Bố bệnh nhi cho biết, cách vào viện 3 tiếng, trẻ cùng hai anh (8 tuổi và 11 tuổi) chơi, xem tivi với nhau trong một phòng riêng. Chiết xuất camera từ lúc các con bước vào phòng đến lúc gia đình phát hiện khoảng 12 phút. Cũng theo hình ảnh camera ghi lại thì khi vào phòng riêng, cháu cầm theo một sợi dây dài khoảng 80cm.

BSCKII Doãn Phúc Hải, Trung tâm Nhi khoa, Bệnh viện Bạch Mai kiểm tra sức khoẻ cho bệnh nhi
Khi gia đình phát hiện, trẻ trong tình trạng dây giải rút quấn xung quanh cổ và treo mình trên dây mắc màn chăng ngang phòng. Lúc đó, trẻ có dấu hiệu tím tái, khó thở. Gia đình có thổi ngạt, ép tim tại chỗ trong 5 phút thì trẻ tự thở trở lại, môi hồng, nhưng lơ mơ không tỉnh nên gia đình bắt taxi đưa con vào BVĐK Nông nghiệp cấp cứu.
Tại BVĐK Nông nghiệp – nơi tiếp nhận ban đầu, bệnh nhi lơ mơ và kích thích, nghi ngờ tổn thương não do “treo cổ” dù kết quả chụp chiếu sọ não, cột sống cổ bệnh nhi chưa có dấu hiệu bất thường. Các bác sĩ quyết định chuyển bệnh nhi lên Bệnh viện Bạch Mai để theo dõi, đánh giá thêm tình hình.
Ngay trong ngày, bệnh nhi được chuyển đến Trung tâm Nhi khoa, Bệnh viện Bạch Mai để tầm soát các nguy cơ tổn thương não, phù não, tăng áp lực nội sọ, suy tuần hoàn, hô hấp do thắt cổ, ngạt thở. Thời điểm tiếp nhận ở Trung tâm Nhi khoa, Bệnh nhi hôn mê, bóp bóng qua nội khí quản, xuất huyết dạng chấm rải rác vùng đầu mặt và có vết lằn đường kính 0,5cm dài 25 cm ở vùng cổ trước.
Bệnh nhi nhanh chóng được cấp cứu và điều trị bằng phương pháp kỹ thuật cao “hạ thân nhiệt chỉ huy” (chủ động). Phương pháp này nhằm bảo vệ thần kinh, giảm thiểu các tổn thương não, các biến chứng tuần hoàn, hô hấp và tăng khả năng sống sót của người bệnh.
![]() |
![]() |
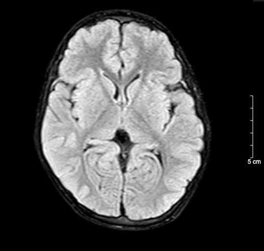
Kết quả chụp não, cột sống cổ bệnh nhi sau 5 ngày nhập viện bình thường
BSCKII. Doãn Phúc Hải – Trung tâm Nhi khoa, Bệnh viện Bạch Mai trực tiếp điều trị cho bệnh nhi chia sẻ: Thân nhiệt của bệnh nhi được hạ nhanh xuống và kiểm soát duy trì ở mức 34°C, giảm tổn thương, tái tưới máu tại não, tăng tỉ lệ sống và hồi phục chức năng thần kinh. Sau 72 giờ điều trị hạ thân nhiệt chủ động, bệnh nhi được nâng thân nhiệt, làm ấm trở lại về mức bình thường và duy trì theo dõi trong 48 giờ. Khi thân nhiệt trở lại bình thường, bệnh nhi tỉnh dần và được rút ống thở. Dấu hiệu sinh tồn ổn định, tri giác nhận thức tốt. Sau 5 ngày nằm viện, bệnh nhi đã tỉnh táo hoàn toàn. Kết quả chụp tim, phổi, MRI sọ não, cột sống cổ không thấy bất thường. Đây cũng là trường hợp đầu tiên trẻ 5 tuổi tự “thắt cổ” mà chúng tôi bắt gặp.
Qua trường hợp này, TS.BS Nguyễn Thành Nam – Giám đốc Trung tâm Nhi khoa, Bệnh viện Bạch Mai đưa ra khuyến cáo với các bậc phụ huynh để bảo vệ con em mình tránh những tai nạn hi hữu như trên:
1. Hạn chế hoặc loại bỏ các vật dụng có dây trong tầm với của trẻ nhỏ:
Không để trẻ chơi với dây rút quần áo, dây túi xách, dây rèm cửa, dây sạc điện thoại, dây tai nghe,…
Tránh mặc quần áo có dây rút dài, đặc biệt là ở vùng cổ áo hoặc mũ trùm đầu.
2. Giám sát trẻ chặt chẽ, đặc biệt trong độ tuổi mẫu giáo:
Trẻ từ 2–6 tuổi rất hiếu động và chưa nhận thức được nguy hiểm từ các vật dụng xung quanh.
Tuyệt đối không để trẻ chơi một mình trong phòng có nhiều đồ vật tiềm ẩn nguy cơ tai nạn.
3. Giáo dục trẻ về nguy cơ khi chơi với dây:
Dạy trẻ không được quấn dây quanh cổ, không leo trèo với dây, không đùa nghịch khi có dây gần người.
4. Thiết kế môi trường sống an toàn
Buộc gọn hoặc loại bỏ dây kéo rèm, dây treo các vật dụng trong phòng bé.
Dùng các thiết bị bảo vệ hoặc cắt ngắn dây nếu không thể loại bỏ hoàn toàn.
5. Luôn sẵn sàng sơ cứu:
Tìm hiểu các kỹ năng sơ cứu cơ bản để xử lý kịp thời nếu có tai nạn xảy ra, đặc biệt là kỹ thuật hồi sức tim phổi (CPR) cho trẻ nhỏ.
![]() |
![]() |
Hình ảnh vết dây thắt ở cổ bệnh nhi
Đây là lời cảnh báo nghiêm túc cho tất cả các gia đình có trẻ nhỏ. Những tai nạn như vậy không phải là hiếm gặp và hậu quả có thể rất nghiêm trọng.
Ngoài ra, các bác sĩ cũng cảnh báo, đối với trẻ nhỏ, có rất nhiều các nguy cơ như nuốt phải dị vật, ngã chấn thương, điện giật, đuối nước do rơi xuống ao hồ, sông suối… nhất là dịp nghỉ hè đang tới gần, bố mẹ càng cần lưu ý cảnh giác hơn.





