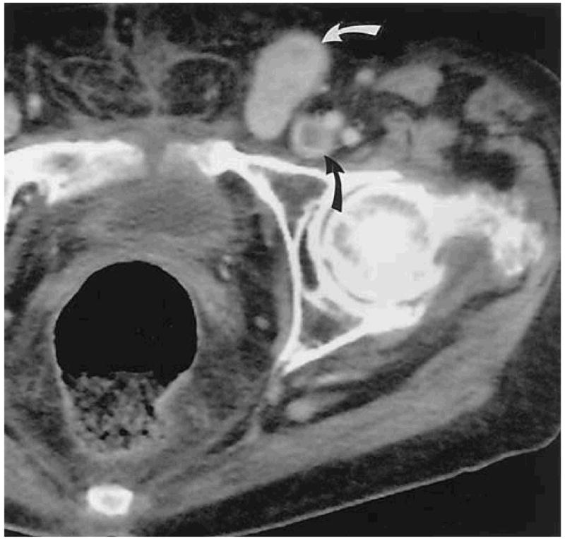
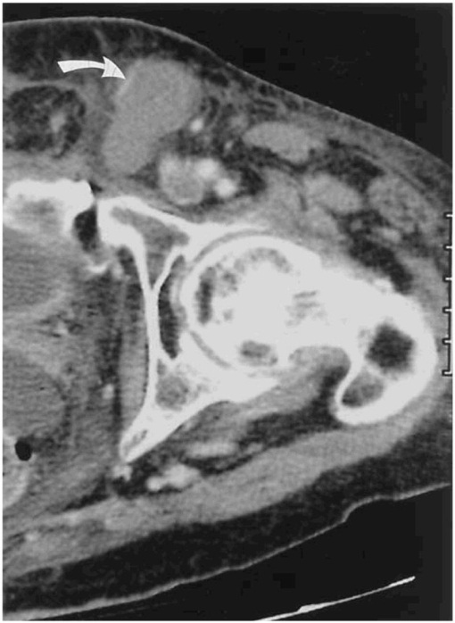
Tiến hành đốt sóng các tổn thương tiêu xương bằng kim chùm.
A. Bệnh nhân nam, 63 tuổi, di căn xương cùng trái từ ung thư biểu mô tế bào vảy (không rõ nguồn gốc).
B. Bệnh nhân nữ 51 tuổi, di căn xương bả vai phải từ ung thư phổi không phải tế bào nhỏ.

Di căn xương từ ung thư trực tràng: A.B. Sử dụng kim đốt sóng cao tần (kim chùm – 13 đầu kim (hooks), tiếp cận thân đốt sống qua cuống sống và tiến hành đốt sóng cao tần khối u di căn, đồng thời bơm xi măng sinh học sau đốt nhiệt
7. Những bệnh nhân nào không phù hợp với kỹ thuật này?
Tất cả những bệnh nhân có triệu chứng đau không phải đau kiểu rễ và không có nguồn gốc từ thần kinh: đau có tính chất cơ học (đi lại, làm việc đau tăng…), những bệnh nhân rối loạn đông máu (có nguy cơ chảy máu cao), những khối u gần mạch máu lớn, tủy sống, thần kinh vận động (<1cm).
8. Để thực hiện kỹ thuật này, bệnh nhân cần chuẩn bị những gì?
Chuẩn bị bệnh nhân: tất cả bệnh nhân cần được giải thích rõ quy trình, những ưu và nhược điểm của phương pháp, nhất là những biến chứng có thể xảy ra trong quá trình làm can thiệp, can thiệp có thể không hiệu quả. Quá trình làm: bệnh nhân cần phải đặt đường truyền tĩnh mạch, mắc monitor theo dõi các chức năng cơ bản (nhịp tim, nhịp thở, huyết áp), cần phối hợp tốt theo tư thế khi được yêu cầu.
9. Trong quá trình thực hiện kỹ thuật, bệnh nhân cần lưu ý điều gì?
Trong quá trình tiến hành can thiệp có bất kỳ biểu hiện gì cần phải báo ngay cho bác sỹ chính thực hiện can thiệp (đau nhức, khó thở, chóng mặt,…) để có những điều chỉnh hoặc dừng thủ thuật thích hợp.
10. Sau khi thực hiện kỹ thuật, bệnh nhân cần theo dõi thế nào? Phòng ngừa biến chứng ra sao? Khi nào cần báo bác sỹ?
Quá trình thực hiện xong: bệnh nhân thường nằm nghỉ ngơi tại chỗ, các chức năng sinh tồn phải được kiểm tra thường xuyên (mạch, huyết áp, nhiệt độ và nhịp thở). Phương pháp điều trị đốt nhiệt tại chỗ nên có thể làm tổn thương các tạng lân cận, triệu chứng xuất hiện tùy thuộc vào từng tổn thương: tràn khí màng phổi gây khó thở, nhịp thở nhanh, tổn thương ruột gây thủng ruột: đau bụng, sốt, viêm phúc mạc,…Tất cả những trường hợp có biểu hiện bất thường khác đều phải báo lại ngay cho bác sỹ điều trị để có hướng xử trí thích hợp. Một số biến chứng khác có thể gặp trong và sau đốt nhiệt tổn thương: tụ máu, cảm giác tê bì, nhìn đôi thoáng qua, bí tiểu, viêm màng não hoặc hội chứng Horner.
11. Kỹ thuật này thực hiện trong bao lâu?
Hầu hết các kỹ thuật đốt sống cao tần chỉ cần thực hiện trong thời gian 12 phút (nếu tính thời gian đốt), kỹ thuật được thực hiện khá nhanh và đơn giản.
12. Có được BHYT chi trả không? Nếu không thì chi phí khoảng bao nhiêu tiền?
Cho đến nay: các kỹ thuật đốt sóng cao tần khối u đã được bảo hiểm chi trả hoàn toàn. Trong trường hợp không có BHYT bệnh nhân cần phải chi trả chi phí khoảng <20 triệu.
13. Hiệu quả sau khi thực hiện kỹ thuật thế nào? Người bệnh giảm đau được bao nhiêu %?
Tất cả những trường hợp có thể tiếp cận được tổn thương thì hiệu quả giảm đau khá tốt, hầu hết các bệnh nhân đều không cần phải sử dụng các thuốc giảm đau nữa.
14. Nếu muốn được áp dụng kỹ thuật này tại Bệnh viện Bạch Mai, BN cần đăng ký với ai, thủ tục như thế nào?
Trước tiên: bệnh nhân cần phải đến đăng ký khám tại Khoa Khám bệnh hoặc Phòng tái khám bệnh viện. Bệnh nhân cần mang đầy đủ hồ sơ hoặc giấy ra viện cũ để bác sỹ có thể phân loại và đăng ký cho nhập viện vào khoa/phòng thích hợp, các thủ tục bảo hiểm cũng cần phải mang theo để hưởng chế độ bảo hiểm đúng tuyến (giảm bớt chi phí nằm viện và chi phí điều trị).
Sau đó, bệnh nhân sẽ được hội chẩn liên khoa để đưa ra phương pháp điều trị hoặc can thiệp hợp lý nhất. Trong trường hợp bệnh nhân cần phải can thiệp đốt sóng cao tần: thường làm tại phòng can thiệp – Trung tâm Điện quang, BV Bạch Mai. Khi đến liên hệ, bệnh nhân sẽ được thư ký y khoa hướng dẫn một cách cụ thể nhất./.
BSCKII. Trần Văn Lượng – PGS.TS. Vũ Đăng Lưu



