Hôn mê sâu sau dùng thuốc lá điện tử

Trung tâm Chống độc, Bệnh viện Bạch Mai vừa tiếp nhận nữ bệnh nhân 20 tuổi ở Hà Nội trong tình trạng hôn mê sâu, suy tim, tổn thương não lan tỏa tất cả các vị trí, tổn thương gan… Nguyên nhân được xác định do bệnh nhân ngộ độc một chất ma túy thế hệ mới có trong thuốc lá điện tử.

TS.BS. Nguyễn Trung Nguyên, Giám đốc Trung tâm Chống độc, Bệnh viện Bạch Mai cho biết: Bệnh nhân đang trong tình trạng rất nguy kịch do tổn thương và suy nhiều cơ quan, trong đó nặng nhất là tổn thương não lan tỏa tại tất cả các vị trí. Trường hợp của bệnh nhân gần giống như ca đột quỵ não nhưng nặng hơn rất nhiều. Nếu đột quỵ não chỉ gây tổn thương nhỏ ở một số vị trí thì ở trường hợp này là tổn thương gần như toàn bộ não. Ngoài ra, bệnh nhân còn bị tổn thương và suy tim nặng, suy thận, tổn thương gan. Tiên lượng điều trị và hồi phục của bệnh nhân là vô cùng dè dặt.

5a914d8d285bea05b34a

3c53d94cbc9a7ec4278b

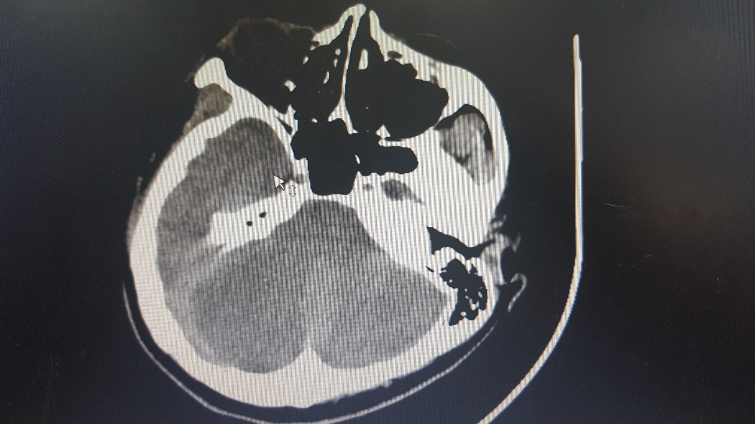
Ảnh chụp não bị tổn thương của bệnh nhân

Khai thác qua người nhà được biết: bệnh nhân chưa hút thuốc bao giờ. Ngày 25/7, bệnh nhân có đi chơi với bạn và hút thuốc lá điện tử. Sau khi hút thì từ khoảng 18h đến 22h ngày 25/7, bệnh nhân bất tỉnh. Bạn bè đưa bệnh nhân vào bệnh viện tuyến cơ sở nhưng do bệnh nhân hôn mê sâu, tụt huyết áp nên 1h sáng ngày 27/7, bệnh nhân được bệnh viện đó chuyển đến Trung tâm Chống độc, Bệnh viện Bạch Mai.

68352979caa808f651b9

Hình ảnh bệnh nhân đang điều trị tại Trung tâm Chống độc, Bệnh viện Bạch Mai

Gia đình đã mang mẫu lọ dung dịch thuốc lá điện tử mà bệnh nhân hút đến để các bác sĩ của Trung tâm Chống độc xác định độc chất. Kết quả xét nghiệm mẫu từ Viện Pháp y Quốc gia tìm thấy chất cần sa tổng hợp ADB- BUTINACA trong lọ dung dịch. Vì vậy, có thể xác định, bệnh nhân bị ngộ độc do chất cần sa tổng hợp có trong thuốc lá điện tử. Đây là loại ma túy thế hệ mới, là chất độc.

Điếu thuốc bệnh nhân sử dụng

Điếu thuốc bệnh nhân sử dụng

Theo cơ quan chức năng, chất ADB – BUTINACA có tác dụng gây ảo giác tương tự như các chất ma túy thuộc nhóm cần sa tổng hợp được tẩm vào các mẫu thảo mộc, nhưng không có trong Danh mục các chất ma túy theo Nghị định 73/2018/NĐ-CP ngày 15/5/2018 và Nghị định 60/2020/NĐ-CP ngày 29/5/2020. Lý do là chất ma túy tổng hợp thế hệ mới xuất hiện. Cần sa tổng hợp là nhóm lớn gồm hàng trăm hóa chất cụ thể, đều là các ma túy cực mạnh thế hệ mới, các đối tượng hàng ngày liên tục biến đổi, tổng hợp ra các chất ma túy mới, nhanh chóng vượt xa khỏi danh mục các ma túy mà các cơ quan quản lý quy định. Đồng thời việc xét nghiệm phát hiện các chất này vô cùng khó khăn, do là các chất mới, triển khai xây dựng quy trình xét nghiệm thành công với 1 chất nào đó bằng máy móc và nhân lực trình độ kỹ thuật cao, mất thời gian, nhưng khi xét nghiệm được thì đã xuất hiện các hợp chất mới. Độc tính của mỗi hóa chất cần sa tổng hợp này lại rất khác nhau và ngộ độc mỗi chất lại là một loại bệnh hoàn toàn mới. Các phòng xét nghiệm độc chất chuyên sâu hàng đầu của Việt Nam mới chỉ có thể xét nghiệm được một số lượng nhất định, nhiều hóa chất cần sa tổng hợp còn lại chưa thể xét nghiệm phát hiện. Các loại cần sa tổng hợp thâm nhập vào thuốc lá điện tử và các sản phẩm lạm dụng, gây nghiện khác, có thể ngang nhiên, công khai qua mặt các cơ quan chức năng mà không bị phát hiện.

TS.BS. Nguyễn Trung Nguyên cho biết: Hàng tuần, Trung tâm Chống độc đều tiếp nhận nhiều trường hợp bị ngộ độc khác sau khi sử dụng thuốc lá điện tử như kích thích tăng cường ảo giác, tăng huyết áp, tụt huyết áp, yếu cơ, suy tim, suy thận,… Hiện ngoài bệnh nhân này, Trung tâm cũng đang điều trị cho 2 bệnh nhân khác cũng nhập viện vì sử dụng thuốc lá điện tử.

Từ thực tế điều trị tại Trung tâm Chống độc, TS.Trung Nguyên khuyến cáo mọi người, đặc biệt là thế hệ trẻ tuyệt đối không nên sử dụng thuốc lá điện tử. Bởi lẽ trong thuốc lá điện tử có rất nhiều các thành phần chất tạo mùi, tạo khói, tạo hơi…. Các tạp chất này khi đốt cháy có thể gây ung thư, tổn thương phổi… Ví dụ nhiều loại thuốc lá điện tử có chứa vitamin E. Loại vitamin này khi đốt cháy có thể gây tổn thương phổi nặng nề. Tại Mỹ đã có báo cáo nhiều trường hợp nhập viện và tử vong vì thuốc lá điện tử có chứa vitamin E. Tuy nhiên, đây chỉ là một chất, thực tế còn có rất nhiều loại hợp chất khác nhau. Theo thông tin từ Viện Pháp Y quốc gia, đã phát hiện thấy vitamin E trong thuốc lá điện tử lưu hành ở Việt Nam. Điều này cho thấy có nguy cơ người dùng thuốc lá điện tử bị tổn thương phổi, thậm chí tử vong chỉ riêng do tổn thương phổi. Xa hơn nữa, Việt Nam có cũng có thể có nguy cơ tái diễn một đợt bùng phát nhiều người bị tổn thương phổi và tử vong tương tự như ở Mỹ với nhiều người mắc và tử vong. Các thành phần phụ gia khác trong thuốc lá điện tử cũng rất phức tạp, thay đổi theo thời gian, theo thị hiếu và rất tùy tiện, khi đốt nóng cũng sinh ra các chất khác rất phức tạp với các tình trạng nhiễm độc và bệnh tật khác nhau sẽ thay đổi rất phức tạp.

Do vậy cần phải có một biện pháp sớm nhằm ngăn chặn thuốc lá điện tử tràn vào Việt Nam. Hiện nay, tuy chưa được cho phép nhưng các loại thuốc lá này đã len lỏi vào thị trường qua rất nhiều kênh. Với các hình thức bắt mắt, hương vị thu hút hấp dẫn giới trẻ, đặc biệt là chứa các chất gây nghiện, nếu loại thuốc lá điện tử được phổ cập rộng sẽ cực kỳ nguy hiểm, không chỉ với người trưởng thành và cả với các em học sinh. Từ góc nhìn của bác sĩ, TS. Trung Nguyên đề xuất các cơ quan chức năng cần có biện pháp mạnh nhằm ngăn chặn thuốc lá điện tử xâm nhập vào thị trường./. 

Đỗ Hằng

 


086 9587728
[contact-form-7 id="6" title="Đặt hàng"] Đóng
[contact-form-7 id="508" title="Liên hệ"] Đóng