Ung thư đại trực tràng (UTĐTT) là một trong những ung thư phổ biến hàng đầu trên thế giới, phần lớn gặp ở các nước phát triển như Úc, New Zealand, các nước châu Âu, Bắc Mỹ. Theo GLOBOCAN 2020, trên thế giới, UTĐTT đứng thứ 3 về số ca mới mắc trong tất cả các ung thư ở cả 2 giới với gần 2 triệu ca, và đứng thứ 2 về số ca tử vong với khoảng hơn 900.000 ca. Việt Nam cũng là nước có tỉ lệ mắc và tử vong do UTĐTT cao, năm 2020, số ca nới mắc và tử vong do UTĐTT đứng thứ 5 ở cả 2 giới chiếm 9% tổng số ca mới mắc các bệnh ung thư và 6,7% ca tử vong. UTĐTT thường gặp ở người lớn tuổi, 80% các ca UTĐTT được chẩn đoán sau tuổi 55, tuổi trung bình mắc UTĐTTT là 74. Tuy nhiên, trong những năm gần đây mô hình UTĐTT theo lứa tuổi đã và đang thay đổi với tỉ lệ bệnh nhân trẻ tuổi ngày một gia tăng. Các số liệu nghiên cứu cho thấy, từ năm 2000 đến năm 2013, tỉ lệ mắc UTĐTT ở người < 50 tuổi tăng 22%, chiếm khoảng 10% tổng số các ca mới mắc UTĐTT ở tất cả các lứa tuổi. Trong thực tiễn lâm sàng chúng tôi gặp ngày càng nhiều các bệnh nhân UTĐTT trẻ tuổi.
Sau đây, là một ca lâm sàng đặc biệt: ung thư đại tràng ở lứa tuổi rất hiếm gặp, 15 tuổi, được chẩn đoán và điều trị tại Trung tâm Y học hạt nhân và Ung bướu – Bệnh viện Bạch Mai.
Họ tên bệnh nhân: NGUYỄN X. N. Giới: Nam Tuổi: 15
Ngày vào viện: 19/09/2022
Lý do vào viện: Đau bụng
Tiền sử: Chưa phát hiện bất thường.
Bệnh sử: Cách vào viện 4 ngày, bệnh nhân xuất hiện đau bụng vùng quanh rốn, hố chậu trái, thành cơn, tăng dần, kèm bí trung đại tiện, bụng chướng dần, nôn buồn nôn ít, không sốtà Bệnh nhân nhập viện Bạch Mai
Khám lúc vào viện:
Bệnh nhân tỉnh, Glasgow: 15 điểm
Hội chứng tắc ruột: Đau bụng cơn, bụng chướng hơi, bí trung đại tiện, nôn
Không có phản ứng thành bụng, cảm ứng phúc mạc
Thăm trực tràng: Không thấy u bất thường.
Cận lâm sàng:
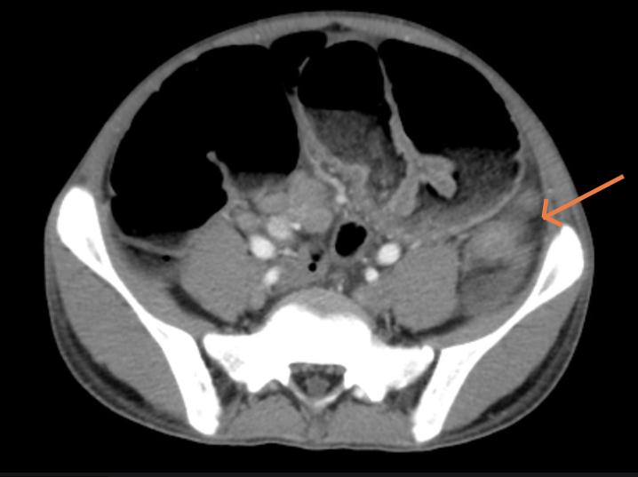
Cắt lớp vi tính ổ bụng: Các quai ruột non và khung đại tràng giãn lớn, đường kính lớn nhất 57mm, trong có mức dịch khí, vị trí chuyển tiếp là đoạn đại tràng trái, tại vị trí này, thành đại tràng dày nhẹ.
![]() |
![]() |
Hình 1. Hình ảnh cắt lớp vi tính ổ bụng
Chẩn đoán: Tắc ruột/ Theo dõi ung thư đại tràng trái
Bệnh nhân được chỉ định mổ cấp cứu: làm hậu môn nhân tạo đại tràng trái
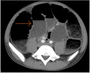
Nội soi đại trực tràng: Đèn soi đi đường hậu môn nhân tạo, ngay dưới hậu môn nhân tạo có khối sùi loét chiếm gần hết chu vi, phần đại trực tràng còn lại không thấy tổn thương.

Hình 2 Hình ảnh nội soi đại tràng
Sau 10 ngày, bệnh nhân được phẫu thuật nội soi cắt đại tràng trái + vét hạch
Giải phẫu bệnh sau mổ: Ung thư biểu mô tuyến biệt hóa vừa xâm lấn tới thanh mạc, không xâm lấn mạch máu thần kinh, 42/42 hạch không có u.
Chẩn đoán xác định: Ung thư đại tràng trái pT3N0M0
Hướng điều trị tiếp theo: Đánh giá tình trạng gen sửa chữa bắt cặp sai ADN (Mismatch repair – MMR), xét điều trị hóa chất bổ trợ
Thay lời kết:
UTĐTT ở người bệnh trẻ tuổi thường được chẩn đoán ở giai đoạn muộn hơn và có tiên lượng xấu hơn so với nhóm người bệnh lớn tuổi, Theo nghiên cứu hồi cứu trên 2.460 người bệnh tại Trung Quốc của Jianfei Fu và cộng sự cho thấy UTĐTT giai đoạn III, IV theo AJCC 2017 ở người bệnh trẻ tuổi cao hơn rõ rệt nhóm cao tuổi. Theo các nghiên cứu của O’connel và Jianfei, tỷ lệ sống thêm toàn bộ ở nhóm trẻ thấp hơn nhóm lớn tuổi.
Hiện nay, theo các khuyến cáo trên thế giới, mốc bắt đầu sàng lọc ung thư đại trực tràng thường được khuyến cáo ở tuổi 45. Tuy nhiên, UTĐTT có xu hướng ngày càng trẻ hóa, không chỉ gặp ở lứa tuổi trung niên mà có thể gặp ở cả thanh thiếu niên. Do đó, với những đối tượng nguy cơ cao như tiền sử gia đình có người mắc UTĐTT, mắc các hội chứng di truyền liên quan đến UTĐTT như hội chứng Lynch, hội chứng đa polyp tuyến gia đình,… hoặc khi có triệu chứng nghi ngờ như đi ngoài phân nhầy máu, thay đổi thói quen đại tiện, đau bụng kéo dài, những người bệnh này nên đi khám sàng lọc bệnh sớm.
GS.TS Mai Trọng Khoa, PGS.TS Phạm Cẩm Phương, ThS Bùi Quang Lộc – Trung tâm YHHN& UB, BVBM; BSNT Hoàng Mạnh Đức – Đại học Y HN; BSCKII. Hoàng Anh – Trung tâm Cấp cứu A9, BVBM



