Hạch u lympho mang đầy đủ tính chất của hạch ác tính: Chắc, không nóng, không đỏ, không đau, không hóa mủ, ranh giới rõ. Hạch lúc đầu nhẵn, có thể đơn độc, về sau có xu thế dính tạo thành chùm, chuỗi, kém di động hơn. Ngoài ra, bệnh còn thường có tổn thương ngoài hạch. Tùy vào vị trí biểu hiện mà có triệu chứng lâm sàng kèm theo khác nhau. Bệnh nhân có thể có rối loạn tiêu hóa, đau bụng nếu biểu hiện tại đường tiêu hóa; đau đầu, buồn nôn với u lympho nguyên phát thần kinh trung ương; ngạt tắc mũi, ù tai với u lympho vòm họng… Ngoài ra có thể có một số vị trí khác như buồng trứng với nữ, tinh hoàn đối với nam… Do vậy, biểu hiện bệnh Lympho ban đầu khi không biểu hiện tại hạch dễ nhầm lẫn với các bệnh lý khác tại cơ quan biểu hiện.
Dưới đây chúng tôi xin giới thiệu một ca lâm sàng là một bệnh nhân nữ, có khối u lympho tại buồng trứng, ở ngoài hệ thống hạch.
Họ và tên: Từ T. B Giới: Nữ Tuổi 54
Ngày vào viện: Tháng 11/2022
Lý do vào viện: Đau bụng, sốt
Tiền sử: Bản thân: Khỏe mạnh. Dị ứng: Không.
Gia đình: Chưa phát hiện yếu tố gia đình.
Bệnh sử: Tháng 11/2022, bệnh nhân xuất hiện đau bụng âm ỉ vùng hạ vị, hố chậu phải, kèm theo sốt nhẹ về chiều, gầy sút cân. Bệnh nhân vào Khoa Ngoại Tổng hợp, Bệnh viện Bạch Mai, chẩn đoán trước mổ: Theo dõi Ung thư buồng trứng di căn hạch, mạc nối. Ngày 01/12/2022, bệnh nhân đã được phẫu thuật cắt toàn bộ 2 bên phần phụ và tử cung kèm theo mạc nối lớn, lách. Giải phẫu bệnh sau mổ u buồng trứng là: U lympho không Hodgkin tế bào B lớn lan tỏa CD20(+), dưới típ không tâm mầm. Kết quả giải phẫu bệnh hạch và mô lách hướng đến Lymphoma. Sau phẫu thuật bệnh nhân ổn định chuyển đến Trung tâm Y học hạt nhân và Ung bướu điều trị tiếp.
Khám lúc vào viện:
Bệnh nhân tỉnh, tiếp xúc tốt
Không sốt
Hạch vùng cổ, bẹn nách 2 bên, cứng, di động hạn chế
Tim đều, T1, T2 rõ
Rì rào phế nang rõ, không có tiếng ran
Bụng mềm, không chướng
Sẹo mổ đường trắng giữa trên và dưới rốn liền sẹo tốt
Đại tiểu tiện bình thường
Các cơ quan khác chưa phát hiện bất thường
Cận lâm sàng:
– Công thức máu: Bình thường
– Hóa sinh máu: Bình thường
– Huyết tủy đồ: Hình ảnh tủy tăng sinh.
Hình ảnh PET/CT với F18-FDG đánh giá giai đoạn trước điều trị:

Hình 1. Hình ảnh tăng chuyển hóa FDG ở nhiều vị trí hạch trên và dưới cơ hoành và các cơ quan khác ngoài hạch

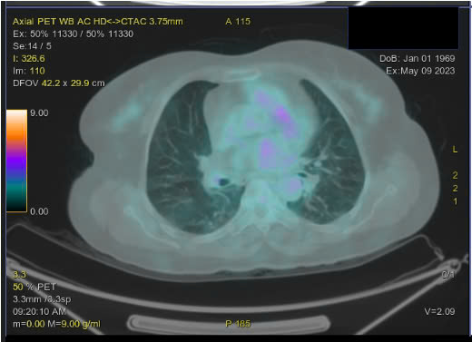
Hình 2. Hình ảnh nốt tổn thương ở phổi và hạch trung thất

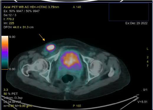
Hình 3. Hình ảnh hạch bẹn kích thước lớn tăng chuyển hóa FDG
Kết luận:
– Hình ảnh hạch cổ 2 bên, hạch trung thất, hạch ổ bụng, hạch bẹn 2 bên tăng chuyển hóa FDG hướng tới ác tính.
– Hình ảnh nốt tổn thương phổi phải, tổn thương xương bướm, tăng chuyển hóa FDG hướng tới ác tính.
Chẩn đoán: U lympho không Hodgkin tế bào B lớn CD20 (+) giai đoạn IV EB.
Hướng điều trị cụ thể: Điều trị phác đồ R-CHOP chu kỳ 28 ngày x 6 chu kỳ.
Cụ thể: Rituximab 500mg ngày thứ 1
Cyclophosphamide 700mg ngày thứ 1
Doxorubixin 60mg ngày thứ 1
Vincristine 2mg ngày thứ 1
Prednisolone 100mg ngày thứ 1-5
Sau điều trị 4 chu kỳ, bệnh nhân được chụp PET/CT đánh giá đáp ứng điều trị:

Hình 4. Hình ảnh không còn thấy hình ảnh tổn thương hạch và ngoài hạch (so phim trước điều trị).

Hình 5. Hình ảnh không thấy nốt ở phổi và hạch trung thất (so với phim trước điều trị)
Kết luận:
– Không thấy hình ảnh tăng chuyển hóa ở tiểu khung
– Hình ảnh tăng chuyển hóa FDG lan tỏa ở tủy xương đốt sống ngực, thắt lưng, xương chậu 2 bên do phản ứng.
– Hình ảnh vài dải mờ và đám kính mờ phân bố rải rác nhu mô 2 phổi, không tăng chuyển hóa FDG.
Theo thang điểm 5-PS, bệnh nhân có đáp ứng là điểm 1 tại các tổn thương. Bệnh đáp ứng hoàn toàn trên PET/CT.
Hướng xử trí tiếp theo: Tiếp tục điều trị phác đồ R-CHOP đủ 6 chu kỳ.
Đánh giá lại sau khi hoàn thành 6 chu kỳ và theo dõi định kỳ 3-6 tháng/ lần.
GS. TS. BS. Mai Trọng Khoa, PGS.TS. BS. Trần Đình Hà, BSNT. Nguyễn Bình Dương, BSNT. Trần Thế Hoàng – Trung tâm YHHN&UB, BV Bạch Mai

