Bài viết: CHÈN ÉP TỦY CỔ C5-C6 DO SCHWANNOMA DẠNG NANG: BÁO CÁO NHÂN MỘT TRƯỜNG HỢP VÀ TỔNG QUAN Y VĂN – Tải file PDF Tại đây.
TÓM TẮT
Schwannoma tại tủy sống là các khối u lành tính có nguồn gốc xuất phát từ các tế bào Schwann cấu tạo nên bao rễ thần kinh gặp chủ yếu trong màng cứng – ngoài tủy. Schwannoma chiếm 30% các khối u nguyên phát tại tủy sống. Schwannomas gặp nhiều ở đoạn thắt lưng, ít gặp ở đoạn tủy cổ và ngực. Schwannomas tủy sống thường có câu trúc dạng đặc có thể nang hóa một phần, rất hiếm gặp Schwannoma dạng nang hóa hoàn toàn. Do triệu chứng không điển hình nên việc chẩn đoán xác định Schwannoma dạng nang trước phẫu thuật là một thách thức. Điều trị phẫu thuật lấy bỏ khối Schwannoma là phương pháp điều trị chủ đạo. Chúng tôi thông báo một trường hợp bệnh nhân nam 58 tuổi được chẩn đoán Schwannoma dạng nang chèn ép tủy C5-C6, trên lâm sàng có biểu hiện hội chứng chèn ép tủy tương xứng với hình ảnh trên phim chụp cộng hưởng từ. Bệnh nhân được phẫu thuật nhiều lần lấy bỏ khối u qua đường mổ lối trước và lối sau do u tái phát. Bệnh nhân được theo dõi định kỳ sau mổ và bước đầu cho kết quả hồi phục tốt.
ĐẶT VẤN ĐỂ
Schwannoma là khối u bao rễ thần kinh lành tính, phát triển từ các tế bào Schwann cấu tạo nên vỏ bao rễ thần kinh. Schwannoma là một trong những khối u trong dưới màng cứng-ngoài tủy (Intradural-Extramedullary tumor, IDEM) thường gặp [1, 2], Schwannoma chiếm khoảng 8% các khối u nguyên phát trong sọ và 30% các khối u nguyên phát tại tủy sống [3]. Schwannoma gặp nhiều nhất ở đoạn tủy ngực – thắt lưng với khoảng 80% các trường hợp, tại tủy cổ chiếm 8%. Khối u gặp ở cả hai giới với tỷ lệ tương đương và thường phát hiện trong giai đoạn 40 – 60 tuổi [3]. Trong đa số các trường hợp, Schwannoma thường có câu trúc dạng đặc đồng nhất hoặc không đồng nhất và có thể nang hóa một phần, hiếm gặp nang hóa hoàn toàn. Schwannoma dạng nang ở vùng tủy cổ rất hiếm gặp và chỉ được ghi nhận một vài trường hợp trong y văn [3]. Việc chẩn đoán và quản lý Schwannoma dạng nang vẫn là một thách thức lớn. Triệu chứng lâm sàng của Schwannoma dạng nang trong ống sống (Spinal cystic schwannoma – SCS) không đặc hiệu, thường xảy ra do sự tăng kích thước của khối u gây chèn ép thần kinh. Phụ thuộc vào vị trí của khối mà có thể biểu hiện hội chứng chèn ép tủy, rễ đơn thuần hoặc cả hai. Trên phim chụp cộng hưởng từ (Magnetic Resonance Imaging – MRI), Schwannoma thường có cấu trúc dạng khối đặc, tín hiệu đổng nhất hoặc không đổng nhất [3], trong trường hợp Schwannoma dạng nang, tín hiệu có thể ở dạng dịch đổng nhất hoặc không đổng nhất, bao bọc phía ngoài là phần vỏ nang tăng tín hiệu trên phim tiêm thuốc. Do tính chất không
BÁO CÁO CA BỆNH
Bệnh nhân nam, 58 tuổi. Tiền sử u nang chèn ép tủy cổ C5-C6 gây yếu nửa người phải, đã phẫu thuật lấy u cố định cột sống cổ lối sau C4C5C6 cách 4 năm. Sau phẫu thuật, hồi phục cơ lực hoàn toàn. Cách vào viện 4 tuần, bệnh nhân đau cổ kèm tê bì và yếu tứ chi tăng dần, hạn chế vận động tinh tê bàn tay, đi lại khó, ưu thê bên phải. Khám lúc vào viện: tỉnh táo, BMI 24 kg/m2, huyết động ổn định, không sốt, không gầy sút cân. Không có dâu hiệu thất ngôn và liệt VII. Đau mỏi vùng cổ vai gáy ưu thế bên phải, tại khu vực này. Giải phẫu bệnh là tiêu chuẩn vàng giúp chẩn đoán phân biệt scs với các khối u dạng nang khác. Một vài phương pháp điều trị scs như phẫu thuật và xạ trị đã được báo cáo tuy nhiên phẫu thuật scs vẫn là phương pháp điều trị chủ tính, tỷ lệ tái phát thấp, tiên lượng phục hổi tốt. Tuy nhiên vẫn có một số ít trường hợp chuyển dạng ác tính [3], vì vậy vẫn nên tiếp tục theo dõi người bệnh lâu dài sau phẫu thuật.

VAS 3 điểm, kèm tê bì lan tứ chi-thân mình, tay và chân phải tê nhiều hơn bên trái, giảm cảm giác nông từ ngang T7 trở xuống thân mình. Cơ lực tay chân phải 3+/5 đồng đều ngọn chi và gốc chỉ, tay chân trái 4/5. Phản xạ gân xương tăng (3+), Hoffman phải (+), Babinski (-). Không rối loạn đại tiểu tiện. Xét nghiệm máu và nước tiểu bình thường. Xquang cột sống cổ có hình ảnh nẹp vít khối bên C4, C5, C6 kèm mở cung sau; không thấy tiêu xương, trượt xẹp thân đốt sống (Hình 1).
MRI cột sống cổ có hai khối dạng nang lệch phải liên tiếp với nhau và khoang dưới màng cứng: khối phía trước nằm dưới màng cứng lệch phải đè đẩy tủy sang trái, khối phía sau có đường lưu thông với khoang dưới màng cứng nhưng nằm ngoài màng cứng và không chèn ép tủy. Khối u ranh giới rõ, kích thước 20×12 mm nằm phía trước và nang dịch phía sau kích thước và 26×12 mm, mật độ đồng nhất, giảm tín hiệu trên T1 w, tăng tín hiệu trên T2W (Hình 3).

(Khối dạng nơng ngang mức C4C5C6, nằm ngoài tủy, có đường thông khoang dưới màng cứng, tín hiệu đồng nhất (A) giảm trên TI 1/1/, (B) tàng trên T2W gợi ý nang dịch ngoài màng cứng)

Ở lần phẫu thuật này, chúng tôi tiến hành phẫu thuật lấy u qua đường mổ cổ trước (Cắt thân C5-C6, lấy u, đặt lồng titan, ghép xương, cố định cột sống). Đại thể trong mổ, khối u dạng nang dưới màng cứng tương ứng đoạn tủy C5-C6, kích thước 25×12 mm, ranh giới rõ, không xâm lấn và phá hủy tổ chức xương (Hình 4A), dính một

(A) Khối u nang dưới màng cứng, dính một phần vào tổ chức tủy ngang C5-C6 (B, C) và hình chụp c.arm sau khi đặt lổng titan (D).

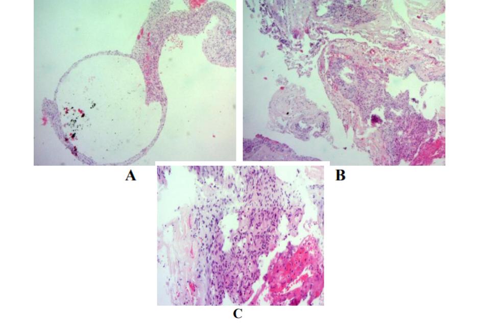
(A) mảnh cắt dạng nang, thành nang có một số đám tê bào hình thoi, nhân hình bầu dục, sắp xếp thành đám hướng đến Schwannoma tuyp nang hóa. Tiêu bản khối u ở mức phóng đại X 100 (B) và X 400 (C) gợi ý tuyp Antoni B
Sau mổ, bệnh nhân giảm dần cảm giác tê bì và phục hổi cơ lực tứ chi 5/5, sau 1 tuần có thể tự đi lại và sinh hoạt như bình thường. Ngày thứ 10, bệnh nhân được chụp MRI kiểm tra sau mổ. Trên MRI khối u nang chèn ép thần kinh nằm phía trước đã lấy bỏ, còn lại nang dịch ngoài màng cứng phía sau tủy, không gây chèn ép. Bệnh nhân được xuất viện ngày thứ 11 sau mổ và hẹn khám lại định kỳ 1,3,6, và 12 tháng sau mổ.
TỔNG QUAN VÀ BÀN LUẬN
Schwannoma là khối u bao rễ thần kinh lành tính, phát triển từ các tế bào Schwann cấu tạo lớp vỏ bao rễ thần kinh. Schwannoma cùng với u màng não là một trong những khối u dưới màng cứng – ngoài tủy thường gặp nhất. Hơn 50% các khối Schwannoma thuộc nhóm u dưới màng cứng-ngoài tủy, 25% nằm hoàn toàn ngoài màng cứng, 15% nằm trong và ngoài màng cứng, chỉ một số rất ít nằm trong tủy sống < 1% [3]. Schwannoma chiếm 8% các khối u nguyên phát trong sọ và 30% các khối u nguyên phát tại tủy sống [3]. Schwannoma dưới màng cứng gặp nhiều nhất ở đoạn thắt lưng và ngực chiếm (80%), ít gặp tại đoạn tủy cổ (8%) [4, 5]. Khối u gặp ở cả hai giới với tỷ lệ ngang nhau, thường từ40 đến 60 tuổi [2,3].
Triệu chứng lâm sàng scs không đặc hiệu [6], thường xảy ra do sự tăng kích thước của khối u gây chèn ép thần kinh [5] và phụ thuộc vào vị trí của khối u mà biểu hiện hội chứng chèn ép tủy, rễ đơn thuần hoặc cả hai [3]. Do đặc điểm phát triển chậm, các triệu chứng thường kín đáo không tương xứng kích thước khối u nên việc chẩn đoán Schwannoma thường muộn và chỉ được phát hiện khi khối đã đạt kích thước đủ lớn để gây nên triệu chứng rõ rệt [7]. Schwannoma ở đoạn tủy cổ hoặc vùng đuôi ngựa có thể đạt kích thước lớn hơn tại các vị trí khác do đặc điểm ống sống rộng tại các vị trí này [3,4]. Schwannoma thường có cấu trúc dạng đặc đồng nhất hoặc không đổng nhất, có thể nang hóa một phần, hiếm gặp các trường hợp nang hóa hoàn toàn, đặc biệt là nang trong ống sống ở vùng tủy cổ mới chỉ được ghi nhận một vài trường hợp trong y văn. Khối Schwannoma IDEM thường xuất phát từ phía sau hoặc sau bên của tủy sống [8]. Tiến triển tự nhiên có thể thoái hóa vôi hóa, xuất huyết trong u, xơ hóa, hyalin hóa hoặc có thể nang hóa [3]. về mô bệnh học, Schwannoma bao gổm các đám tê bào hình thoi, nhân bầu dục, bào tương ưa acid, sắp xếp theo hai hình thái: tổn thương có mật độ tế bào dày đặc hay còn gọi là tuyp Antoni A, và các tổn thương lỏng lẻo giống chất nhầy có mật độ tế bào thấp hơn cùng với các khoảng nang hóa trong tổ chức, hay còn gọi là tuyp Antoni B [4,9]. Trên hóa mô miễn dịch, Schwannoma dương tính với kháng nguyên S100, và âm tính với GFAP [4, 9, 10]. Một số giả thiết nhằm làm sáng tỏ cơ chê nang hóa Schwannoma như sự thiếu máu và hoại tử tổ chức u tại vị trí trung tâm do khối u phát triển nhanh hay sự thoái triển tế bào tại các vùng Atoni B trong khối u dẫn đến hình thành các nang nhỏ tập hợp theo thời gian tạo thành khối u nang lớn [3, 6, 7]. Tuy nhiên, cơ chế chính xác gây ra sự nang hóa của Schwannoma vẫn chưa rõ ràng.
Trên MRI, Schwannoma thường có câu trúc dạng khối đặc, tín hiệu đồng nhất hoặc không đồng nhất [3] với tín hiệu tương đương hoặc giảm nhẹ so với dịch não tủy trên T1WI, tăng tín hiệu trên T2WI. scs thường thể hiện tín hiệu dạng dịch trên T2WI và đây là dấu hiệu gợi ý chẩn đoán. Bên cạnh đó, Schwannoma có thể gây bào mòn hoặc tiêu xương lân cận. Trên phim tiêm thuốc, Schwannoma có thể ngấm thuốc mạnh, tuy nhiên đối với scs thì chỉ có phần vỏ u là ngấm thuốc. Đây là một trong những dâu hiệu quan trọng giúp chẩn đoán phân biệt scs với một số loại tổn thương u nang khác. Giải phẫu bệnh là tiêu chuẩn vàng trong việc chẩn đoán xác định nhưng MRI vẫn là phương tiện chẩn đoán hiệu quả được áp dụng rộng rãi [2-5, 9]. Chẩn đoán phân biệt Schwannoma dạng nang với các khối u khác cần căn cứ vào vị trí khối u, biểu hiện lâm sàng, độ tuổi và giới tính của bệnh nhân [9]. Một số loại u nang cần phải chẩn đoán phân biệt như: nang u màng tủy, nang màng nhện (Arachnoid cyst/ perineural cyst), u da bi (Epidermoid cyst), u nang bi (Dermoid cyst /cystic teratoma), nang ruột thần kinh (Neuroenteric cyst), nang sán chó (Hydatid cyst), u nguyên bào mạch máu (Hemangioblastoma) và Ependymoma dạng nang…[5,8,9]. Nang u màng não tủy hay gặp ở đoạn tủy ngực, gặp nhiều ở nữ giới trung tuổi. Nang thường thấy ở đoạn chuyển tiếp khối u, ít khi nằm ở khu vực trung tâm, cũng như không có viền tăng ngâm thuốc quanh, ngoài ra có thể thây vôi hóa tổ chức phần mềm và tiêu xương xung quanh cũng như dâu hiệu “đuôi màng cứng”. Nang màng nhện hay gặp ở đối tượng thiếu niên, người trẻ tuổi. Trên phim MRI có tín hiệu đổng nhất với dịch não tủy và không có viền tăng âm xung quanh, u da bì có tín hiệu tăng nhẹ so với tổ chức phần mềm xung quanh trên T1WI và đồng tín hiệu với dịch não tủy trên T2W, cùng với phần vỏ u chia nhiều thùy và tăng ngấm thuốc, u nang bì rất hiếm gặp tại tủy cổ, thường thông thương với ống nang bì (dermal sinus tract), khối u thường tăng tín hiệu gợi ý tổ chức mô mỡ. Nang ruột thần kinh thường nhiều thùy, có xu hướng lan rộng, và thường xuất hiện ở phía trước tủy sống trong vùng IDEM. Nang sán chó ở tủy sống rất hiếm gặp, hay gặp ở người có thói quen ăn rau sống và các khu vực kinh tê xã hội chậm phát triển, biểu hiện lâm sàng đa cơ quan tùy thuộc vào vị trí nang sán, trên MRI có thể quan sát thấy nhiều tổn thương nang có vỏ ngoài rõ, có viền trống âm bên trong và dấu hiệu “daughter cyst”, chẩn đoán có thể dựa vào MRI và huyết thanh miễn dịch dương tính với sán kim
Echinnococus. Ependymomas thường có cấu trúc đặc, ranh giới không rõ, thường đi kèm với viền phù nề tổ chức xung quanh và tổ chức nang hóa, u thường nằm ở trung tâm của tủy sống do phát triển từ các tế bào lót ống trung tâm, có tính đối xứng và có thể có dấu hiệu “hemosiderin cap” tuy nhiên sự thoái hóa nhầy có thể diễn ra và các protein bên trong nang có thể làm tăng tín hiệu của Ependymomas trên T1W [9]. Hemangioblastoma thường ngâm thuốc mạnh và có hiệu ứng dòng chảy trống (flow void effect) trên MRI [3,8,10].
Các phương pháp điều trị scs như phẫu thuật và xạ trị hoặc kết hợp cả hai đã được báo cáo [3, 8]. Tuy nhiên, phẫu thuật lấy bỏ triệt để khối scs vẫn là phương pháp điều trị chủ đạo [3, 6, 10]. Mặc dù Schwanoma hình thành từ tê bào Schwann, chỉ có 50% các trường hợp khối u dính trực tiếp vào các mô tổ chức thần kinh.[4] Có thể phẫu thuật lấy bỏ toàn bộ khối u trong trường hợp khối u không dính vào rễ thần kinh hoặc phẫu thuật lấy bỏ một phần khối u trong trường hợp khối u dày dính nhiều các rễ thần kinh quan trọng và tổ chức tủy sống. Mặc dù phẫu thuật lấy bỏ hoàn toàn khối u là cần thiết và làm giảm khả năng tái phát, trong trường hợp nguy cơ cao gây tổn thương thần kinh không hổi phục thì chỉ nên phẫu thuật lấy bỏ một phần khối u.[10] Một số nghiên cứu vẫn chưa đưa ra được kết luận rằng việc chiếu xạ có thực sự hiệu quả đối với Schwannoma lành tính hay không nhưng tỷ lệ tái phát của schwannoma sau phẫu thuật cắt bỏ một phần khối u vẫn hiếm khi xảy ra dù có xạ trị hay không.[3] Tiên lượng của scs phụ thuộc vào tuổi người bệnh, kích thước khối u, mức độ chẩn đoán sớm và phương pháp phẫu thuật lấy u. Tỷ lệ tái phát có xu hướng cao hơn ở người trẻ, khối u kích thước lớn (tăng lem thì tỷ lệ tái phát tăng 15,7% [11]), và phẫu thuật cắt bỏ một phần khối u. Tương tự như đối với Schwannoma dạng đặc, tiên lượng của scs trong đa số các trường hợp là lành tính. Tỷ lệ tái phát sau mổ thấp hơn 5% và thường diễn ra vài năm sau mổ [11 ], do vậy tiên lượng phục hổi sau phẫu thuật thường tốt [3, 4, 6]. Tuy nhiên vẫn có một số ít trường hợp chuyển dạng ác tính được ghi nhận trong y văn,[3] do đó vẫn nên tiếp tục theo dõi người bệnh lâu dài sau phẫu thuật nhằm tầm soát các dấu hiệu chuyển dạng ác tính của schwannoma [1]. Bên cạnh đó, có thể đo nồng độ kháng nguyên KI67 của nhân tế bào trong các trường hợp phẫu thuật u không triệt để nhằm xác định khoảng thời gian nhân đôi khối u từ đó tiên lượng mức độ ác tính và khả năng tái phát u sau mổ. Đối với các bệnh nhân có tỷ lệ KĨ67 < 2% thì tỷ lệ tái phát u là rất thấp [2].
Trường hợp bệnh nhân trong báo cáo, người bệnh đã có tiền sửchẩn đoán và phẫu thuật u nang chèn ép tủy cách 4 năm, qua thăm khám phát hiện ra khối u nang tái phát trước thời điểm nhập viện 2 năm. Trên lâm sàng có biểu hiện hội chứng chèn ép tủy tương ứng hình ảnh khối u dạng nang chèn ép tủy C5-C6 trên MRI. Tại vị trí tủy cổ C5-C6, có 2 khối dạng nang với đặc điểm mô tả như phía trên, tuy nhiên chỉ có khối u phía mặt trước gây ra sự chèn ép tủy cấp tính. Căn cứ vào khả năng tiếp cận khối u và khả năng giải ép tủy, việc phẫu thuật lấy bỏ khối u qua đường tiếp cận lối trước là lựa chọn cấp thiết và phù hợp. Trong quá trình mổ, do khối u nằm dưới màng cứng, dày dính vào tổ chức tủy cổ ngang mức, khả năng bóc tách hoàn toàn khối u khỏi tủy sống có nhiều nguy cơ gây tổn thương tủy sống, do vậy lựa chọn cắt bỏ tối đa tổ chức u mặt trước đã được áp dụng. Sau phẫu thuật, bệnh nhân hồi phục tốt, tuy scs là khối u lành tính, nhưng vẫn có nguy cơ tái phát khối u trong tương lai. Do vậy cần phải thăm khám và theo dõi người bệnh định kỳ nhằm tầm soát khả năng tái phát hoặc chuyển dạng ác tính.
KẾT LUẬN
Schwannoma là khối u bao rễ thần kinh lành tính thường gặp trên lâm sàng. Rất hiếm gặp Schwannoma dạng nang, đặc biệt là vùng tủy cổ. Triệu chứng không đặc hiệu dẫn đến việc chẩn đoán xác định Schwannoma dạng nang vùng tủy cổ trước mổ vẫn là một thách thức. MRI đóng một vai trò quan trọng trong việc chẩn đoán và lập kế hoạch trước phẫu thuật, giải phẫu bệnh là tiêu chuẩn vàng. Phẫu thuật lấy bỏ toàn bộ khối u là phương pháp điều trị chủ đạo. Tiên lượng sau mổ thường tốt, tuy nhiên vẫn cần phải theo dõi định kỳ nhằm tầm soát khả năng tái phát và chuyển dạng ác tính của khối u.
TÀI LIỆU THAM KHẢO
- Asad M. Lak AMA, David Segar, Hasan A. Zaidi. Partially Cystic Lumbar Schwannoma with Atypical Histopathologic Features. WORLD 443.
- M. Thoracic and review of literature. International Spinal Cord Society. 2020;7(7)
- Suresh s Pillai MH. Cystic Schwannoma of the Spine: A Review of Literature and a Report of a Series of 5 Cases. BMH Medical Journal. 2020;7(2):27-32.
- A Jaiswal AS, s Rajasekaran. Giant cystic intradural schwannoma in the lumbosacral region: a case report. Journal of Orthopaedic Surgery. 2008;16(1 ):102 -106.
- Arney Savardekar NS, Sandeep Mohindra, Chirag K. Ahuja, and Sunil K. Gupta. Cystic spinal schwannomas: A short series of six cases. Can we predict them preoperatively? Surgical Neurology International. 2014;5(7):349 – 353.
- Desheng Wu MZB, MD; yufeng huang, MD; WeiDong Zhao, MD; Bin shen, MD; heng Kan, MD. Totally Cystic Schwannoma of the Lumbar Spine. ORTHOPEDICS. 2013;35(5):679 – 682.
- Angelique F. Albert a aMAK. Giant solitary cystic schwannoma of the cervical spine: A case report. Clinical Neurology and Neurosurgery. 2012;114:196 – 398.
- MUTHUSUBRAMANIAN VIKRAM AP, ADHABUSHI CHAKRAVARTHY VASUDEVAN & RAMAMURTHI RAVI. Cervical solitary long segment cystic Schwannoma. British Journal of Neurosurgery. 2010;24(2):208 -210.
- Rana Netra MSH, Min Zhi Gang and Zhang Ming. Spinal Cystic Schwannoma: An MRI Evaluation. Journal of the College of Physicians and Surgeons Pakistan. 2014;24(2):145 -147.
- A AAQ. Cervical Intramedullary Schwannoma with Syrinx: Case Report and Review of the Literature. Indian Journal of Neurosurgery. 2017;7(3):239 – 248.
- Michael G. Fehlings M, PhD, Anick Nater, MD. Risk Factors for Recurrence of Surgically Treated Conventional Spinal Schwannomas: Analysis of 169 Patients From a Multicenter International Database SPINE 2016;41(5):390-398

