Ung thư phổi là loại ung thư thường gặp thứ 2 trên thế giới và cả ở Việt Nam. Đây là một trong những loại ung thư có tỷ lệ tử vong cao nhất do ung thư. Ở nước ta hiện nay, rất nhiều bệnh nhân ung thư phổi được chẩn đoán khi đã ở giai đoạn muộn.
Ung thư phổi không tế bào nhỏ (UTPKTBN) là loại ung thư phổi thường gặp nhất, chiếm khoảng 80% tổng số ung thư phổi.
Bên cạnh các phương pháp điều trị UTPKTBN như phẫu thuật, hóa chất, xạ trị thì các phương pháp điều trị mới như điều trị nhắm trúng đích, điều trị miễn dịch, liệu pháp sinh học… đang mở ra những cơ hội mới cho các bệnh nhân UTPKTBN giai đoạn tiến xa. Điều trị đích là biện pháp sử dụng các kháng thể đơn dòng hay thuốc phân tử nhỏ để gắn trực tiếp vào các điểm gắn đặc hiệu có ở các tế bào ung thư, từ đó làm cho tế bào ung thư bị tiêu diệt hoặc ngừng phát triển…
Dưới đây là một bệnh nhân ung thư phổi di căn xương được điều trị ổn định bằng phương pháp điều trị đích.
Họ tên: N.T.T. Nữ, 60 tuổi
Ngày vào viện: 28/ 04/ 2022
Lí do vào viện: Đau ngực, khó thở, đau cột sống thắt lưng
Tiền sử: khỏe mạnh
Bệnh sử: Bệnh diễn biến trước vào viện 2 tuần, bệnh nhân xuất hiện đau cột sống thắt lưng, đau ngực phải, khó thở nhẹ, không ho, không sốt, mệt mỏi. Bệnh nhân đi khám, được chẩn đoán xẹp đốt sống D12, nên đã được bơm xi măng vào thân đốt sống D12 tại Bệnh viện đa khoa Bắc Ninh. Sau đó, bệnh nhân được chụp cắt lớp vi tính lồng ngực thì phát hiện có u thùy trên phổi phải. Sau đó bệnh nhân được nhập viện vào Trung tâm Y học hạt nhân và Ung bướu – Bệnh viện Bạch Mai.
Khám lúc vào viện:
– Bệnh nhân tỉnh, tiếp xúc tốt
– Thể trạng trung bình, thể trạng chung tốt, chiều cao: 165cm, cân nặng: 51kg
– Mạch: 80 lần/phút, Huyết áp: 120/80mmHg
– Hạch ngoại vi không sờ thấy
– Tim đều, T1, T2 rõ, không có tiếng bất thường
– Phổi: Rì rào phế nang phổi phải giảm , không rales
– Bụng mềm, gan lách không to
– Cơ quan bộ phận khác chưa phát hiện bất thường
Các xét nghiệm cận lâm sàng:
– Xét nghiệm: công thức máu, chức năng gan thận, điện giải đồ trong giới hạn bình thường; HIV (-), HbsAg (-).
– Xét nghiệm chất chỉ điểm u tăng cao: CEA: 282,9 ng/ml (bình thường: < 4,3 ng/ml)
– Nội soi dạ dày, đại tràng chưa phát hiện bất thường.
– Chụp cắt lớp vi tính lồng ngực: khối thùy trên phổi trái tỷ trọng tổ chức có phế quản chứa khí, có vôi hóa, dạng hình tam giác đỉnh quay về phía rốn phổi, đáy quay về ngoại vi kích thước 27x65mm, gây xẹp gần hoàn toàn thùy trên phổi; tổn thương đặc xương lan tỏa nhiều thân đốt sống theo dõi thứ phát.

Hình 1: Hình ảnh chụp cắt lớp vi tính lồng ngực: hình ảnh u thùy trên phổi trái, xẹp gần hoàn toàn thùy trên phổi trái
– Chụp cắt lớp vi tính ổ bụng: chưa phát hiện tổn thương thứ phát
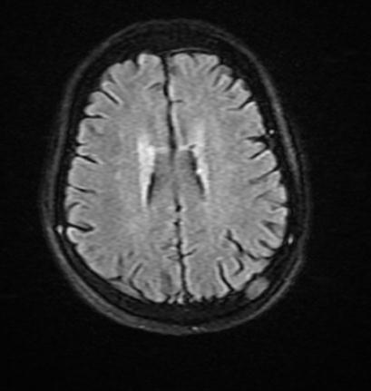
– MRI sọ não: hình ảnh ngấm thuốc xương chẩm trái theo dõi thứ phát
|
Hình 2: Hình ảnh chụp cắt lớp vi tính ổ bụng |
Hình 3: Hình ảnh chụp cộng hưởng từ sọ não |
|
– Hình ảnh chụp cộng hưởng từ cột sống thắt lưng: Tổn thương đa ổ trong các thân đốt sống T9 đến T12, L2 đến L5, cuống sống T12 và L4 bên trái, cuống sống T9, T10, T12, L1, L4 có các ổ tổn thương giảm tín hiệu trên T1W, T2W, tăng tín hiệu trên STIR, sau tiêm ngấm thuốc mạnh, ổ lớn kích thước 35x28mm. Hình 4. Hình ảnh chụp cộng hưởng từ cột sống thắt lưng |
![]() |
– Bệnh nhân được sinh thiết qua nội soi phế quản
– Làm xét nghiệm mô bệnh học, kết quả: ung thư biểu mô tuyến
– Nhuộm hoá mô miễn dịch: được xác định nguồn gốc tại phổi.
– Xét nghiệm để tìm đột biến gen EGFR của mẫu mô sinh thiết: phát hiện đột biến L858R trên exon 21, không phát hiện đột biến T790M trên exon 20.
Chẩn đoán xác định:
Ung thư phổi phải di căn xương đa ổ, giai đoạn IVB (T3N2M1c)
Giải phẫu bệnh: Ung thư biểu mô tuyến, EGFR dương tính
Điều trị:
– Thuốc điều trị đích thế hệ 2: Afatinib (Giotrif) 40mg/ ngày. Uống hàng ngày.
Đánh giá sau điều trị:
Lâm sàng: Sau 1 tháng bệnh nhân đỡ đau tức ngực, đỡ đau thắt lưng, không ho, không khó thở. Sau 3 tháng bệnh nhân ổn định, hết đau ngực, hết đau thắt lưng, tăng 2 kg.
Trong quá trình điều trị, bệnh nhân có tác dụng phụ tiêu chảy độ 2, được dùng thuốc Loperamid 2mg x 2 viên/ngày, điều trị hỗ trợ, tình trạng rối loạn tiêu hóa được cải thiện, không còn tiêu chảy; loét miệng độ 1, hướng dẫn bệnh nhân vệ sinh, súc miệng họng hàng ngày, tình trạng loét miệng đã hết.
Xét nghiệm chất chỉ điểm u: Nồng độ CEA và Cyfra 21-1 giảm dần sau điều trị 2 tháng.
| Chất chỉ điểm khối u | Trước điều trị |
Sau điều trị 1 tháng |
Sau điều trị 2 tháng |
| CEA (ng/ml) | 282,9 | 122,8 | 119,5 |
| Cyfra 21-1 (ng/ml) | 2,24 | 1,59 | 1,96 |
Chụp cắt lớp vi tính lồng ngực sau điều trị 3 tháng:

Hình 5: Hình ảnh chụp cắt lớp vi tính lồng ngực sau điều trị 3 tháng: tổn thương phổi giảm đáng kể, xẹp phổi giảm rõ, rải rác còn ít tổn thương xơ
Tóm lại:
Trên đây là một bệnh nhân nữ cao tuổi (80 tuổi) được chẩn đoán bệnh ở giai đoạn muộn (ung thư phổi giai đoạn IV), được điều trị ổn định bệnh tại Trung tâm y học hạt nhân và ung bướu – Bệnh viện Bạch Mai. Hiện tại bệnh nhân hoàn toàn không đau ngực, không khó thở, sinh hoạt bình thường và đang được tiếp tục điều trị theo phác đồ. Hy vọng bệnh nhân sẽ đạt ổn định bệnh lâu dài.
GS. TS. Mai Trọng Khoa, PGS. TS. Phạm Cẩm Phương, BSCKII Lê Viết Nam, BSNT Vũ Thị Niên – Trung tâm YHHN&UB, BV Bạch Mai




