Chụp bạch mạch lipiodol là phương pháp cho phép đánh giá được mạch bạch huyết (bạch mạch) sau khi tiêm lipiodol vào trong hạch bẹn hai bên, để đánh giá bạch mạch trung tâm, từ vùng bẹn tiểu khung, thắt lưng, sau phúc mạc, tới bể dưỡng chấp và toàn bộ ống ngực. Từ đó có thể đánh giá được giải phẫu bạch mạch trung tâm và xác định được vị trí đường rò.
1. Rò bạch mạch là bệnh gì? Có nguy hiểm đến sức khỏe hay tính mạng không?
– Rò bạch mạch (hay bạch huyết cũng như dưỡng chấp) là hiện tượng thoát bạch huyết hay dưỡng chấp ra khỏi bạch mạch. Có thể rò vào các khoang cơ thể (ổ bụng, màng phổi, màng ngoài tim, đường bài xuất…), hoặc tạo thành các nang dịch trong phần mềm.
– Tùy theo số lượng bạch huyết thoát ra ngoài bạch mạch nhiều hoặc ít mà có thể ảnh hưởng tới sức khỏe, tính mạng của bệnh nhân. Với các rò lưu lượng cao, nhiều hơn 1.000 ml ngày, kéo dài nhiều ngày làm cho bệnh nhân suy dinh dưỡng do mất protein, mỡ, tryglycerid, khoáng chất, các vitamin…kèm theo suy giảm miễn dịch, đe dọa tính mạng bệnh nhân.
2. Chụp bạch mạch số hóa xóa nền bằng lipiodol là gì?
– Chụp bạch mạch lipiodol là phương pháp cho phép đánh giá được mạch bạch huyết (bạch mạch) sau khi tiêm lipiodol vào trong hạch bẹn hai bên, để đánh giá bạch mạch trung tâm, từ vùng bẹn tiểu khung, thắt lưng, sau phúc mạc, tới bể dưỡng chấp và toàn bộ ống ngực. Từ đó có thể đánh giá được giải phẫu bạch mạch trung tâm và xác định được vị trí đường rò.
– Chụp bạch mạch bằng lipiodol được thực hiện trong phòng chụp mạch số hóa xóa nền. Kim tiêm được chọc vào hạch bẹn hai bên dưới hướng dẫn của siêu âm. Sau đó chiếu gián đoạn để xem di chuyển của lipiodol trong hệ thống bạch mạch.
3. Quy trình chụp gồm những bước như thế nào?
![]() |
![]() |
| Ảnh 1: Lipiodol được tiêm vào hạch bẹn hai bên, vào bạch mạch tiểu khung và di chuyển dần lên trên. | Ảnh 2: Lipiodol đi vào bạch mạch sau phúc mạc, sau đó đi vào bể dưỡng chấp, vào ống ngực, rồi đổ vào tĩnh mạch dưới đòn trái |
a.Tiếp nhận bệnh nhân có chỉ định chụp bạch mạch bằng lipiodol
- Các bệnh nhân có rò dưỡng chấp ổ bụng, màng phổi, màng ngoài tim, vùng cổ….khi mà thay đổi chế độ ăn và điều trị nội khoa không hiệu quả.
- Dịch dưỡng chấp có màu trắng sữa điển hình và xét nghiệm protein và triglyceride khẳng định là dịch dưỡng chấp.
- Khai thác tiền sử dị ứng.
- Siêu âm tim loại trừ shunt phải trái.
- Giải thích và hẹn lịch chụp cho bệnh nhân.
b.Quá trình chụp bạch mạch bằng lipiodol
- Chuẩn bị máy siêu âm trong phòng chụp mạch số hóa xóa nền DSA.
- Kim tiêm 20 – 25 G để chọc hạch bẹn hai bên.
- Chọc kim dưới hướng dẫn siêu âm vào hạch bẹn hai bên, đầu kim nằm ranh giới giữa vỏ và tủy hạch.
- Bơm lipiodol tốc độ chậm ~ 0,33 ml/phút. Tổng thể tích lipiodol không quá 20ml.
- Chiếu gián đoạn để xem lipiodol di chuyển trong bạch mạch, single shot hoặc chụp để đánh giá toàn bộ bạch mạch trung tâm, lấy ảnh toàn bộ ống ngực.
- Xác định giải phẫu bạch mạch, đường rò bạch mạch và tiến hành can thiệp tiếp theo.
- Sau đó có thể bổ sung bằng chụp CT ngực bụng để đánh giá thêm.

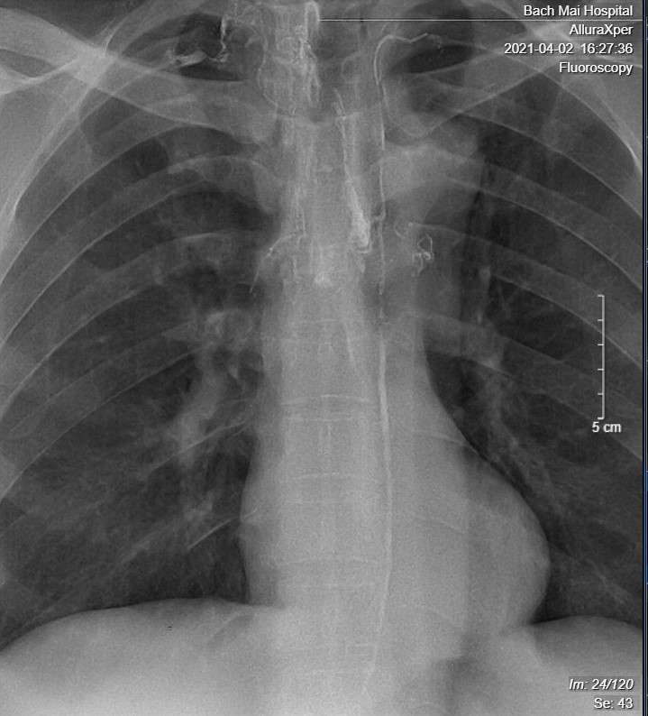
Ảnh 3. Chụp bạch mạch DSA cho thấy ống ngực có hình thái bình thường, đổ vào tĩnh mạch dưới đòn trái. Lipiodol tràn vào bạch mạch trung thất.

Ảnh 4. Chụp CT sau chụp DSA cùng bệnh nhân, thấy bạch mạch sau phúc mạc, bể dưỡng chấp và ống ngực. Lipiodol trong bạch mạch trung thất
4. Kỹ thuật này có ưu điểm gì so với các kỹ thuật khác?
* So với phương pháp chụp bạch mạch kinh điển là tiêm thuốc cản quang vào vùng bàn chân:
– Không cần tiêm chất chỉ thị vào dưới da vùng bàn chân, rạch da để tìm và luồn kim vào bạch mạch như phương pháp chụp bạch mạch kinh điển. Giảm được rất nhiều thời gian và công sức cho người chụp. Hiện tại bơm chuyên dụng để tiêm thuốc vào bạch mạch cẳng chân không còn lưu hành.
* So với chụp cộng hưởng từ bạch mạch tiêm thuốc vào hạch bẹn.
– Máy siêu âm đưa vào được phòng chụp mạch số hóa xóa nền nên rất thuận lợi cho việc chọc kim vào hạch bẹn, đầu kim ít bị di lệch do không phải di chuyển bệnh nhân. Nếu không may đầu kim bị lệch, hoặc hạch vỡ do quá trình bơm lipiodol, có thể nhanh chóng chọc kim vào hạch khác. Đồng thời theo dõi lipiodol có vào hạch và có bị thoát ra ngoài hạch hay không rất dễ dàng dưới máy DSA.
– Thuốc đối quang từ khi chụp bạch mạch thường đi vào tĩnh mạch sau đó đi vào hết các tạng trong cơ thể qua vòng tuần hoàn, nên có thể gây nhầm lẫn khi chẩn đoán đường rò. Lipiodol ít vào tĩnh mạch nên tránh được nhược điểm này của thuốc đối quang từ.
– Nếu tìm thấy đường rò, có thể tiến hành can thiệp cho bệnh nhân luôn được, khi mà các mốc bạch mạch như bể dưỡng chấp, ống ngực quan sát được dưới DSA, giúp hướng dẫn cho quá trình chọc kim tiếp cận.
5. Những bệnh nhân nào được chỉ định với kỹ thuật này?
– Để chẩn đoán xác định rò bạch huyết: nguyên nhân, vị trí rò, đánh giá ống ngực.
– Các bệnh nhân có rò bạch huyết ổ bụng, màng phổi, màng ngoài tim…điều trị bảo tồn (chế độ ăt ít mỡ, nuôi dưỡng bằng đường tĩnh mạch… ) không hiệu quả, cần chụp bạch mạch để xác định chiến lược can thiệp.
6. Kỹ thuật này có gì hạn chế không?
– Phải thực hiện tại cơ sở y tế có trang bị máy chụp mạch hoặc tăng sáng.
– Tính khuếch tán của lipiodol thấp hơn so với thuốc đối quang từ trong chụp bạch mạch bằng cộng hưởng từ.
– Chống chỉ định ở bệnh nhân có shunt phải trái ở tim; bệnh nhân có tiền sử dị ứng với lipiodol; bệnh nhân có chức năng hô hấp kém; bệnh nhân rối loạn đông máu, trong trường hợp dự định can thiệp.
7. Để thực hiện kỹ thuật này, bệnh nhân cần chuẩn bị những gì?
– Người bệnh được giải thích kỹ về thủ thuật để phổi hợp tốt với thầy thuốc.
– Kiểm tra các chống chỉ định.
– Thời gian chụp được hẹn trước.
8. Trong quá trình thực hiện kỹ thuật, bệnh nhân cần lưu ý điều gì?
– Bệnh nhân cần hợp tác tốt và làm theo hướng dẫn của kĩ thuật viên trong quá trình chụp.
– Nếu có bất gì biểu hiện bất thường trong người cần báo ngay cho nhân viên y tế
9. Sau khi thực hiện kỹ thuật, bệnh nhân cần theo dõi thế nào? Phòng ngừa biến chứng ra sao? Khi nào cần báo bác sĩ?
– Sau thực hiện kĩ thuật cần theo dõi và báo bác sĩ ngay khi có các biểu hiện: buồn nôn, nôn, nổi mề đay, ngứa, khó thở, mạch nhanh, co giật….
– Để phòng ngừa biến chứng trước khi chụp cần báo cho bác sĩ về tiền sử bệnh tật và tiền sử dị ứng của bản thân.
10. Kỹ thuật này thực hiện trong bao lâu?
Từ 45 tới 60 phút.
Bệnh nhân theo dõi trong vòng 24 giờ sau chụp.
![]() |
|
| Ảnh 5. BN đái dưỡng chấp, chụp bạch mạch DSA có lipiodol đi vào thận phải. Không thấy đi vào thận trái | |
![]() |
|
| Ảnh 6 và 7. Chụp CT sau DSA thấy lipiodol từ bạch mạch sau phúc mạc đi vào thận phải và vào đài bể thận phải, qua niệu quản rồi xuống bàng quang. Đái dưỡng chấp là do rò bạch mạch bể thận phải. |
11. Hiệu quả sau khi thực hiện kỹ thuật thế nào?
Cho phép đánh giá về mặt cấu trúc giải phẫu cũng như một phần chức năng hệ bạch mạch.
Xác định vị trí đường rò để tiến hành can thiệp.
12. Nếu muốn được áp dụng kỹ thuật này tại Bệnh viện Bạch Mai, bệnh nhân cần đăng ký với ai, thủ tục này thế nào?
Kỹ thuật được thực hiện tại Trung Tâm Điện Quang, Bệnh Viện Bạch Mai. Bệnh nhân có thể đến đăng ký khám tại Khoa Khám bệnh và Khoa Khám bệnh theo yêu cầu để được tư vấn và hướng dẫn.
TS.BS Lê Văn Khảng, BSCK II Trịnh Hà Châu,
ThS BS Lê Đức Thọ, ThS BS Đỗ Đăng Tân,
PGS TS Vũ Đăng Lưu.






