Case lâm sàng: Điều trị bệnh nhân mắc hai loại ung thư: U lympho ác tính không hodgkin tế bào B lớn lan tỏa kèm theo ung thư tuyến giáp thể nhú tại Trung tâm YHHN&UB, BV Bạch Mai

U lympho ác tính không Hodgkin (ULAKH) là nhóm bệnh ác tính của tổ chức lympho, biểu hiện có thể tại hạch hoặc ngoài hạch. Theo thống kê của GLOBOCAN năm 2020, ULAKH đứng 11 ở cả 2 giới về số ca mới mắc và số ca tử vong trên toàn cầu, ước tính mỗi năm có 509.590 ca mới mắc và 248.724 ca tử vong. Tại Việt Nam, ULAKH đứng 13 về cả số ca mới mắc và số ca tử vong, ước tính mỗi năm có 3725 ca mới mắc và 2214 ca tử vong. Bệnh gặp ở mọi lứa tuổi, phổ biến từ 45-55 tuổi; trung bình 52 tuổi. Bệnh hiếm gặp ở trẻ em, nam có tỷ lệ mắc bệnh nhiều hơn nữ.

Bệnh có sự đa dạng về biểu hiện lâm sàng, tế bào, mô bệnh học và chiến lược điều trị. Trong các thể mô bệnh học của ULAKH, thể tế bào B lớn lan tỏa (diffuse large B-cell –DLBCL) là thể phổ biến nhất, chiếm khoảng 30-40% các trường hợp bệnh.

Trước năm 1970, thời gian về trung vị sống thêm toàn bộ của bệnh thường không quá 1 năm khi chưa có điều trị tối ưu. Tuy nhiên, sau khi phác đồ CHOP (gồm Cyclophosphamide, Doxorubicin, Vincristin, Prednisolon) được đưa vào áp dụng trong điều trị DLBCL, tiên lượng của bệnh đã được cải thiện đáng kể với tỉ lệ đáp ứng hoàn toàn lên tới 50% và tỉ lệ kiểm soát bệnh lâu dài vào khoảng 30-40%. Theo thời gian, tiên lượng của bệnh tiếp tục được cải thiện với sự ra đời của thuốc ức chế thụ thể CD20 (Rituximab) trên màng tế bào lympho B.

Ung thư tuyến giáp (UTTG) là loại ung thư phổ biến nhất trong các ung thư của hệ thống tuyến nội tiết. Tỷ lệ mắc ung thư tuyến giáp có xu hướng ngày càng gia tăng. Theo GLOBOCAN 2020, trên thế giới UTTG đứng thứ 10, chiếm 3,0% trong tổng số các loại ung thư, tỷ lệ mắc chuẩn theo tuổi trên 100.000 dân là 3,1 ở nam và 10,2 ở nữ. Ở Việt Nam có 5.471 trường hợp UTTG được chẩn đoán, chiếm 3% trong tổng số các trường hợp ung thư, số ca UTTG tử vong là 462 trường hợp, chiếm 0,52% trong tổng số các bệnh nhân ung thư tử vong.

Ung thư tuyến giáp thể biệt hóa gồm thể nhú, thể nang, hỗn hợp nhú và nang chiếm 80%. Điều trị ung thư thể biệt hóa thường phối hợp: phẫu thuật + I-131 + hormon liệu pháp.

Sau đây là ca lâm sàng bệnh nhân u lympho ác tính không Hodgkin tế bào B lớn lan tỏa kèm theo ung thư tuyến giáp thể biệt hóa được chẩn đoán và điều trị thành công tại Trung tâm Y học hạt nhân và Ung bướu – Bệnh viện Bạch Mai.

Bệnh nhân: T.M.C, nam, 36 tuổi

Lý do vào viện: khó thở

Tiền sử:

– Bản thân: khỏe mạnh

– Gia đình: không ai mắc bệnh ác tính

Bệnh sử: Bệnh diễn biến trước vào viện 1 tháng, bệnh nhân xuất hiện khó thở tăng dần kèm theo gầy sút cân, sốt về chiều, vào bệnh viện tuyến dưới chẩn đoán: hạch cổ – hạch ổ bụng – tràn dịch màng phổi đã hút dịch màng phổi nhiều lần. Bệnh nhân vào Trung tâm Y học hạt nhân và Ung bướu, Bệnh viện Bạch Mai khám và điều trị.

Khám lúc vào viện:

  • Bệnh nhân tỉnh, mệt.
  • Khó thở khi gắng sức nhẹ, hạn chế nhiều hoạt động thể lực (NYHA 3)
  • Thể trạng gầy (chiều cao 170 cm, cân nặng: 54 kg), chỉ số toàn trạng: PS: 2
  • Da, niêm mạc hồng.
  • Sờ thấy nhiều hạch cổ và nách 2 bên kích thước lớn nhất 1x2cm.
  • Nhịp tim đều 80 chu kỳ/phút, huyết áp 120/80 mmHg.
  • Hội chứng 3 giảm 2 phổi, không ran.
  • Khám các cơ quan khác không có gì đặc biệt.

Các xét nghiệm cận lâm sàng:

  • Huyết học: trong giới hạn bình thường
  • Hóa sinh máu: chức năng gan, thận bình thường
  • Chất chỉ điểm khối u (Tumor marker): LDH: 390 ng/ml (bình thường), β2 microglobulin: 6,03 ng/ml (tăng)
  • Vi sinh: HbsAg (+), HIV (-).
  • Định lượng HBV-DNA: 1,76×108 IU/ml
  • Đông máu cơ bản: bình thường
  • Siêu âm vùng cổ: thủy phải tuyến giáp có nhân hỗn hợp kích thước 9×10 mm – TIRADS 5. Nhiều hạch cổ bệnh lý vùng cổ 2 bên.
  • Cộng hưởng từ sọ não: không thấy bất thường.
  • Các xét nghiệm thăm dò khác: điện tâm đồ, nội soi thực quản – dạ dày, nội soi đại trực tràng không phát hiện bất thường.
  • Siêu âm tim: chỉ số EF 65%
  • Huyết tủy đồ: không thấy bất thường.
  • Cellblock dịch màng phổi: không thấy tế bào ác tính
  • Kết quả chọc hút tế bào học (bằng kim nhỏ) nhân thủy phải tuyến giáp: phù hợp ung thư biểu mô tuyến giáp thể nhú
  • Sinh thiết hạch cổ làm mô bệnh học và nhuộm hóa mô miễn dịch: U lympho ác tính không Hodgkin dòng tế bào B lớn lan tỏa, CD 20 (+)

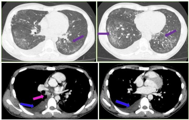
Hình ảnh Cắt lớp vi tính lồng ngực trước điều trị:

u1

Hình 1: Tràn dịch màng phổi (mũi tên đỏ) 2 bên số lượng lớn (bên phải dày 94mm, bên trái dày 71mm) gây xẹp phổi 2 bên. Hạch to trung thất và rốn phổi 2 bên, lớn nhất 20x27mm (mũi tên cam). Gan to, lách to.

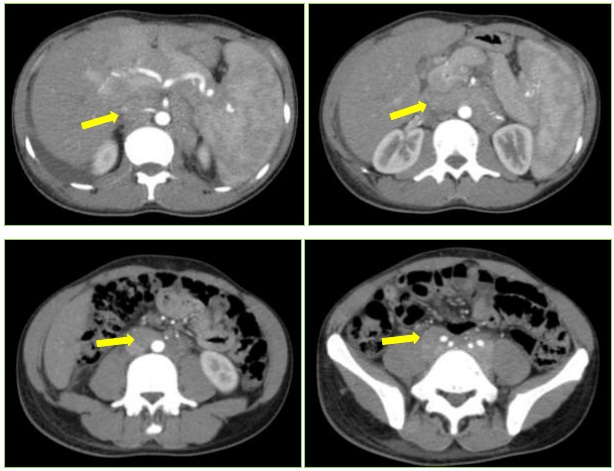
Hình ảnh Cắt lớp vi tính ổ bụng trước điều trị:

u2

Hình 2: Nhiều hạch ôm quanh động mạch chủ bụng, động mạch chậu 2 bên và tiểu khung 2 bên (mũi tên vàng)- theo dõi lymphoma

Chẩn đoán xác định: U lympho ác tính không Hodgkin tế bào B lớn lan tỏa, CD 20 (+), giai đoạn IIIB – Tràn dịch màng phổi 2 bên – Theo dõi ung thư tuyến giáp – Viêm gan B

Bệnh nhân được hội chẩn hội đồng chuyên môn: Điều trị hóa trị bệnh lymphoma, ức chế virus viêm gan B, đánh giá lại sau 3 đợt điều trị.

Cụ thể:

– Hóa chất toàn thân: phác đồ R-CHOP x 6 đợt, chu kỳ 21 ngày

+ Rituximab (Mabthera) 375 mg/m2 da, truyền tĩnh mạch ngày 1.

+ Cylophosphamide 750 mg/m2 da, truyền tĩnh mạch ngày 1.

+ Doxorubicine 50 mg/m2 da, truyền tĩnh mạch ngày 1.

+ Vincristin 1,4 mg/m2 da, truyền tĩnh mạch ngày 1.

+ Prednisolon 100mg/ngày, uống ngày 1-5.

–  Thuốc kháng virus viêm gan B: Tenofovir 300mg/ngày, uống hàng ngày.

–  Lợi tiểu: Verospiron 25mg x 2 viên/ngày.

ĐÁNH GIÁ KẾT QUẢ ĐIỀU TRỊ SAU 2 THÁNG (3 CHU KỲ):

Lâm sàng: ổn định, đỡ khó thở

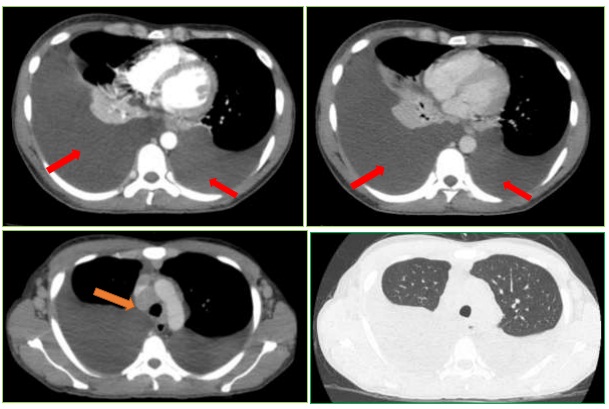
Hình ảnh Cắt lớp vi tính lồng ngực:

u3

Hình 3: Đám đông đặc, kính mờ 2 phổi – theo dõi viêm (mũi tên tím). Tràn dịch màng phổi phải dày ~ 16mm (mũi tên xanh lam). Vài hạch trung thất, lớn nhất 12x11mm (mũi tên hồng)

Hình ảnh Cắt lớp vi tính ổ bụng:

u4

Hình 4: Không thấy hạch bất thường ổ bụng và tiểu khung. Nang nhỏ gan phải. Lách to

ĐÁNH GIÁ KẾT QUẢ ĐIỀU TRỊ SAU 4 THÁNG (6 CHU KỲ HÓA TRỊ):

Lâm sàng:

  • Bệnh nhân tỉnh
  • Thể trạng tốt, tăng cân
  • Không còn sờ thấy hạch cổ
  • Không còn khó thở

Công thức máu: trong giới hạn bình thường

Sinh hóa máu: chức năng gan, thận trong giới hạn bình thường

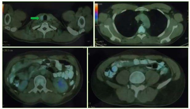
PET/CT sau điều trị:

u5

Hình 5: Vài hạch nhỏ dọc phía trong cơ ức đòn chũm phải, không tăng chuyển hóa FDG. Thùy phải tuyến giáp cực dưới có nhân giảm tỷ trọng, trong có các nốt vôi hóa, tăng nhẹ chuyển hóa FDG (SUVmax: 2,84 (mũi tên xanh lá cây). Không thấy tăng hấp thu FDG tại các cơ quan bộ phận khác của cơ thể.

Tóm tắt các triệu chứng lâm sàng, cận lâm sàng:

u51

Hình ảnh trước và sau điều trị

u6

Đánh giá sau 6 chu kỳ hóa trị: Bệnh đáp ứng hoàn toàn.

Bệnh nhân được hội chẩn hội đồng chuyên môn: điều trị tiếp ung thư tuyến giáp

Bệnh nhân được phẫu thuật cắt toàn bộ tuyến giáp.

Giải phẫu bệnh sau mổ: ung thư biểu mô tuyến giáp thể nhú, T1bN1M0 (giai đoạn I)

Bệnh nhân được hẹn tái khám sau 1 tháng để xét điều trị I-131 và liệu pháp hormone tuyến giáp

Như vậy: Từ kết quả chẩn đoán và điều trị bệnh nhân trên, chúng ta có thể thấy: khi một bệnh nhân bị mắc cùng lúc 2 loại ung thư với kết quả mô bệnh học khác nhau (ở bệnh nhân này là U lympho ác tính không Hodgkin tế bào B lớn lan tỏa kèm theo ung thư tuyến giáp thể nhú) thì điều quan trọng đầu tiên phải xác định thật chính xác có đúng là bệnh nhân bị mắc hai loại ung thư khác nhau hay không. Nếu đúng thì bước tiếp theo là phải xác định chiến lược điều trị phù hợp, an toàn, hiệu quả cho người bệnh.

Đối với bệnh nhân này, chúng tôi lựa chọn phương án điều trị bệnh u lympho ác tính không Hodgkin tế bào B lớn lan tỏa trước khi điều trị ung thư tuyến giáp thể nhú mà không điều trị song song 2 loại ung thư cùng một lúc, bởi vì thể trạng bệnh nhân không thể chịu đựng được cùng một lúc 2 phác đồ điều trị mạnh và triệt căn. Hơn nữa, điều trị bệnh nhân ung thư tuyến giáp thể nhú là phải sử dụng iốt phóng xạ (I-131), nhưng I-131 lại chống chỉ định cho bệnh nhân ung thư không phải là ung thư tuyến giáp thể biệt hóa. Chính vì vậy chúng tôi đã điều trị và hoàn thành 6 đợt hóa chất kết hợp thuốc điều trị đích với phác đồ R-CHOP. Sau 6 chu kỳ điều trị, bệnh nhân được đánh giá lại và kết quả là đã đáp ứng điều trị hoàn toàn. Chính vì vậy, bệnh nhân đã được chỉ định điều trị tuyến giáp thể nhú là phẫu thuật cắt toàn bộ tuyến giáp, sau đó dùng I-131 và hormone tuyến giáp thay thế. Đồng thời bệnh nhân vẫn được theo dõi, định kỳ ung thư thứ nhất (u lympho ác tính không Hodgkin) và các xét nghiệm liên quan khác.

GS.TS. Mai Trọng Khoa, PGS.TS. Phạm Cẩm Phương, Ths. Lê Quang Hiển, BSNT. Nguyễn Văn Tấn – Trung tâm YHHN&UB, Bệnh viện Bạch Mai


086 9587728
[contact-form-7 id="6" title="Đặt hàng"] Đóng
[contact-form-7 id="508" title="Liên hệ"] Đóng