Phát hiện bất thường từ triệu chứng vàng da
Bệnh nhân nữ, 59 tuổi, nhập viện trong tình trạng vàng da, ngứa và đau vùng hạ sườn phải kéo dài. Kết quả chẩn đoán hình ảnh cho thấy tổn thương đường mật trong gan kèm sỏi và giãn đường mật.
Trong quá trình thăm khám toàn diện, nội soi tiêu hóa phát hiện thêm một khối u tại đại tràng lên. Kết quả sinh thiết xác định đây là ung thư biểu mô tuyến.
Sau hội chẩn đa chuyên khoa, các bác sĩ xác định bệnh nhân mắc đồng thời hai ung thư nguyên phát, thay vì một khối u di căn. Cụ thể:
Ung thư đại tràng phải: Giai đoạn sớm (IA), chưa di căn hạch
Ung thư đường mật trong gan: Giai đoạn tiến triển (IIIB), có xâm lấn và di căn hạch
Việc phân biệt hai ung thư nguyên phát với ung thư di căn có ý nghĩa quyết định trong lựa chọn chiến lược điều trị.

Hình ảnh sỏi đường mật tạo ổ áp xe gan – đường mật gan trái( vòng tròn màu đỏ). Giãn nhẹ đường mật trong gan hai bên. Dày thành nhẹ ngã ba đường mật trên phim chụp cắt lớp vi tính.
Phẫu thuật một thì – giải pháp tối ưu
Dựa trên thể trạng người bệnh và đặc điểm tổn thương, ê-kíp điều trị đã quyết định thực hiện phẫu thuật triệt căn trong cùng một lần mổ, bao gồm:
Cắt đoạn đại tràng phải, nạo vét hạch D3
Cắt gan trái và đường mật ngoài gan
Phẫu thuật diễn ra thuận lợi, loại bỏ hoàn toàn các tổn thương. Sau mổ, bệnh nhân hồi phục tốt, chức năng gan mật dần ổn định.
Kết quả điều trị khả quan
Kết quả giải phẫu bệnh sau phẫu thuật cho thấy:
Tổn thương đại tràng đã được cắt bỏ triệt căn, không cần điều trị bổ trợ
Ung thư đường mật có xâm lấn thần kinh và di căn hạch, cần tiếp tục điều trị bổ trợ
Bệnh nhân được chuyển sang điều trị tiếp tại Trung tâm Y học hạt nhân và Ung bướu để hóa trị bổ trợ, nhằm giảm nguy cơ tái phát.
Theo các chuyên gia, việc phát hiện đồng thời hai ung thư nguyên phát trong hệ tiêu hóa là rất hiếm. Trường hợp này cho thấy vai trò quan trọng của thăm khám toàn diện và chẩn đoán chính xác trong việc xây dựng phác đồ điều trị tối ưu.
Đáng chú ý, ung thư đường mật trong gan thường có tiên lượng xấu do phát hiện muộn. Tuy nhiên, ở bệnh nhân này, bệnh được phát hiện tương đối sớm nhờ triệu chứng tắc mật, tạo điều kiện để can thiệp phẫu thuật triệt căn.

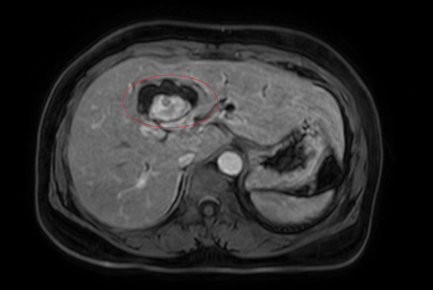
Hình ảnh giãn khu trú đường mật gan trái, tạo cấu trúc dạng nang và sỏi đường mật bên trong (vòng tròn đỏ), chèn ép kèm giãn đường mật trong gan hai bên trên phim chụp MRI
Khuyến cáo từ bác sĩ
Người bệnh cần khám sức khỏe định kỳ, đặc biệt khi có triệu chứng bất thường như đau bụng, vàng da, rối loạn tiêu hóa kéo dài
Nội soi tiêu hóa và tầm soát ung thư sớm
Tuân thủ theo dõi sau điều trị, đặc biệt với ung thư đường mật có nguy cơ tái phát cao
Sau điều trị, bệnh nhân cần tái khám định kỳ 3-6 tháng/lần với các phương pháp như siêu âm, CT hoặc MRI và xét nghiệm dấu ấn ung thư. Với ung thư đại tràng, nội soi kiểm tra nên thực hiện mỗi 1-2 năm để phát hiện sớm tái phát hoặc tổn thương mới.
Ca bệnh là minh chứng cho năng lực chẩn đoán và điều trị đa chuyên khoa tại Bệnh viện Bạch Mai, đồng thời cho thấy hiệu quả của việc cá thể hóa điều trị trong các trường hợp ung thư phức tạp.

