Các kỹ thuật chấn thương chỉnh hình đang triển khai tại khoa chấn thương chỉnh hình và cột sống bệnh viện Bạch Mai

Các kỹ thuật chấn thương chỉnh hình đang triển khai tại khoa chấn thương chỉnh hình và cột sống bệnh viện Bạch Mai

Thay khớp gối

Phẫu thuật thay khớp gối điều trị thoái hoá khớp gối giai đoạn cuối

Bệnh nhân nữ 68t, Gối phải đau, đi lại < 200 m, phẫu thuật thay khớp gối toàn bộ, sau mổ 3 ngày bệnh nhân được tập đi có khung hỗ trợ.

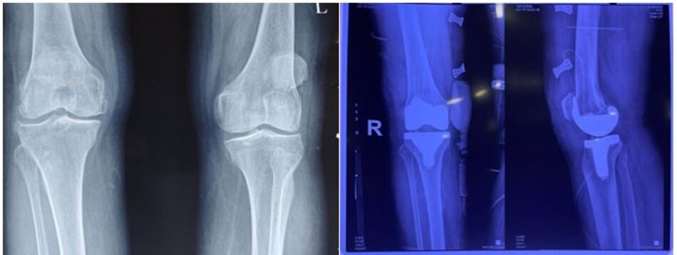
X-quang trước mổ và sau mổ bệnh nhân thay khớp gối toàn phần do thoái hoá
X-quang trước mổ và sau mổ bệnh nhân thay khớp gối toàn phần do thoái hoá

Thay khớp gối bán phần sử dụng ROBOT

Bn nữ 70t, Gối trái đau, đi lại < 100 m, phẫu thuật thay khớp gối bán phần có Robot hỗ trợ, sau mổ 1 ngày bệnh nhân được tập đi có khung hỗ trợ

Xquang Khớp gối trái trước mổHình ảnh thoái hóa mâm chày trong
Xquang Khớp gối trái trước mổ. Hình ảnh thoái hóa mâm chày trong
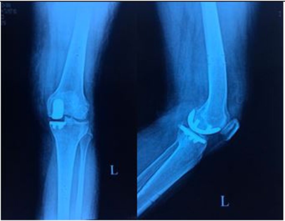
Xquang khớp gối trái sau mổ. Thay khớp gối bán phần có Robot hỗ trợ
Xquang khớp gối trái sau mổ. Thay khớp gối bán phần có Robot hỗ trợ

Thay khớp háng

Thay khớp háng toàn phần điều trị bệnh lý chỏm xương đùi – thoái hoá khớp háng

Xquang trước mổHình ảnh hoại tử chỏm xương đùi trái
Xquang trước mổ. Hình ảnh hoại tử chỏm xương đùi trái
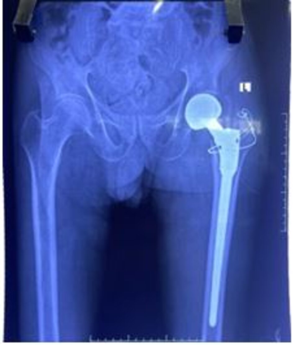
Xquang sau mổ. Hình ảnh khớp háng trái nhân tạo
Xquang sau mổ. Hình ảnh khớp háng trái nhân tạo

Bệnh lý viêm dính khớp háng/ viêm cột sống dính khớp

Xquang trước mổHình ảnh dính hoàn toàn khớp háng trái
BN nam 45 tuổi, viêm dính khớp háng 2 bên gây ra tình trạng khớp háng cứng chắc, không thể gấp duỗi
Xquang trước mổ. Hình ảnh dính hoàn toàn khớp háng trái. BN nam 45 tuổi, viêm dính khớp háng 2 bên gây ra tình trạng khớp háng cứng chắc, không thể gấp duỗi
Xquang sau mổHình ảnh khớp háng trái nhân tạo
Xquang sau mổ, BN đã có thể cử động khớp háng và tập đi lại ngày thứ 3 sau phẫu thuật
Xquang sau mổ. Hình ảnh khớp háng trái nhân tạo. Xquang sau mổ, BN đã có thể cử động khớp háng và tập đi lại ngày thứ 3 sau phẫu thuật

Thay khớp háng bán phần có xi măng cho BN gãy cổ xương đùi- loãng xương

Xquang trước mổBN 101 tuổi, gãy cổ xương đùi/ loãng xương nặng
Xquang trước mổ. BN 101 tuổi, gãy cổ xương đùi/ loãng xương nặng
Xquang sau mổBệnh nhân được ngồi dậy ngay sau mổ, tập đi sau mổ 1 tuần
Xquang sau mổ. Bệnh nhân được ngồi dậy ngay sau mổ, tập đi sau mổ 1 tuần

Thay khớp háng bán phần chuôi dài cho BN lớn tuổi gãy khối liên mấu chuyển xương đùi

Xquang trước mổBệnh nhân nữ, 87t, Gãy liên mấu chuyển xương đùi trái, phẫu thuật thay khớp háng bán phần chuôi dài.
Xquang trước mổ. Bệnh nhân nữ, 87t, Gãy liên mấu chuyển xương đùi trái, phẫu thuật thay khớp háng bán phần chuôi dài.
Xquang sau mổBệnh nhân được tập vận động khớp háng sau mổ, tập đi sau mổ 7 ngày
Xquang sau mổ
Bệnh nhân được tập vận động khớp háng sau mổ, tập đi sau mổ 7 ngày

Đinh Gamma

Phẫu thuật Đinh nội tuỷ Gamma không mở ổ gãy dưới màn tăng sáng điều trị gãy liên mấu chuyển xương đùi

Phẫu thuật Đinh nội tuỷ Gamma

Đường mổ đóng đinh kín không mở ổ gãy
Đường mổ đóng đinh kín không mở ổ gãy
Phim Xquang sau mổ đóng đinh kín
Phim Xquang sau mổ đóng đinh kín
Đường mổ đóng đinh mở kinh điển
Đường mổ đóng đinh mở kinh điển

Phẫu thuật KHX cánh tay ít xâm lấn dưới màn tăng sáng

Kết hợp xương nẹp vít ít xâm lấn với đường mổ nhỏ điều trị gãy đầu trên xương cánh tay

X-quang trước phẫu thuật trong tư thế thẳng và nghiêng
X-quang trước phẫu thuật trong tư thế thẳng và nghiêng
X-quang sau mổ và đường mổ ít xâm lấn với 2 đường rạch nhỏ
X-quang sau mổ và đường mổ ít xâm lấn với 2 đường rạch nhỏ

Phẫu thuật kết hợp xương bánh chè có nội soi hỗ trợ

Phẫu thuật ít xâm lấn điều trị gãy xương bánh chè có nội soi hỗ trợ

Vết mổ nhỏ và hình ảnh kiểm soát diện khớp bánh chè lồi cầu dưới nội soi
Vết mổ nhỏ và hình ảnh kiểm soát diện khớp bánh chè lồi cầu dưới nội soi
Vận động sau mổ hoàn toàn bình thường sau 1 năm phẫu thuật
Vận động sau mổ hoàn toàn bình thường sau 1 năm phẫu thuật

Kết hợp xương cẳng chân ít xâm lấn- đường mổ nhỏ dưới màn tăng sáng

Xquang trước và sau phẫu thuật.
Xquang trước và sau phẫu thuật.
BN tái khám 1 tháng sau mổ
BN tái khám 1 tháng sau mổ

Viêm xương sụn lóc tách

Hình ảnh tổn thương viêm xương sụn lóc tách xương sên trên phim chụp MRI
Hình ảnh tổn thương viêm xương sụn lóc tách xương sên trên phim chụp MRI
Hình ảnh thực tế trong phẫu thuật nội soi khớp cổ chân
Hình ảnh thực tế trong phẫu thuật nội soi khớp cổ chân
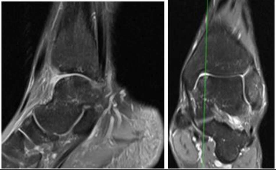
MRI sau mổ 6 tháng
MRI sau mổ 6 tháng
Sau mổ 6 tháng, Bệnh nhân lại có thể quay trở lại với đam mê chạy Marathon
Sau mổ 6 tháng, Bệnh nhân lại có thể quay trở lại với đam mê chạy Marathon

Viêm xương sụn lóc tách ghép xương sụn

Mở cửa sổ xương tiếp cận tổn thương sụn xương sên
Mở cửa sổ xương tiếp cận tổn thương sụn xương sên
Lấy bỏ 3 khối xương sụn bị tổn thương, hình ảnh xương hoá mỡ trong 3 khối lấy bỏ
Lấy bỏ 3 khối xương sụn bị tổn thương, hình ảnh xương hoá mỡ trong 3 khối lấy bỏ
Sau khi lấy 3 khối tương ứng từ lồi cầu đùi ghép vào vị trí xương- sụn lóc tách xương sên
Sau khi lấy 3 khối tương ứng từ lồi cầu đùi ghép vào vị trí xương- sụn lóc tách xương sên
Đóng lại cửa sổ xương sau khi ghép xương sụn thành công
Đóng lại cửa sổ xương sau khi ghép xương sụn thành công

Viêm xương sụn lóc tách xương sên mức độ nặng có chỉ định ghép xương – sụn từ lồi cầu xương đùi

Nội soi khớp vai điều trị rách gân chóp xoay

Rách gân trên gai trên phim chụp cộng hưởng từ và hình ảnh tương ứng qua nội soi khớp vai

Gân trên gai sau khi được tạo hình khâu lại vào điểm bám cũ

Gân trên gai sau khi được tạo hình khâu lại vào điểm bám cũ
Gân trên gai sau khi được tạo hình khâu lại vào điểm bám cũ
Gân trên gai sau khi được tạo hình khâu lại vào điểm bám cũ
Gân trên gai sau khi được tạo hình khâu lại vào điểm bám cũ
Hình ảnh cộng hưởng từ sau mổ 6 tháng
Hình ảnh cộng hưởng từ sau mổ 6 tháng

Vẹo ngoài ngón I

Hình ảnh bàn chân trái và X-quang bàn chân trước mổ
Hình ảnh bàn chân trái và X-quang bàn chân trước mổ
Hình ảnh bàn chân trái và X-quang bàn chân sau chỉnh hình vẹo ngón
Hình ảnh bàn chân trái và X-quang bàn chân sau chỉnh hình vẹo ngónHình ảnh bàn chân trái và X-quang bàn chân sau chỉnh hình vẹo ngón

Phẫu thuật chỉnh hình Vẹo ngoài ngón I bàn chân

Phẫu thuật Vỡ xương chậu phức tạp

Phẫu thuật đường trước:

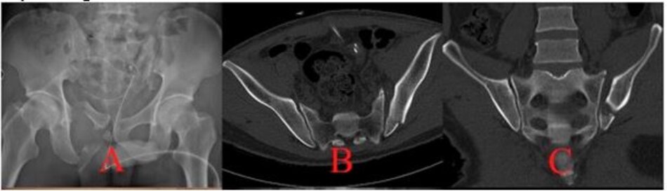
Hình ảnh vỡ xương chậu phức tạp
Hình ảnh vỡ xương chậu phức tạp
Hình ảnh đường mổ và phim chụp sau mổ đạt kết quả đúng giải phẫu
Hình ảnh đường mổ và phim chụp sau mổ đạt kết quả đúng giải phẫu

Phẫu thuật đường sau (Vỡ ổ cối)

X quang trước mổ
X quang trước mổ
X quang sau mổ
X quang sau mổ
Hình ảnh đường mổ
Hình ảnh đường mổ

086 9587728

ĐẶT LỊCH KHÁM

Đóng

LIÊN HỆ VỚI CHUYÊN GIA TRỊ TÁO BÓN

Đóng