Áp lực thi cử, căng thẳng trong cuộc sống… là một trong những nguyên gây loét dạ dày – tá tràng. Khoa Phẫu thuật Tiêu hóa Gan mật Tụy, Bệnh viện Bạch Mai đã tiếp nhận và phẫu thuật viêm phúc mạc do thủng ổ loét hành tá tràng cho một học sinh thi chuyển cấp từ lớp 9 lên lớp 10. Vậy đâu là nguyên nhân, cách nhận diện và phòng ngừa bệnh? Mời bạn xem thông tin ở bài viết.
Thủng hành tá tràng, viêm phúc mạc vì áp lực thi cử
Viêm loét dạ dày – tá tràng là căn bệnh xuất phát từ tổn thương của lớp niêm mạc – lớp lót trong cùng của dạ dày hoặc tá tràng bị bào mòn. Nếu không được phát hiện và điều trị kịp thời, loét sẽ khoét sâu xuống các lớp bên dưới thành dạ dày gây các biến chứng như thủng, chảy máu, hẹp môn vị, ung thư hóa… Nguyên nhân gây bệnh được kể đến như: lạm dụng thuốc lá, bia rượu; ăn uống, sinh hoạt thiếu điều độ, căng thẳng tâm lí (stress)… Điều này lí giải việc bệnh viêm loét dạ dày tá tràng trước đây thường gặp ở độ tuổi trưởng thành. Tuy nhiên, căn bệnh này càng ngày càng trẻ hóa, xuất hiện ở lứa tuổi học đường do áp lực học hành, thi cử đặc biệt thời điểm cuối năm học.
Bệnh viện Bạch Mai tiếp nhận khám chữa nhiều trường hợp học sinh mắc căn bệnh này, đặc biệt có những trường hợp đã xảy ra biến chứng nặng. Điển hình là một trường hợp viêm phúc mạc do thủng ổ loét hành tá tràng đã được điều trị phẫu thuật tại Khoa Phẫu thuật Tiêu hóa – Gan mật tụy.
Bệnh nhân nam 15 tuổi, học sinh lớp 9 đang chuẩn bị thi cuối cấp lên lớp 10. Em có tiền sử viêm dạ dày tá tràng đã điều trị nội khoa nhiều đợt. Gần đây, lo lắng chuyện thi cử, luyện thi nên đau bụng vùng trên rốn nhiều hơn. Sau một ca học thêm buổi tối, em N.X.Đ về nhà thì bị đau bụng dữ dội kèm theo sốt cao. Em Đ được gia đình đưa vào Bệnh viện Bạch Mai cấp cứu trong tình trạng có hội chứng nhiễm trùng rõ, bụng đau co cứng như gỗ. Sau khi được làm những xét nghiệm cần thiết, bệnh nhân Đ được chẩn đoán: Viêm phúc mạc do thủng ổ loét hành tá tràng. Ngay sau đó, bệnh nhân Đ được các bác sĩ mổ cấp cứu phẫu thuật nội soi khâu lỗ thủng ổ loét hành tá tràng, lau rửa, dẫn lưu ổ bụng. Bệnh nhân Đ được ra viện sau 5 ngày điều trị nhưng vẫn phải tiếp tục điều trị thuốc và theo dõi khám lại.

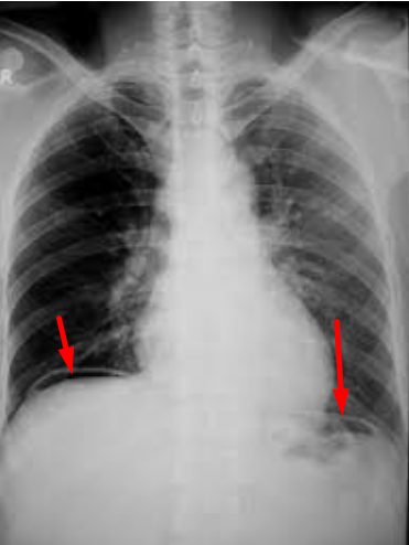
Hình 1.1. Hình khí tự do dưới cơ hoành (mũi tên đỏ) trước mổ của bệnh nhân Đ, chứng tỏ có thủng tạng rỗng

Hình 1.2. Ảnh thủng mặt trước hành tá tràng quan sát trong mổ của bệnh nhân Đ (mũi tên xanh)
Thủng ổ loét là biến chứng nặng nề của bệnh loét dạ dày tá tràng và là hậu quả của mất cân bằng giữa các yếu tố tấn công (acid, pepsin) và hệ thống bảo vệ niêm mạc của dạ dày, tá tràng. Hàng năm trên thế giới có khoảng 4 triệu người mắc, chiếm 1,5-3% dân số thế giới, tỉ lệ biến chứng của loét dạ dày, tá tràng khoảng 10-20%, trong đó biến chứng thủng chiếm 2-14%. Thủng ổ loét hành tá tràng có thể gặp bất cứ thời gian nào trong năm nhưng hay gặp về mùa đông xuân, là lúc giao thời. Thủng ổ loét dạ dày – tá tràng phát hiện và xử trí muộn có tỷ lệ tử vong từ 2,5-10%. Ở bệnh nhân già yếu tỷ lệ tử vong lên đến 30%.
Nhận diện cơn đau dạ dày – tá tràng
Với trẻ em ở lứa tuổi học đường, cha mẹ và người thân cần sớm nhận biết dấu hiệu căng thẳng, lo âu, thậm chí sợ hãi của trẻ như: mệt mỏi, hay hồi hộp, lo lắng, vã mồ hôi, khó chịu, bồn chồn, rối loạn cảm xúc (cáu giận, bực bội, phản ứng thái quá trước những việc bình thường), ăn ngủ kém, hay đau bụng đi ngoài mỗi khi căng thẳng…
Khi đã có viêm loét dạ dày trẻ sẽ có những cơn đau bụng trên rốn hoặc quanh rốn âm ỉ, giống như rối loạn tiêu hóa nên cha mẹ thường chủ quan tự chữa bằng men tiêu hóa, tẩy giun… do đó nhiều khi bệnh chỉ được phát hiện khi đã biến chứng. Ngoài ra, trẻ còn có thể buồn nôn, nôn, ợ hơi, ợ chua…
Để giúp trẻ tránh áp lực, căng thẳng cha mẹ cần giúp con có kế hoạch học tập hợp lý, tránh dồn khối lượng lớn trước kỳ thi, có thời gian xen kẽ nghỉ ngơi, thư giãn, vận động thể chất. Ăn uống khoa học, hợp vệ sinh, sinh hoạt điều độ, tránh thức khuya. Động viên, khuyến khích tạo tâm trạng thoải mái cho trẻ, không đòi hỏi kết quả vượt quá xa năng lực thực tế của trẻ. Không trách mắng, xúc phạm trẻ khi kết quả không đạt được như kì vọng…
—————————————————————————
Người bệnh có nhu cầu khám, tư vấn các bệnh lý về dạ dày tá tràng cũng như các bệnh lý chuyên khoa tiêu hóa – Gan mật tụy khác có thể đăng ký khám tại Phòng khám của Khoa Phẫu Thuật Tiêu Hóa- Gan Mật Tụy, Bệnh viện Bạch Mai.
Phòng khám 509, Tầng 5 Nhà K1, khoa khám bệnh theo yêu cầu
Phòng khám 307, buồng số 5, tầng 3 nhà K2, Khoa khám bệnh
Số điện thoại liên hệ: Hotline khoa PTTH- GMT: 086 958 7701
————————————————————————————
Đón đọc kỳ 2: Tác nhân nào gây nên bệnh viêm loét dạ dày tá tràng là gì? Triệu chứng và cách phòng ngừa bệnh ra sao? Các bác sĩ của Khoa Phẫu thuật Tiêu hóa – Gan mật tụy sẽ có những tư vấn chi tiết về nội dung này.
BS. Nguyễn Hàm Hội – BS. Nguyễn Văn Minh

