
Diễn biến nguy hiểm từ triệu chứng mơ hồ
Bệnh nhân chưa phát hiện bệnh lý nội khoa trước đây, đã thụ tinh trong ống nghiệm (IVF) 2 lần thất bại, hiện là lần 3 thai 27 tuần. Bệnh nhân được theo dõi thai kỳ tại bệnh viện Sản Nhi tuyến cơ sở sau khi xuất hiện ra dịch âm đạo màu nâu không sốt vào ngày 23/6 và được chẩn đoán rau bám thấp – dọa sinh non.
Tuy nhiên, từ ngày 1/7, bệnh nhân xuất hiện sốt, kèm theo đau đầu liên tục. Dù được chẩn đoán cúm A và điều trị Tamiflu trong 5 ngày, các triệu chứng không cải thiện mà ngày càng nặng hơn.
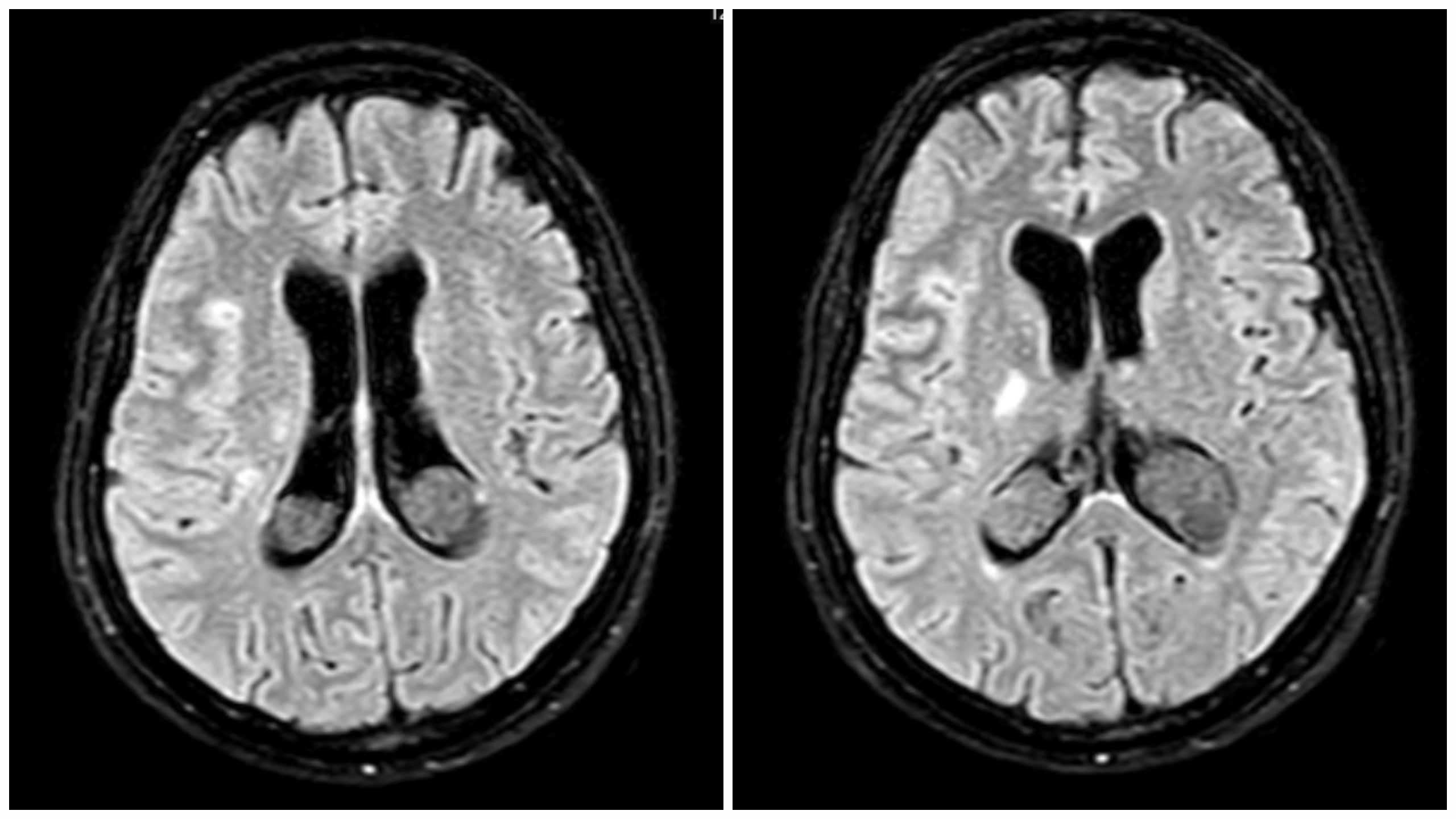
Kết quả MRI sọ cho thấy tổn thương chất trắng rải rác hai bên bán cầu não, giãn não thất, khiến các bác sĩ nghi ngờ một bệnh lý nhiễm trùng thần kinh trung ương. Ngày 7/7, bệnh nhân được chuyển đến Viện Y học nhiệt đới, Bệnh viện Bạch Mai. Kết quả chọc dịch não tủy ghi nhận: tế bào tăng cao, protein cao, glucose hạ thấp. Đây là những đặc điểm điển hình của lao màng não.

Kết quả MRI sọ sản phụ cho thấy tổn thương chất trắng rải rác hai bên bán cầu não
Được điều trị kháng sinh tích cực, tuy nhiên tình trạng rối loạn ý thức của bệnh nhân tăng dần. Sau đó, bệnh nhân lơ mơ, sốt cơn, chuyển Hồi sức tích cực, đặt ống sonde dạ dày và được theo dõi sát sao, với sự phối hợp chặt chẽ của liên chuyên khoa, sẵn sàng xử trí khi có biến chứng bất thường. Đồng thời hội đồng bác sĩ Bệnh viện Bạch Mai hội chẩn thống nhất cố gắng mọi cách duy trì, giữ thai cho sản phụ đến tuần 34. Hơn hai tuần điều trị, bệnh nhân tỉnh, có dần nhận thức trở lại và được mổ bắt thai thành công ở tuần 31 do ối cạn.
Theo ThS.BS Nghiêm Văn Hùng – Viện Y học Nhiệt đới, Bệnh viện Bạch Mai: “Lao màng não là thể lao nguy hiểm nhất. Nếu không được phát hiện, điều trị sớm, nguy cơ tử vong và để lại di chứng thần kinh rất cao. Đặc biệt, với phụ nữ mang thai, hệ miễn dịch suy giảm khiến bệnh có thể tiến triển nhanh chóng và khó lường.”
Lao vẫn là “kẻ giết người thầm lặng”
Bệnh lao (tuberculosis – TB) vẫn là một trong những bệnh truyền nhiễm nguy hiểm hàng đầu tại Việt Nam và trên thế giới. Dù đã có phác đồ điều trị hiệu quả, nhưng mỗi năm, vẫn có hàng ngàn người tử vong vì lao, chủ yếu do phát hiện trễ hoặc không điều trị kịp thời. Lao thường bị bỏ sót ở giai đoạn đầu do triệu chứng không điển hình như: ho kéo dài, sụt cân, sốt nhẹ, mệt mỏi hoặc đau đầu. Đặc biệt, bệnh lao ở những đối tượng nguy cơ cao như phụ nữ mang thai, người suy giảm miễn dịch, bệnh nhân hiếm muộn điều trị hỗ trợ sinh sản (IVF)… có thể gây hậu quả nghiêm trọng, thậm chí tử vong.

ThS.BS Nghiêm Văn Hùng, Viện Y học Nhiệt đới, Bệnh viện Bạch Mai thăm khám cho sản phụ
Trong bối cảnh số lượng bệnh nhân IVF ngày càng tăng, việc tầm soát các bệnh truyền nhiễm, đặc biệt là lao, trước khi mang thai là cực kỳ cần thiết.
“Nếu bạn nằm trong nhóm nguy cơ (người từng sống chung với bệnh nhân lao, người điều trị hiếm muộn, phụ nữ mang thai, người suy giảm miễn dịch…), hãy chủ động tầm soát lao trước khi mang thai hoặc điều trị IVF. Đừng chủ quan với các triệu chứng như ho kéo dài, sốt âm ỉ, sụt cân, hay đau đầu mạn tính”, ThS.BS Nghiêm Văn Hùng nhấn mạnh.
Ths. BS Hùng cũng nói thêm, ở góc độ nhân viên y tế, cần nâng cao cảnh giác lâm sàng, đánh giá nguy cơ mắc lao ở phụ nữ chuẩn bị IVF hoặc đang mang thai. Hướng dẫn người bệnh tầm soát lao tiềm ẩn và điều trị dự phòng khi cần thiết. Đặc biệt, hãy phối hợp liên chuyên khoa (truyền nhiễm – sản – thần kinh) để đảm bảo an toàn tối đa cho mẹ và thai nhi.
Bệnh lao có thể phòng ngừa bằng vắc xin BCG, tuy nhiên không thể ngăn chặn hoàn toàn việc nhiễm vi khuẩn lao. Vì vậy, phát hiện sớm và điều trị kịp thời vẫn là chìa khóa để sống khỏe và an toàn với căn bệnh này.
| Để có một chiến lược tiêm phòng an toàn, hiệu quả, được tư vấn bởi các chuyên gia đầu ngành, người dân có thể liên hệ Đơn vị Tư vấn và Tiêm chủng Vắc xin, Bệnh viện Bạch Mai qua số 0384 190 091 và Fanpage: https://www.facebook.com/tiemchungbachmai. |

