Theo lời người bệnh kể lại, cách đây 1 năm, người bệnh thấy mệt
khi gắng sức, đi kiểm tra sức khỏe tổng quát phát hiện bệnh tim cần phẫu thuật.
Lần lữa mãi, cho tới năm nay, được biết bệnh tim có thể mổ nội soi, người bệnh
mới quyết định tìm đến bệnh viện Đại học Y Dược TPHCM hỏi thăm bác sĩ bệnh của
mình có thể mổ nội soi được không.

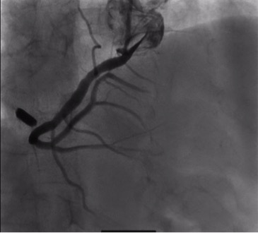
Dị
vật hình hạt thóc trên phim chụp mạch vành
Khi siêu âm tim ghi nhận người bệnh bị hở van 3 lá rất nặng, tim
phải dãn lớn, có chỉ định phẫu thuật sửa van 3 lá. Tuy nhiên, khi xem phim XQ
ngực thẳng và chụp mạch vành, các bác sĩ phát hiện trong tim có một mảnh dị vật
cản quang. Sau khi hội chẩn, các bác sĩ quyết định chụp MSCT không cản quang
cho người bệnh để xác định vị trí của dị vật. Sau khi phân tích kết quả chụp,
kết luận được dị vật nằm trong nhĩ phải. Sau khi hội chẩn và bàn bạc cùng gia
đình và người bệnh, TS BS. Nguyễn Hoàng Định – Trưởng khoa Phẫu thuật tim mạch
quyết định vẫn sẽ phẫu thuật nội soi tim để sửa van 3 lá và lấy dị vật.

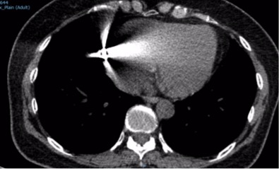
Dị vật cản quang ở nhĩ trái trên phim MSCT
Bệnh nhân đã được phẫu thuật ngày 22/8/2016 qua nội soi. Dị vật
được tìm thấy ghim trong nhĩ phải, nằm sát đường đi của động mạch vành phải. TS
BS. Nguyễn Hoàng Định chia sẻ: “Người bệnh đã rất may mắn, vì chỉ cần lệch vài
mm, mảnh dị vật sẽ làm tổn thương động mạch vành phải, và tính mạng của người
bệnh khi đó sẽ khó lòng mà giữ được”.
Van ba lá của người bệnh hở nặng do đứt một số dây chằng của hai
trong số ba lá van của van ba lá. Tổn thương van 3 lá dạng này ít gặp hơn, sửa
chữa phức tạp hơn các trường hợp hở van 3 lá xảy ra sau các tổn thương khác của
tim. Van ba lá của người bệnh đã được sửa thành công bằng phương pháp nội soi
tim. Với đường mở ngực bên rất nhỏ, người bệnh hiện đã có thể đi lại và thực
hiện sinh hoạt cá nhân thông thường từ ngày thứ hai sau mổ.
TS BS. Nguyễn Hoàng Định chia sẻ: “Đây là một trường hợp dị vật
chiến tranh trong tim đầu tiên mà ekip khoa Phẫu thuật tim mạch gặp phải, và
cũng là trường hợp đầu tiên một dị vật trong tim được ekip lấy ra qua ngả nội
soi. Người bệnh đến với chúng tôi với sẹo mổ cũ dài từ ngực xuống bụng của
những lần mổ trước. Thật may mắn khi người bệnh đã có thể sống sót được hơn 45
năm với dị vật trong tim. Và may mắn hơn, nhờ phẫu thuật tim nội soi mà người
bệnh đã không phải mang trên người thêm một vết sẹo dài”.
Được biết, cách đây 45 năm trước, khi đang đi thăm vườn dừa tại
Bến Tre cùng mẹ và cô hàng xóm, ba người vô tình đạp phải mìn chôn dưới đất. Cả
ba đều bị thương, trong đó người bệnh là người bị thương nặng nhất, được đưa đi
cấp cứu tại một bệnh viện TP.HCM. Lúc đó, bác sĩ phẫu thuật của Hàn Quốc đã
tiến hành phẫu thuật cứu sống người bệnh. Nhưng vì thời đó kỹ thuật y khoa chưa
phát triển như bây giờ nên ekip phẫu thuật chưa thể mạo hiểm lấy dị vật trong
tim, chấp nhận để lại trên người bệnh. Thời gian trôi đi, cùng những lo toan
cuộc sống, người bệnh cũng đã quên bẵng đi trong người còn mang dị vật.
Nguồn Suckhoedoisong.vn

