Viêm xoang hàm do răng: Nguyên nhân và phương pháp điều trị

Viêm xoang hàm do răng là gì?

Viêm xoang hàm do răng là viêm niêm mạc xoang hàm do các nhiễm trùng xuất phát từ các ổ viêm vùng cuống răng. Bệnh chiếm tỷ lệ 10-12% các trường hợp viêm xoang hàm nói chung. Ngày nay, bệnh có xu hướng ngày càng gia tăng do các phẫu thuật, thủ thuật răng miệng như cấy ghép, phục hình, nhổ răng, … Bệnh gặp nhiều nhất trong giai đoạn 41- 60 tuổi, nam thường gặp nhiều hơn nữ.

Nếu không được phát hiện và điều trị kịp thời, viêm xoang hàm do răng có thể dẫn đến những biến chứng nguy hiểm như: viêm tấy hoặc áp xe hốc mắt, cốt tuỷ viêm xương hàm trên, …

Nguyên nhân viêm xoang hàm do răng   

Do xoang hàm có liên quan mật thiết với các răng hàm trên, đặc biệt là các răng từ số 4 đến số 8. Vì vậy, vi khuẩn có thể xâm nhập từ răng và huyệt ổ răng nói trên vào trong xoang:

–         Do viêm, nhiễm trùng từ răng miệng: sâu răng, nhiễm khuẩn quanh cuống răng, áp xe, viêm tấy, u hạt quanh chân răng

–         Do u: u nang chân răng vỡ mủ vào xoang.

–         Do các can thiệp phục hình, cấy ghép, khoan hay tai biến do nhổ răng tạo nên lỗ dò thông thương với xoang hàm.

Khi nào cần nghĩ đến viêm xoang hàm do răng

–         Bệnh nhân có tiền sử can thiệp răng miệng hoặc có tổn thương răng hàm trên như: đau răng, lung lay răng, vỡ răng…

–         Có triệu chứng mũi xoang đặc biệt là ở một bên như: chảy mũi mủ, đau nhức mũi, ngửi thấy mùi thối trong mũi.

Khi có các triệu chứng như trên, người bệnh cần đi khám chuyên khoa Tai Mũi Họng và Răng Hàm Mặt để được phát hiện và điều trị bệnh kịp thời.

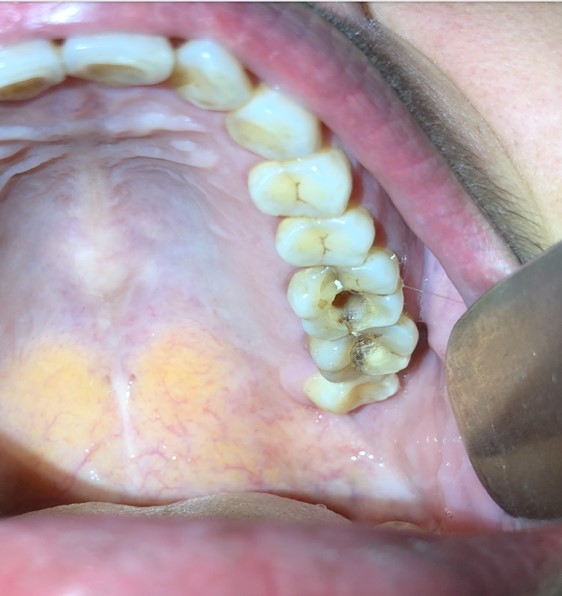
 viem xoang 1

Hình 1. Lỗ sâu răng R26, R27

Viêm xoang hàm do răng được chẩn đoán như thế nào?

Chẩn đoán viêm xoang hàm do răng cần có sự phối hợp của hai chuyên khoa Tai Mũi Họng và Răng Hàm Mặt, bác sĩ sẽ tiến hành những việc sau:

–         Hỏi bệnh, đánh giá các triệu chứng viêm mũi xoang và răng miệng, tiền sử can thiệp vùng răng hàm trên.

–         Nội soi mũi: khe giữa có mủ, phù nề niêm mạc, có polyp.

–         Khám răng: phát hiện các tổn thương của răng hàm trên (lung lay, vỡ răng, lỗ sâu răng, hàn hoặc chụp, …) và quanh răng (rò mủ, sưng đau) tương ứng với xoang hàm.

–         Chẩn đoán hình ảnh: hiện nay chủ yếu chỉ định phim chụp cắt lớp vi tính mũi xoang và chụp Conebeam CT, giúp đánh giá đồng thời đặc điểm bệnh lý của xoang hàm và răng liên quan, đồng thời là bản đồ để bác sĩ lập kế hoạch can thiệp hiệu quả.

viem xoang 21

Hình 2. Đường thông giữa ổ viêm chân răng với xoang hàm trên phim chụp Conebeam CT

Viêm xoang hàm do răng được điều trị như thế nào?

Tuỳ vào tổn thương cụ thể mà bác sĩ sẽ quyết định phương pháp điều trị, với nguyên tắc phải điều trị đồng thời tổn thương xoang và điều trị nguyên nhân ở răng:

–         Điều trị nội khoa mũi xoang: kháng sinh, chống viêm, rửa mũi.

–         Phẫu thuật nội soi mũi xoang: dẫn lưu mủ, lấy dị vật trong xoang (chất hàn răng, chân răng bị tụt vào trong lòng xoang, …).

–         Điều trị răng nguyên nhân: bảo tồn, nhổ bỏ, bít lấp đường rò răng miệng, …

Lời khuyên của chuyên gia

–         Khi có triệu chứng mũi xoang ở một bên, người bệnh cần đi khám chuyên khoa Tai Mũi Họng sớm để phát hiện viêm xoang do răng.

–         Để điều trị hiệu quả viêm xoang do răng, cần tuân thủ đúng phác đồ điều trị của bác sĩ chuyên khoa Tai Mũi Họng và Răng Hàm Mặt.

–         Chăm sóc răng miệng, khám và điều trị sớm, triệt để các bệnh lý răng hàm trên để tránh viêm xoang hàm do răng.

BSCK II. Đỗ Tuấn Hùng

Khoa Tai Mũi Họng – BV Bạch Mai


086 9587728
[contact-form-7 id="6" title="Đặt hàng"] Đóng
[contact-form-7 id="508" title="Liên hệ"] Đóng