Ung thư phổi (UTP) là bệnh lý ác tính rất phổ biến đứng thứ 2 về số ca mắc mới (theo GLOBOCAN 2020) và là bệnh ung thư có tỉ lệ di căn não cao nhất hiện nay. Trên thế giới có 2,206 triệu người mắc ung thư phổi và tỷ lệ tử vong đứng hàng thứ nhất với 1,796 triệu người tử vong. Tại Việt Nam, ung thư phổi đứng hàng thứ 2 cả về tỷ lệ mắc mới với 226.262 người và tỷ lệ tử vong với 25.272 người.
Các tế bào ung thư có khả năng trốn tránh được sự phát hiện và kiểm soát của những tế bào miễn dịch trong cơ thể vì thế chúng không bị phát hiện và hệ miễn dịch không tiêu diệt được. Liệu pháp miễn dịch trong điều trị ung thư giúp chống lại cơ chế này của khối u bằng cách không cho tế bào ung thư kết gắn được với tế bào miễn dịch và không ức chế được các tế bào này (ví dụ như tế bào T…). Từ đó giúp tế bào miễn dịch dễ dàng nhận diện được tế bào ung thư, có thể tiêu diệt hoặc làm ngừng, làm chậm sự phát triển của tế bào ung thư, ngăn tế bào ung thư lan rộng sang các cơ quan khác trong cơ thể…
Liệu pháp miễn dịch là một trong những phát minh quan trọng của nền y học thế giới trong việc điều trị ung thư. Đây cũng chính là phương pháp sử dụng thuốc giúp hệ miễn dịch phát hiện và tiêu diệt các tế bào ung thư.
Sau đây, chúng tôi xin chia sẻ một trường hợp ung thư phổi không tế bào nhỏ có di căn gan điều trị hiệu quả bằng Pembrolizumab tại Trung tâm Y học hạt nhân và Ung bướu Bệnh viện Bạch Mai:
Bệnh nhân: Đỗ.Th.V, 44 tuổi
Ngày vào viện: 07/2021
Lý do vào viện: Khó thở
Bệnh sử: Cách vào viện 2 tuần, bệnh nhân xuất hiện đau tức ngực trái âm ỉ, khó thở tăng dần, mệt mỏi, gầy sút 4kg. Bệnh nhân đi khám tại Bệnh viện Phổi trung ương phát hiện u phổi phải, được nội soi phế quản sinh thiết cho kết quả mô bệnh học là: ung thư biểu mô tuyến. Sau đó, bệnh nhân xuất hiện khó thở nhiều, đau tức ngực, được kiểm tra đánh giá phát hiện tràn dịch màng tim số lượng nhiều. Bệnh nhân được nhập viện Bạch Mai được dẫn lưu dịch màng ngoài tim. Xét nghiệm Cellsblock dịch màng tim, cho kết quả là: Ung thư biểu mô tuyến di căn. Sau đó bệnh nhân được chuyển Trung tâm Y học hạt nhân và Ung bướu điều trị tiếp.
Tiền sử: Khỏe mạnh
Khám lâm sàng:
- Bệnh nhân tỉnh, Glasgow: 15 điểm
- Hạch ngoại vi không sờ thấy
- Đau ngực trái, khó thở khi gắng sức
- Rì rào phế nang giảm phổi trái, không rales
- Sưng đau chân trái
Cận lâm sàng:
- Xét nghiệm chất chỉ điểm u: CEA: 15,53ng/ml; Cyfra 211: 6,26ng/ml
- Xét nghiệm Cell block dịch màng tim: Ung thư biểu mô tuyến nguồn gốc phổi di căn, EGFR (-); ALK (-); PD-L1 không thực hiện được
Chẩn đoán hình ảnh:
- Siêu âm Doppler mạch: Xơ vữa rải rác hệ thống động mạch chi dưới 2 bên. Huyết khối hoàn toàn tĩnh mạch đùi trái
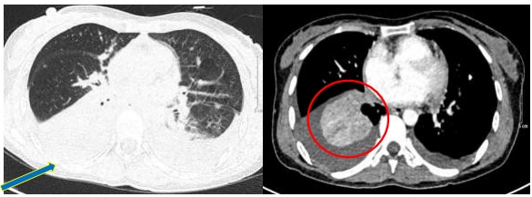
- Chụp cắt lớp vi tính ngực: Rốn phổi phải có đám thâm nhiễm kích thước 28x32mm, ranh giới không rõ, gây hẹp lòng và cắt cụt một số nhánh phế quản thùy dưới. Thùy trên phổi phải có nhiều nốt đặc, đám mờ kích thước lớn nhất 14x8mm. Dịch màng phổi hai bên, dày 28-30mm. Dịch màng ngoài tim dày 6mm. Thâm nhiễm mỡ lan tỏa trung thất, hạch trung thất kích thước lớn nhất 13x8mm.

Hình 1: Hình ảnh cắt lớp vi tính lồng ngực: Hình ảnh rốn phổi phải có đám thâm nhiễm kích thước 28x32mm

Hình ảnh dịch màng phổi hai bên, dày 28-30mm. Dịch màng ngoài tim dày 6mm. Thâm nhiễm mỡ lan tỏa trung thất, hạch trung thất kích thước lớn nhất 13x8mm
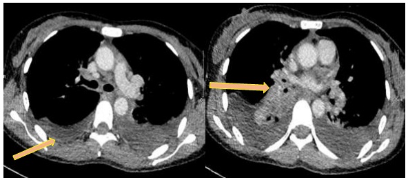
- Chụp cắt lớp vi tính ổ bụng:

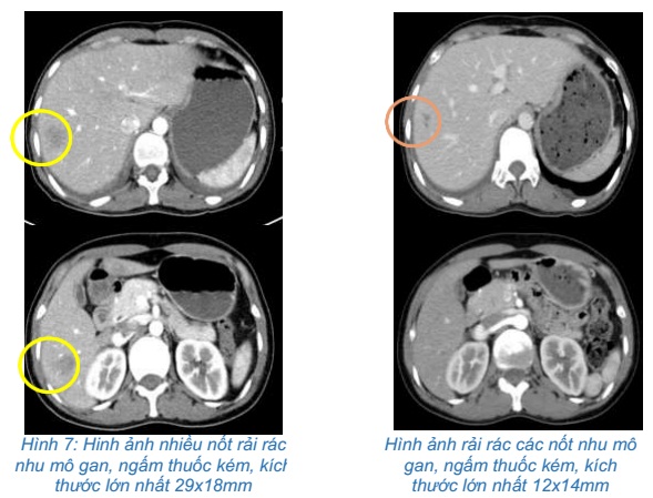
Hình 2: Hình ảnh cắt lớp vi tính ổ bụng: hình ảnh nhiều nốt rải rác nhu mô gan, ngấm thuốc kém, kích thước lớn nhất 29x18mm (vòng tròn vàng).
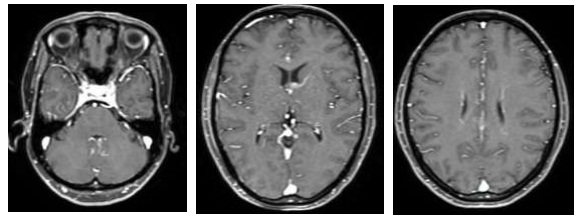
- Chụp cộng hưởng từ sọ não: Không thấy nốt ngấm thuốc bất thường.

Hình 3: Hình ảnh chụp cộng hưởng từ sọ não
Chẩn đoán xác định: Ung thư phổi phải di căn màng phổi, màng tim, gan/ Huyết khối tĩnh mạch đùi trái
Giai đoạn: T4N2M1, giai đoạn IV
Mô bệnh học: Ung thư biểu mô tuyến di căn nguồn gốc tại phổi, EGFR (-), ALK (-), Không rõ PD-L1.
- Điều trị:
– Điều trị chống đông: Lovenox 60mg x 2 bơm tiêm dưới da. Sau đó chuyển sang sử dụng Xarelto 20mg ngày uống 1 viên
– Điều trị: Sử dụng phác đồ phối hợp hóa chất kết hợp với thuốc miễn dịch, bao gồm: Pemetrexed – Carboplatin (hóa trị) kết hợp với Pembrolizumab (thuốc miễn dịch)
Pemetrexed 500mg/m2 da truyền tĩnh mạch ngày 1
Carboplatin AUC 5 truyền tĩnh mạch ngày 1
Pembrolizumab 200mg truyền tĩnh mạch ngày 1
Chu kỳ 21 ngày
Đánh giá sau 3 chu kỳ điều trị:
- Lâm sàng: Bệnh nhân tỉnh, ổn định, không khó thở, không phù chân trái.
- Chất chỉ điểm khối u giảm: CEA: 9,47ng/ml; Cyfra 21-1: 6,13ng/ml
- Các xét nghiệm khác trong giới hạn bình thường
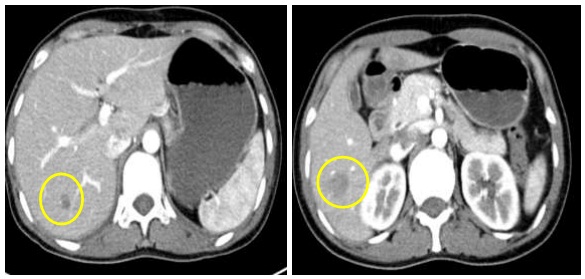
- Chụp cắt lớp vi tính ngực:Khối vùng rốn phổi phải gây xẹp phổi kích thước 28x32mm. Dịch khoang màng phổi phải dày 50mm. Khống thấy hạch to trung thất
- Chụp cắt lớp vi tính bụng: Rải rác các nốt nhu mô gan, ngấm thuốc kém, kích thước lớn nhất 12x14mm
So sánh hình ảnh cắt lớp vi tính ngực trước và sau điều trị 3 chu kỳ:


So sánh hình ảnh cắt lớp vi tính bụng trước và sau điều trị 3 chu kỳ:

Đánh giá sau 6 chu kỳ điều trị:
- Lâm sàng: Bệnh nhân tỉnh, ổn định, không khó thở, không phù chân trái.
- Chất chỉ điểm khối u giảm: CEA: 5,1ng/ml; Cyfra 211: 2,46ng/ml
- Các xét nghiệm khác trong giới hạn bình thường
- Chụp cắt lớp vi tính ngực:Giảm thể tích phổi phải, tổn thương đông đặc thùy dưới phổi phải, dịch màng phổi phải dày 6mm.
- Chụp cắt lớp vi tính bụng: Nốt giảm tỷ trọng nhu mô gan phải, kích thước 12x14mm, ngấm thuốc kém sau tiêm



Sau 6 chu kỳ điều trị:
Sau điều trị hoá trị kết hợp Pembrolizumab cho thấy: U phổi giảm kích thước, hạch trung thất không còn, chất chỉ điểm khối u CEA, Cyfra 21-1 giảm về giới hạn bình thường, tổn thương di căn gan các nốt nhu mô gan giảm bớt. Bệnh nhân không gặp tác dụng phụ đáng kể nào trong quá trình điều trị.
Đánh giá: Bệnh nhân đáp ứng một phần
Một vài thông tin về sử dụng kháng thể đơn dòng trong điều trị miễn dịch ung thư:
Pembrolizumab là một kháng thể đơn dòng (được ví như một chiếc chìa khóa) kháng lại thụ thể PD-1 có trên tế bào T (được ví như một ổ khóa).
Trên các tế bào ung thư thường có các protein là PD-L1, PD-L2 (cũng được ví như một chiếc chìa khóa), khi bị ung thư thì tế bào ung thư sẽ tự tìm đến các tế bào miễn dịch của cơ thể (như tế bào T) và sẽ kết hợp với tế bào T tại thụ thể PD-1. Một khi PD-L1 của tế bào ung thư kết hợp được với PD-1 của tế bào T thì tế bào T sẽ bị bất hoạt, không còn khả năng phát hiện và tiêu diệt tế bào ung thư. Lúc này tế bào ung thư sẽ vượt qua hàng rào miễn dịch của cơ thể và khối u sẽ phát triển, lan tràn di căn khắp cơ thể…
Vì thế, một khi Pembrolizumab gắn và kết hợp được với PD-1 sẽ làm cho tế bào T không thể kết hợp được với PD-L1 của tế bào khối u. Từ đó làm cho tế bào T được giải phóng hoàn toàn khỏi tế bào ung thư, lúc này tế bào T sẽ nhận diện được tế bào khối u và tiêu diệt trực tiếp tế bào ung thư.
Như vậy, việc sử dụng Pembrolizumab kết hợp với hóa chất trong điều trị bệnh ung thư phổi không tế bào nhỏ đã cho thấy hiệu quả đáp ứng một phần khá tốt trên cả khối u phổi nguyên phát và tổn thương di căn, giúp kéo dài thời gian sống thêm cho người bệnh.
Đối với những bệnh nhân ung thư phổi di căn, giai đoạn cuối (giai đoạn IV) thì trước kia bệnh nhân chỉ kéo dài được một thời gian ngắn. Nhưng nay nhờ sử dụng thuốc ức chế miễn dịch kết hợp với hóa chất thì những bệnh nhân này vẫn còn cơ hội điều trị, đem lại cơ hội sống với chất lượng cuộc sống được đảm bảo là một thông tin đáng mừng cho người bệnh ung thư nói chung và bệnh nhân ung thư phổi nói riêng.
GS.TS. Mai Trọng Khoa, PGS.TS. Phạm Cẩm Phương, BSCKII. Lê Viết Nam, SV. Đào Phương Thúy – Trung tâm Y học hạt nhân và ung bướu, Bệnh Viện Bạch Mai và Đại học Y Dược – Đại học Quốc gia Hà Nội

