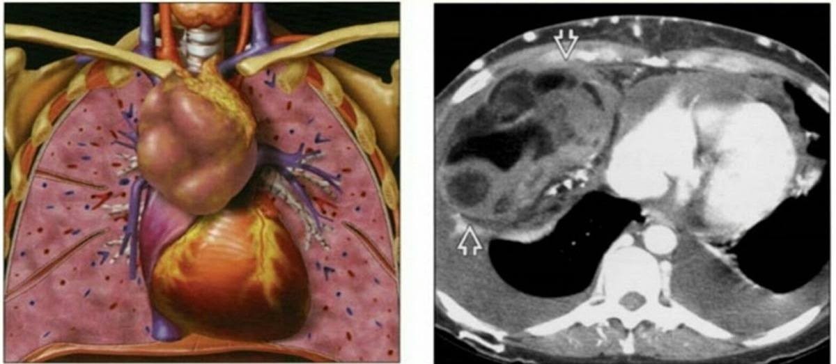
U/ Nang trung thất là những khối u nguyên phát trong khoang trung thất. U trung thất giai đoạn đầu thường có một số triệu chứng như ho, đau ngực… nhưng rất mơ hồ. Giai đoạn muộn khi khối u đã lớn, triệu chứng chủ yếu là các dấu hiệu do khối u chèn ép các cơ quan trong lồng ngực như: Khó thở, phù mặt, đau tức ngực… Hầu hết các loại u/ nang trung thất đều cần thiết phải phẫu thuật cắt bỏ.
Để có những thông tin cụ thể hơn, chúng tôi có buổi trao đổi với TS.BS. Ngô Gia Khánh – Trưởng Khoa Phẫu thuật Lồng ngực, Bệnh viện Bạch Mai về vấn đề này.
PV: Xin bác sĩ cho biết U trung thất là bệnh gì?
TS.BS. Ngô Gia Khánh: U/ Nang trung thất là những khối u nguyên phát trong khoang trung thất – khoảng không gian bên trong lồng ngực nằm xen giữa tim và hai lá phổi. U/ nang trung thất có nhiều loại, có thể lành tính hoặc ác tính, tùy vào vị trí người ta chia ra u trung thất trước, u trung thất trên, u trung thất giữa, u trung thất sau hoặc gọi tên cụ thể theo nguồn gốc khối u như: u tuyến ức, u nang màng tim, u thần kinh trung thất sau…

U trung thất giai đoạn đầu thường có một số triệu chứng như ho, đau ngực… nhưng rất mơ hồ, giai đoạn này chủ yếu bệnh nhân phát hiện bệnh khi đi khám sức khỏe định kỳ. Giai đoạn muộn khi khối u đã lớn, triệu chứng chủ yếu là các dấu hiệu do khối u chèn ép các cơ quan trong lồng ngực như: Khó thở, phù mặt, đau tức ngực…
Hầu hết các loại u/ nang trung thất đều cần thiết phải phẫu thuật cắt bỏ. Tùy vị trí, tính chất, kích thước, mức độ lan rộng của khối u các bác sỹ sẽ lựa chọn phương pháp phẫu thuật phù hợp: Mổ mở hoặc mổ nội soi.
PV: Ca mổ thường diễn ra như thế nào, thưa bác sĩ?
TS.BS. Ngô Gia Khánh: Có hai phương pháp: Mổ mở và mổ nội soi
Mổ mở: Thường áp dụng với những khối u lớn, giai đoạn muộn đã xâm lấn các cơ quan xung quanh hoặc ở vị trí mà thao tác nội soi khó thực hiện. Tùy vị trí khối u, bác sỹ phẫu thuật sẽ lựa chọn mở dọc xương ức hoặc mở ngực bên để tiếp cận và cắt bỏ khối u


Mổ nội soi: Thường áp dụng cho các khối u dạng nang dịch, u lành tính kích thước vừa phải, chưa xâm lấn xung quanh. Mổ nội soi có nhiều ưu điểm hơn so với mổ mở: Ít đau, hồi phục nhanh, sẹo mổ nhỏ… Trong phẫu thuật này bác sỹ chỉ sử dụng 2-3 đường rạch nhỏ trên lồng ngực qua đó đưa dụng cụ vào để thao tác dưới hướng dẫn của màn hình nội soi.
PV: Sau mổ, bệnh nhân sẽ hồi phục và được chăm sóc như thế nào thưa bác sĩ?
TS.BS. Ngô Gia Khánh: Bệnh nhân được gây mê nội khí quản trong quá trình phẫu thuật. Vì vậy, bệnh nhân được khuyến khích vận động sớm sau mổ, tập lý liệu pháp hô hấp rất cần thiết cho giai đoạn hồi phục. Đa phần các trường hợp phẫu thuật không liên quan đến đường tiêu hóa nên bệnh nhân có thể ăn uống được bình thường ngay khi có thể, tuy nhiên tránh tư thế ăn trong khi nằm vì có thể gây sặc.
Thông thường thời gian nằm viện là 5-7 ngày. Tiên lượng bệnh và kế hoạch điều trị tiếp theo phụ thuộc vào kết quả xét nghiệm của khối u, các bác sỹ sẽ trao đổi vấn về này.
PV: Các tai biến/ biến chứng có thể xảy ra là gì, thưa bác sĩ?
Các biến chứng có thể xảy ra bao gồm:
Chảy máu: Do khối u trung thất nằm cạnh các mạch máu lớn trong lồng ngực nên phẫu thuật cắt khối u có nguy cơ cao gây tổn thương những mạch máu này, một số trường hợp gây hậu quả nghiêm trọng thậm chí ảnh hưởng đến tính mạng. Đôi khi chảy máu xảy ra sau phẫu thuật có thể phải can thiệp lại để cầm máu.
Tổn thương các cơ quan trong lồng ngực: Một số trường hợp khối u xâm lấn vào các tạng xung quanh, quá trình cắt bỏ khối u có thể gây tổn thương các cơ quan này ví dụ: tổn thương thần kinh hoành gây liệt cơ hoành, tổn thương thực quản gây rò thực quản, tổn thương ống ngực gây rò bạch huyết…
Nhiễm trùng: Như các can thiệp ngoại khoa khác, vết mổ là đường vào của vi khuẩn có thể gây nhiễm trùng tại vết mổ hoặc thậm chí nghiêm trọng hơn, nhiễm trùng sâu trong lồng ngực.
Xẹp phổi: phần lớn liên quan đến vấn đề tập thở không tốt sau phẫu thuật dẫn đến ứ đọng đờm dãi gây xẹp phổi.
PV: Vậy bệnh nhân cần làm gì khi có những biến chứng như bác sĩ nói?
Khi có các dấu hiệu bất thường, bệnh nhân cần báo ngay cho bác sĩ hoặc điều dưỡng trực để có những thăm khám và can thiệp kịp thời.
Đỗ Hằng (ghi)

