Ung thư tụy là một trong những bệnh lý ung thư ác tính nhất của hệ tiêu hóa. Phần lớn (75%) các khối u ác tính của tụy nằm ở vị trí đầu tụy, khi đó phẫu thuật cắt khối tá tụy là phương pháp điều trị triệt căn duy nhất đối với bệnh lý này. Tuy nhiên, các nghiên cứu ước tính chỉ có 20% bệnh nhân ung thư tụy còn chỉ định phẫu thuật tại thời điểm chẩn đoán. Những trường hợp không thể cắt bỏ tại thời điểm chẩn đoán, thường là những trường hợp ung thư vùng đầu tụy có xâm lấn động mạch (ĐM) thân tạng, ĐM gan chung hoặc ĐM mạc treo tràng trên và được xếp vào nhóm ranh giới cắt bỏ (Borderline resectable) hoặc không thể cắt bỏ (Unresectable). Với những người bệnh như vậy, liệu trình mang tới hy vọng cho bệnh nhân là điều trị hóa chất tiền phẫu, sau đó đánh giá lại khả năng phẫu thuật sau 3-6 chu kỳ.
Với đặc điểm là một bệnh viện lớn nhất cả nước với rất nhiều chuyên khoa sâu, Bệnh viện Bạch Mai đã tiếp nhận và điều trị thành công cho những trường hợp như trên bằng cách phối hợp đa mô thức, trong đó nổi bật là vai trò của Khoa Phẫu thuật Tiêu hóa- Gan mật tụy, Trung tâm Y học hạt nhân và Ung bướu và Trung tâm Gây mê hồi sức. Một trường hợp điển hình là bệnh nhân nữ, 30 tuổi, được chẩn đoán ung thư đầu tụy xâm nhiễm quanh và chèn ép gây hẹp ĐM mạc treo tràng trên (Hình 1). Thông qua hội chẩn đa chuyên khoa, bệnh nhân được hóa trị tiền phẫu theo phác đồ hóa chất FOLFIRINOX tại Trung tâm Y học hạt nhân và Ung bướu và đánh giá lại sau 6 chu kỳ. Kết quả cho thấy bệnh nhân đáp ứng tốt với điều trị, thể hiện trên cắt lớp vi tính và cộng hưởng từ, khối u giảm kích thước, bớt chèn ép ĐM mạc treo tràng trên (Hình 2).

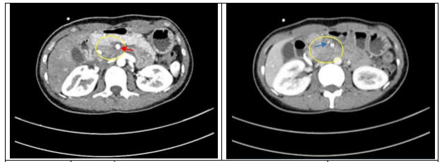
Hình 1. Kết quả chẩn đoán hình ảnh trước hóa trị: hình ảnh u đầu tụy lan rộng xung quanh (khoanh vàng), bao quanh động mạch (mũi tên đỏ) và tĩnh mạch mạc treo tràng trên, gây hẹp 90% tĩnh mạch mạc treo tràng trên (mũi tên xanh)

Hình 2. Kết quả chẩn đoán hình ảnh sau hóa trị: tổn thương thâm nhiễm vùng mỏm móc đầu tụy (Khoanh vàng) (tổn thương giảm kích thước so với phim chụp cũ không còn thấy hình ảnh thâm nhiễm quanh ĐM mạc treo tràng trên (mũi tên đỏ) hay gây hẹp TM mạc treo tràng trên (mũi tên xanh)
Người bệnh đã được tiến hành phẫu thuật cắt khối tá tụy có ứng dụng kỹ thuật tiếp cận ĐM mạc treo tràng trên đầu tiên (Artery first-approach) theo hai con đường, nạo vét hạch mở rộng và lấy toàn bộ tổ chức liên kết phía sau đầu tụy nằm giữa tĩnh mạch cửa, ĐM mạc treo tràng trên và ĐM thân tạng bao gồm cả lớp thần kinh và áo ngoài quanh các ĐM trên (Phẫu thuật TRIANGLE hay Cắt toàn bộ mạc treo tụy mức độ 3) (Hình 3). Đây là một kỹ thuật rất khó và chuyên sâu, tuy nhiên đã được thực hiện thường quy tại Khoa Phẫu thuật Tiêu hóa & Gan mật tụy – Một Trung tâm có số lượng phẫu thuật tụy lên tới hàng trăm ca mỗi năm. Việc tiếp cận ĐM mạc treo tràng trên đầu tiên (Artery first-approach) theo hai đường (Phía sau – Posterior và Sau trái – Left Posterior) mang lại nhiều ưu điểm hơn so với kỹ thuật tiếp cận thông thường:
– Thực hiện được toàn bộ mạc treo tụy triệt để nhất, vét hạch rộng rãi.
– Giúp tiếp cận các khối u đã xâm lấn mạch máu một cách an toàn.
– Giảm số lượng mất máu khi thắt sớm động mạch tá tụy dưới.

Hình 3. Phẫu thuật TRIANGLE cắt khối tá tụy tiếp cận động mạch đầu tiên theo hai đường (Hình 3a – phía sau và 3b – phía sau trái), nạo vét hạch mở rộng và lấy toàn bộ tổ chức liên kết phía sau đầu tụy nằm giữa tĩnh mạch cửa, ĐM mạc treo tràng trên và ĐM thân tạng (Hình 3c và 3d).
Đồng thời, việc nạo vét hạch mở rộng và lấy toàn bộ tổ chức liên kết phía sau đầu tụy nằm giữa tĩnh mạch cửa, ĐM mạc treo tràng trên và ĐM thân tạng, lấy bỏ toàn bộ mạc treo tụy ở mức độ 3 (bao gồm các tổ chức thần kinh và lớp áo ngoài của các động mạch) giúp đảm bảo hiệu quả về mặt ung thư học, đạt được tính triệt căn, đặc biệt trong trường hợp trên khi khối u đã thâm nhiễm vào ĐM mạc treo tràng trên. Các nghiên cứu đã chứng minh đây là một phẫu thuật an toàn tuy nhiên với điều kiện được thực hiện bởi các Phẫu thuật viên có kinh nghiệm tại các Trung tâm mổ tụy lớn, vì sẽ rất nguy hiểm cho người bệnh nếu tổn thương ĐM mạc treo tràng trên (con đường duy nhất cấp máu cho toàn bộ ruột non cùng với nửa khung đại tràng) trong quá trình phẫu thuật. Kết quả giải phẫu bệnh của khối u là ung thư biểu mô tuyến ống của tụy với các tổ chức diện cắt không còn tế bào ung thư xâm nhập. Người bệnh sau mổ diễn biến thuận lợi, ra viện ổn định sau 10 ngày điều trị.
Như vậy, với việc áp dụng phối hợp đa mô thức kết hợp điều trị hóa chất tiền phẫu với các kỹ thuật mổ khó và chuyên sâu, chúng tôi đã điều trị thành công cho những trường hợp ung thư tụy giai đoạn tiến triển, mang lại hy vọng sống cho người bệnh.
—————————————————————–
Khi cần giải đáp thêm hoặc có nhu cầu khám và được thực hiện phẫu thuật các bệnh lý về tụy tại Bệnh viện Bạch Mai, xin liên hệ BS. Nguyễn Thành Khiêm, SĐT 0986763792 – Email: nguyenthanhkhiemvd@gmail.com.
Khoa Phẫu thuật Tiêu hóa Gan mật tụy – Bệnh viện Bạch Mai

