Chụp X.quang cắt lớp tuyến vú kỹ thuật số (Tomosynthesis) là phương pháp xác định kích thước khối u chính xác và dự báo giai đoạn bệnh. Chụp Tomosynthesis giúp thấy rõ các biến đổi cấu trúc mà trên XQ vú thông thường không nhìn được. Kỹ thuật còn giúp bác sĩ phát hiện sớm nguy cơ ung thư vú cho người bệnh.
Để giúp bạn đọc có thêm hiểu biết về kỹ thuật này, BSCKII. Lưu Hồng Nhung, Trưởng nhóm X.quang vú, Trung tâm Điện quang, Bệnh viện Bạch Mai có những chia sẻ về kỹ thuật này.
Chụp X.quang cắt lớp tuyến vú kỹ thuật số là gì?
- XQuang cắt lớp tuyến vú được gọi phổ biến với thuật ngữ Tomosynthesis- kết hợp của hai từ Hy Lạp, “tomos”- nghĩa là lát cắt, “synthesis” là tiến trình, viết tắt là DBT.
- Trong chụp DBT, bóng phát tia X di chuyển theo hình vòng cung trong khi vú được nén cố định, và một loạt các ảnh được thu lại từ nhiều góc khác nhau. Lượng tia trong mỗi lần phát chỉ bằng một liều nhỏ so với tổng liều trong chụp X.Quang vú thông thường. Các dữ liệu thu về được tái tạo lại thành toàn bộ tuyến vú với các lát cắt mỏng 1mm
Công nghệ này có gì khác biệt so với các công nghệ chụp X.quang khác?
Trong DBT vú được chụp ở nhiều góc độ khác nhau và hệ thống hình ảnh này được thu thập. Khi tái tạo, mỗi hình ảnh từ các góc được kết hợp vào tạo thành lát cắt tổng hợp của DBT, những trường này làm tăng thông tin cấu trúc tuyến vú. Như vậy giúp ta giảm bớt được sự chồng lấp nhu mô tuyến vú trên phim chụp – một hạn chế của Xquang tuyến vú thông thường, từ đó cho phép phân biệt rõ hơn tổn thương lành tính và ác tính.

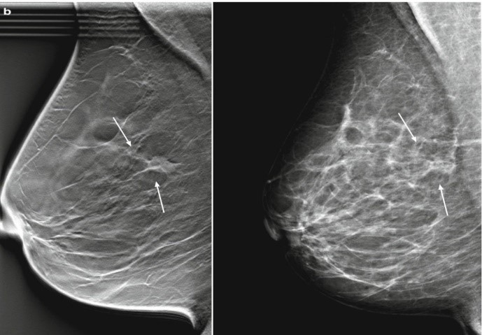
Hình ảnh minh hoạ tổn thương bờ tua gai của ung thư biểu mô thùy xâm nhập trên DBT (bên trái), nhưng lại không rõ ràng trên 2D (bên phải).

Hình ảnh trên 2D nghi ngờ có bất xứng khu trú b1. Tuy nhiên b2-b4 hình ảnh 3D thấy đây là mô xơ tuyến bình thường.
Những lưu ý cần biết?
- Phương pháp chẩn đoán an toàn, độ chính xác cao, không xâm nhập
- BN phải chịu liều tia cao hơn so với chụp XQ tuyến vú thông thường, tuy nhiên FDA đã cho phép sử dụng phương pháp này.
Phương pháp này có ưu điểm? hạn chế gì?
Ưu điểm so với Xquang thông thường:
- Xác định kích thước khối chính xác hơn, điều này có ý nghĩa quan trọng đối với tiên lượng và dự báo giai đoạn bệnh.
- Đánh giá biến đổi cấu trúc rõ ràng hơn: chụp Tomosynthesis có khả năng thấy rõ các biến đổi cấu trúc mà trên XQ vú thông thường không nhìn rõ được. Điểm này là nguyên nhân chính gây âm tính giả trên phim XQ vú thông thường.
- Đánh giá nhu mô tuyến vú đặc và bờ viền tổn thương: chụp Tomosynthesis có độ nhạy cao hơn 15% so với Xquang thông thường khi phát hiện tổn thương ở tuyến vú đặc và có khả năng phân tích được rõ bờ viền tổn thương. Điều này làm thay đổi phân loại BI-RADS(hệ thống tiên lượng nguy cơ ác tính nhân tuyến vú) mà không cần dùng thêm biện pháp nào khác.
- Tăng giá trị dự báo cho các khuyến nghị sinh thiết: kết hợp Xquang thông thường và Tomosynthesi làm tăng tính đặc hiệu cao hơn so với kĩ thuật ép khu trú của XQ vú thông thường vì thế hạn chế những sinh thiết không cần thiết.
- Tăng tỉ lệ phát hiện ung thư vú
Hạn chế:
- Đòi hỏi máy chụp XQ tuyến vú chụp được Tomosynthesis
Những đối tượng nào không phù hợp với phương pháp này?
- Bệnh nhân có mật độ tuyến vú type A, B
- Bệnh nhân có mật độ tuyến vú type C, D có tổn thương gần như chắc chắc ác tính (BIRADS 5) trên X.Quang.
- Bệnh nhân có chống chỉ định chụp X.Quang tuyến vú nói chung (mang thai, tình trạng toàn thân nặng, không thể đứng được…)
Chi phí và hiệu quả so với chụp Xquang vú?
- Chi phí: hiện tại tính ở Bạch Mai thì chi phí đắt hơn 3 lần so với XQ vú thông thường.Hiện tại BHYT đã chi trả cho kĩ thuật này
- Hiệu quả: tăng hơn so với XQ vú thông thường đối với các trường hợp vú đặc (type C, D), vú có bất xứng hay tổn thương nghi ngờ rối loạn cấu trúc.
Kỹ thuật này đòi hỏi chuyên môn của bác sĩ và công nghệ ra sao?
- Cần bác sĩ chẩn đoán hình ảnh chuyên về chẩn đoán vú, được đào tạo và có khả năng đọc phim chụp X quang cắt lớp tuyến vú
- Máy chụp Xquang tuyến vú kĩ thuật số
Nếu muốn được áp dụng kỹ thuật này tại Bệnh viện Bạch Mai, bệnh nhân cần đăng ký với ai, thủ tục này thế nào?
- BN liên hệ bác sỹ Khoa Khám bệnh (phòng khám chuyên khoa Sản, U bướu…) để có giấy chụp XQ tuyến vú cắt lớp.
- Sau khi có giấy chụp, BN sẽ được chụp tại phòng chụp XQ tuyến vú thuộc Trung tâm Điện quang.
Đỗ Hằng

