Được biên soạn bởi bác sĩ Hoàng Gia Du, Trịnh Minh Đức, Nguyễn Văn Trung,
Vũ Xuân Phước, Nguyễn Đức Hoàng
Khoa Chấn thương chỉnh hình và Cột sống – Bệnh viện Bạch Mai.
TÓM TẮT
Tổng quan: Bệnh Gút ít gặp tại cột sống, triệu chứng Gút tại cột sống không đặc hiệu và dễ bỏ sót khi chẩn đoán. Chúng tôi thông báo ca lâm sàng chèn ép tủy ngực do hạt tophi trong ống sống ngực qua đó nhìn lại y văn về chẩn đoán và điều trị bệnh Gút tại cột sống. Phương pháp nghiên cứu: Nghiên cứu một trường hợp bệnh Gút tại cột sống ngực. Xem xét lại y văn về các trường hợp Gút tại cột sống. Kết quả: Trường hợp bệnh nhân nam, 53 tuổi, tiền sử viêm đa khớp do Gút nhiều năm, nhập viện vì liệt không hoàn toàn 2 chi dưới, kèm bí tiểu. Trên phim MRI có hình ảnh khối chèn ép tủy bên phải ngang mức T1-T2. Bệnh nhân được chẩn đoán: Chèn ép tủy ngực T1-T2 theo dõi do u và được phẫu thuật giải ép, lấy khối chèn ép làm giải phẫu bệnh, cố định cột sống. Kết quả giải phẫu bệnh khối chèn ép sau mổ là các tinh thể natri urat. Kết luận: Hạt tophi có thể gặp ở bất cứ vị trí nào tại cột sống, tuy nhiên chèn ép tủy do hạt tophi trong ống sống rất hiếm gặp. Triệu chứng lâm sàng không đặc hiệu tuy nhiên có thể dựa vào tiền sử, các triệu chứng bệnh Gút (hạt tophi nhiều nơi) kết hợp với các triệu chứng lâm sàng thần kinh, khối chèn ép giảm tín hiệu trên MRI, bào mòn xương trên CT để chẩn đoán.
Từ khóa: Gút, hạt tophi ống sống, chèn ép tủy do hạt tophi, Gút cột sống.
THORACIC SPINAL CORD COMPRESSION CAUSING BY TOPHI
A CASE REPORT AND REVIEW OF THE LITERATURE
ABSTRACT
Background: The spinal tophaceous gout is rare. In clinical, the symptoms and signs of spinal gout are not specific so that making the diagnosis difficulty. We reported a case of thoracic spinal cord compression causing by tophi, and present a brief review of the literature in order to approach to the diagnosis and treatment of spinal tophaceous gout. Material and methods: To research a case of thoracic spinal cord compression caused by tophi; besides, to review the other spinal tophaceous gout cases reported in the literature. Result: A case of a 53-year-old male with many years history of polyarthritis causing by gout. He was presented with a weakness, numbness of bilateral lower extremities and urine retention. The thoracic MRI showed the mass compressing the spinal cord from the lamina and right facet joint at T1-T2 level. He was diagnosed with spinal cord compression suspected of a tumor, and performed an operation to remove the tumor accompanied with laminecnomy and posterior pedicle fixation. The pathology result is the natri urate crystals. Conclusions: The tophaceous gout can involve in any spine level but spinal cord compression causing by tophi is very rare. The clinical manifestation of spinal gout is not specific, but the diagnosis can be based on the medical history and symptoms of gout disease along with the neurological symptoms, a low signal mass on T1 and T2 – weighted MRI, intraarticular and juxtaarticular erosions on CT.
Keywords: Gout, tophaceous gout of the spinal, spinal cord compression by tophi, spinal gout.
ĐẶT VẤN ĐỀ
Bệnh Gút là một bệnh rối loạn chuyển hóa thường gặp do tình trạng lắng đọng các tinh thể natri urat trong các mô cơ quan trong cơ thể khi nồng độ acid uric trong máu tăng cao quá ngưỡng đào thải của cơ thể, khi đó các tinh thể urat sẽ xuất hiện và lắng đọng tại các khớp xương, bao hoạt dịch khớp, tổ chức phần mềm dưới da, thận và đường tiết niệu, … dẫn đến tình trạng viêm, lắng đọng hạt tophi tại các khớp, tổ chức phần mềm hay tổn thương thận, …(1) Tỷ lệ mắc Gút ước tính 0,2 – 0,4% dân số thế giới, sự xuất hiện của hạt tophi cho thấy bệnh nhân đã bị Gút mạn tính trong khoảng thời gian 5 – 10 năm (2). Hạt tophi có thể xuất hiện ở nhiều nơi khác nhau trên cơ thể, tuy nhiên hiếm khi xuất hiện tại các xương trục đặc biệt là tại cột sống. Chỉ có 37 trường hợp viêm khớp do Gút tại cột sống được báo cáo trước năm 2001, số trường hợp này là 131 vào năm 2015 (3). Tỷ lệ mắc bệnh, triệu chứng lâm sàng và chẩn đoán hình ảnh không đặc hiệu, có 14 – 22% bệnh nhân Gút có hình ảnh tiêu xương và hạt tophi trong ống sống, và tỷ lệ hạt tophi trong ống sống là 15% (1,2). Do triệu chứng không đặc hiệu nên việc chẩn đoán xác định hạt tophi trong ống sống còn gặp khó khăn, dễ chẩn đoán nhầm (1). Chúng tôi thông báo một trường bệnh nhân nam, 53 tuổi, được chẩn đoán chèn ép tủy ngực do hạt tophi trong ống sống đã được phẫu thuật giải ép, giải phẫu bệnh và cố định cột sống tại Khoa Chấn thương chỉnh hình và Cột sống – Bệnh viện Bạch Mai qua đó nhìn lại y văn về chẩn đoán và điều trị giúp tránh bỏ sót và chẩn đoán nhầm trong thực hành lâm sàng.
TRƯỜNG HỢP LÂM SÀNG
Bệnh nhân nam 53 tuổi, tiền sử bị Gút nhiều nằm điều trị không thường xuyên (Colchicin 1mg/ ngày), không gầy sút cân, không có tiền sử chấn thương cột sống. Diễn biến bệnh khoảng 1 tháng, bệnh nhân nhập viện vì đau vùng cột sống ngực, tê bì yếu 2 chi dưới tăng dần kèm bí tiểu. Triệu chứng diễn biến tăng nhanh 1 tuần trước vào viện, ban đầu bệnh nhân đã được điều trị chuyên khoa Ung bướu. Khám lâm sàng: bệnh nhân không sốt, huyết động ổn, các khớp cổ tay, bàn ngón tay có nhiều hạt tophi gây biến dạng khớp; đau vùng cột sống ngực ngang mức T1-T2, VAS 6 điểm. Tê bì ngang mức T4 xuống, liệt không hoàn toàn 2 chi dưới, cơ lực 3/5, phản xạ gân bánh chè tăng, Babinski (-).

Kết quả xét nghiệm: Bạch cầu 18,8 G/l (trung tính 86,6%); Acid uric 577 µmol/l. CEA 72-4: 31,11 U/l, CEA: 3,43 ng/ ml, CA 19-9: 25,8 U/ml, Cyfra 21-1: 3,39 ng/ml, PSA tự do: 0,12 ng/ml. Các xét nghiệm khác không phát hiện bất thường.
Nội soi dạ dày – đại trực tràng: viêm dạ dày, trào ngược thực quản, không quan sát thấy u cục bất thường.
CT cột sống ngực: ổ tiêu xương thân đốt sống C1 và cung sau T1 bên phải kèm viền đặc xương xung quanh, tính chất có thể hướng đến tổn thương u, dày và vôi hóa dây chằng vàng gây hẹp ống sống ngang mức.
MRI cột sống ngực: hình ảnh phì đại diện khớp T1-T2 bên phải và các dây chằng lân cận gây chèn ép tủy ngang mức, sau tiêm khối khớp bên phải và ổ tiêu xương cung sau T1 ngấm thuốc mạnh, thoái hóa đĩa đệm T1-T2.
Xạ hình xương: hình ảnh tổn thương đa ổ tại xương đòn phải, đốt sống T6, xương sườn 8 bên phải, và xương chậu hướng đến tổn thương thứ phát.

A, B, C, D: Phim cộng hưởng từ. E, F: Phim cắt lớp
Chẩn đoán trước mổ: Chèn ép tủy ngực T1-T2, ASIA-C theo dõi do u/Gút mạn. Trong mổ quan sát thấy khối u tại cung sau T1 và diện khớp T1-T2, phì đại diện khớp T1-T2 bên phải, thâm nhiễm vào tổ chức dây chằng vàng màu trắng, đặc quánh dạng tinh thể urat nằm ngoài màng cứng, gây chèn ép tủy ngang mức.
Chẩn đoán trong mổ: Chèn ép tủy ngực do hạt Tophi, ASIA-C/Gút mạn. Bệnh nhân được phẫu thuật giải ép lấy u làm giải phẫu bệnh, cố định cột sống.
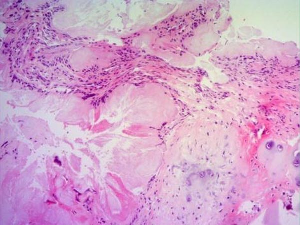
Kết quả giải phẫu bệnh: khối u là các tinh thể natri urate.

A: Hình ảnh khối màu trắng đặc quánh, ngoài màng cứng tủy, khu trú cung sau T1 bên phải và diện khớp T1-T2, thâm nhiễm vào tổ chức dây chằng vàng, gây hẹp ống sống và chèn ép tủy ngang mức. B. Hình ảnh các tinh thể natri urate lấy ra từ vị trí phẫu thuật.

Sau mổ, chức năng vận động cảm giác được cải thiện, bệnh nhân đỡ tê bì, 2 chân vận động tốt hơn. Bệnh nhân tiếp tục được tập phục hồi chức năng và theo dõi qua thăm khám định kỳ sau phẫu thuật.
BÀN LUẬN
Sinh lý bệnh
Bệnh Gút là bệnh rối loạn chuyển hóa thường gặp do lắng đọng các tinh thể natri urat trong các mô cơ quan trong cơ thể khi nồng độ acid uric trong máu tăng cao quá ngưỡng đào thải của cơ thể, khi đó các tinh thể urat sẽ lắng đọng tại các khớp, bao hoạt dịch khớp, tổ chức phần mềm, …(1,2) Bệnh Gút một phần liên quan đến di truyền, có hơn 30 biến thể về trình tự gen được tìm thấy có ảnh hưởng đến nồng độ axit uric huyết thanh, trong đó ABCG2 đóng vai trò trung tâm trong bài tiết axit uric ngoại bào. Rối loạn chức năng ABCG2 làm tăng nguy cơ mắc bệnh Gút sớm (4,5). Việc phân tích di truyền có thể là thông tin để tiên lượng bệnh ở những người tăng axit uric máu hoặc mắc bệnh Gút, hỗ trợ điều trị giảm uric máu. Bệnh nhân của chúng tôi không có tiền sử gia đình mắc bệnh Gút tuy nhiên không thể loại trừ yếu tố di truyền do các xét nghiệm này không được thực hiện. Chúng tôi cho rằng cần chú ý đến lĩnh vực này trong tương lai để chẩn đoán và tiên lượng sớm. Bệnh Gút hiếm gặp tại cột sống, chỉ có 37 trường hợp đã được báo cáo trước năm 2001 và 131 trường hợp vào năm 2015, hơn một nửa trong số đó nằm ở cột sống thắt lưng (2,3). Nguyên nhân hình thành các hạt tophi tại cột sống chưa thực sự rõ ràng. Một số yếu tố có thể góp phần vào sự phát triển của hạt tophi đã được nghiên cứu bao gồm: mức độ pH axit của môi trường xung quanh, nhiệt độ thấp, chấn thương và sự hiện diện của một tác nhân tạo hạt trong dịch bao hoạt dịch, có thể thúc đẩy sự kết tinh của tinh thể urat (6). Volkov và cộng sự (7) cho rằng việc giảm tuần hoàn tại chỗ có thể là một yếu tố hình thành hạt tophi tại đây. Tình trạng tăng lipid máu, thể trạng béo phì và ít hoạt động thể chất có thể gây ra giảm lưu lượng máu trong khung xương trục, dẫn đến không thể lọc đầy đủ axit uric lắng đọng tại đó. Tại cột sống, sự tích tụ các tinh thể natri urate ban đầu xuất phát từ các diện khớp ở hai bên thân đốt sống lan ra tổ chức dây chằng vàng lân cận do khi cơ thể vận động trong thời gian dài, các diện khớp, xương, cũng như tổ chức phần mềm giữa 2 đốt sống tích tụ các vi sang chấn và hư hỏng theo thời gian dẫn đến các phản ứng viêm và thoái hóa tại đây. Kết quả là các tinh thể urate lắng đọng tại các vị trí khớp này và xâm nhập vào diện khớp. Điều này cũng góp phần giải thích tỷ lệ gặp tổn thương Gút tại cột sống ít gặp nhất, có thể do sự linh động của các đốt sống kém hơn so với tại các xương chi. Nếu bệnh nhân bị bệnh thoái hóa đĩa đệm (DDD) trước đó, pH axit và môi trường oxy thấp sẽ thúc đẩy sự lắng đọng axit uric và hình thành tophi (7). Bệnh nhân của chúng tôi cũng bị DDD, cho thấy bộ xương trục của bệnh nhân có môi trường vi mô cần thiết cho sự hình thành axit uric.

Triệu chứng
Bệnh Gút cột sống có thể khác nhau về triệu chứng vì tinh thể urate có thể được hình thành ở các vị trí khác nhau. Sự xuất hiện của chúng có thể dưới dạng tân sinh hoặc tạo thành áp xe. Triệu chứng phổ biến nhất là đau cột sống, chiếm 65,4%. Tại cột sống cổ, bệnh có thể gây đau cổ và mất vững cột sống, giống với triệu chứng của bệnh thoái hóa (7). 68,5% bệnh nhân có tổn thương thần kinh, bao gồm đau kiểu rễ, mất cảm giác, yếu cơ, rối loạn chức năng ruột/bàng quang và liệt tứ chi do có chèn ép thần kinh (2). Đặc điểm của bệnh Gút cột sống trên Xquang, CT và MRI không đặc hiệu. Trên Xquang, các dấu hiệu đã được báo cáo bao gồm: thoái hóa cột sống, tăng sản cột sống lan tỏa hoặc thậm chí hình ảnh Xquang bình thường8. Trên MRI, các tổn thương giảm tín hiệu trên T1, T2, ngấm thuốc đối quang có thể chỉ ra bệnh gút cột sống8. Kelly và cộng sự9 gợi ý rằng hạt tophi có thể xuất hiện dưới dạng khối đồng nhất, tăng tín hiệu trên MRI thì T1 và T2 do có phản ứng mạch máu trong tophi, triệu chứng này có thể nhầm lẫn với các u ngoài tủy chèn ép thần kinh. Trên CT, hình ảnh của bệnh Gút là sự ăn mòn nội mô và xương khớp, xơ xương xung quanh. Một số dấu hiệu khác bao gồm: thay đổi thoái hóa, tổn thương dạng hạt và hẹp ống sống (8). Những dấu hiệu lâm sàng và hình ảnh này không đặc hiệu và không thể phân biệt bệnh Gút với các rối loạn khác như viêm đĩa đệm, viêm khớp, áp xe màng cứng, viêm khớp dạng thấp hay u, do đó dễ chẩn đoán nhầm. Hiện nay trên thế giới có phương pháp mới để xác định tình trạng hạt tophi trong bệnh Gút đó là chụp CT năng lượng kép (DECT). Phương pháp này được báo cáo là có độ nhạy cao (91,9%) và độ đặc hiệu (85,4%) trong việc xác định tophi. Máy quét DECT chụp ảnh ở hai mức năng lượng riêng biệt, so với CT năng lượng đơn tiêu chuẩn, cho phép các chất có thành phần hóa học khác nhau xuất hiện khác biệt dựa trên năng lượng photon tia X khác biệt của chúng. Các nhà nghiên cứu cũng có thể đo khối lượng tophi bằng cách sử dụng DECT. Tuy nhiên, hiện tại chi phí cao của DECT và sự thiếu đào tạo của hầu hết các bác sĩ X quang trong việc phân tích hình ảnh là yếu tố gây hạn chế áp dụng rộng rãi của phương pháp này (10).
Trường hợp của chúng tôi, triệu chứng chính của bệnh nhân là đau lưng, yếu 2 chân, rối loạn cảm giác do có chèn ép tổn thương tủy ngực, tuy nhiên các triệu chứng này có thể gặp trong hẹp ống sống do nhiều nguyên nhân khác nhau: thoát vị đĩa đệm, dày cốt hóa dây chằng, phì đại diện khớp, u, … Chính vì vậy, việc chẩn đoán ban đầu với các kết quả khác: hình ảnh trên phim (Xquang, CT, MRI) không đặc hiệu, xạ hình, Tumor-marker, … khiến chúng tôi nghĩ đến nguyên nhân chèn ép do u. Chẩn đoán xác định của bệnh nhân chỉ được khẳng định sau phẫu thuật dựa vào kết quả giải phẫu bệnh là các tinh thể urate trong ống sống. Theo chúng tôi, việc khai thác kỹ tiền sử, bệnh sử bệnh Gút phối hợp cũng các thăm khám lâm sàng, hình ảnh khối giảm tín hiệu trên MRI (cả thì T1 và T2), bào mòn xương trên CT có ý nghĩa quan trọng trong việc chẩn đoán bệnh.
Phẫu thuật
Phẫu thuật Gút tại cột sống được chỉ định ở những bệnh nhân có tổn thương chèn ép thần kinh kèm theo triệu chứng lâm sàng. Phương pháp phẫu thuật bao gồm giải ép thần kinh và cố định cột sống. Các nghiên cứu cho thấy, các bệnh nhân phẫu thuật gút cột sống đều đã có kết quả tốt hơn (11). Bệnh nhân của chúng tôi do có chèn ép tủy ngực và tổn thương thần kinh trên lâm sàng nên được chỉ định phẫu thuật giải ép thần kinh. Kết quả cải thiện lâm sàng sau phẫu thuật khẳng định tính đúng đắn của chỉ định phẫu thuật. Với những trường hợp không có tổn thương thần kinh, sinh thiết kim đóng một vai trò quan trọng vì nó giúp chẩn đoán xác định và quyết định phương án điều trị, ngăn ngừa các rủi ro phẫu thuật không cần thiết (11). Tuy nhiên, bất kể điều trị phẫu thuật hay không phẫu thuật, việc tuân thủ điều trị duy trì bệnh gút là bắt buộc để kiểm soát bệnh tránh những biến chứng hay tiến triển nặng hơn (11) như trong trường hợp bệnh nhân của chúng tôi.

KẾT LUẬN
Gút tại cột sống hiếm gặp và có thể gặp ở bất kỳ vị trí nào. Trong thực hành lâm sàng, với những bệnh nhân có tiền sử Gút hay tăng acid uric máu, có triệu chứng đau lưng cấp hay mạn tính có thể kèm theo các triệu chứng chèn ép thần kinh, có hình ảnh khối giảm tín hiệu trên MRI (cả T1 và T2), bào mòn xương trên CT cần nghĩ đến tổn thương Gút (lắng đọng hạt tophi) tại cột sống để có phương pháp điều trị phù hợp.
TÀI LIỆU THAM KHẢO
- Y. Ding, W. Wang, W. Jiang, L. Zhang, T. Wang, Z. Li, Tophaceous gout causing thoracic spinal cord compression: Case report and review of the literature, Neurochirurgie Volume 64, Issue 3, June 2018, P 171-176
- Külli Barrett, M.D., Marc L. Miller, M.D.James T. Wilson,M.D. Tophaceous Gout of the Spine Mimicking Epidural Infection: Case Report and Review of the Literature, Neurosurgery 48:1170–1173, 2001
- Konatalapalli RM, Lumezanu E, Jelinek JS, Murphey MD, Wang H, Weinstein A. Correlates of axial gout: a cross-sectional study. J Rheumatol 2012;39:1445–1449.
- Stiburkova B, Miyata H, Zavada J, et al. Novel dysfunctional variant in ABCG2 as a cause of severe tophaceous gout: biochemical, molecular genetics and functional analysis. Rheumatology (Oxford) 2016;55:191–194. [PubMed]
- George RL, Keenan RT. Genetics of hyperuricemia and gout: implications for the present and future. Curr Rheumatol Rep. 2013;15(2):309. [PubMed]
- Mekelburg K, Rahimi AR. Gouty arthritis of the spine: clinical presentation and effective treatments. Geriatrics. 2000;55:71–74. [PubMed]
- Volkov A, Rhoiney DL, Claybrooks R. Tophaceous gout of the lumbar spine: case report and review of the literature. Turk Neurosurg. 2015;25(6):954–958. [PubMed]
- Chang IC. Surgical versus pharmacologic treatment of intraspinal gout. Clin Orthop Relat Res. 2005;(433):106–110. [PubMed]
- Kelly J, Lim C, Kamel M, Keohane C, O’Sullivan M. Topacheous gout as a rare cause of spinal stenosis in the lumbar region. Case report. J Neurosurg Spine. 2005;2:215–217. [PubMed]
- Hu HJ, Liao MY, Xu LY. Clinical utility of dual-energy CT for gout diagnosis. Clin Imaging. 2015;39(5):880–885. [PubMed]
- Elgafy H, Liu X, Herron J. Spinal gout: a review with case illustration. World J Orthop. 2016;7(11):766–775.[PubMed]


