Ung thư phổi là một trong những ung thư phổ biến nhất về tỉ lệ mắc, đồng thời cũng là nguyên nhân hàng đầu gây tử vong do ung thư hiện nay ở Việt Nam, cũng như trên phạm vi toàn thế giới. Theo Globocan năm 2020, trên thế giới có 2,206 triệu người mới mắc ung thư phổi và tỷ lệ tử vong cũng đứng hàng thứ nhất với 1,796 triệu người tử vong. Tại Việt Nam ung thư phổi đứng hàng thứ 2 cả về tỷ lệ mới mắc với 26.262 người và tỷ lệ tử vong với 25.272 người.
Tùy theo giai đoạn bệnh, kết quả mô bệnh học và thể trạng của từng bệnh nhân để đưa ra phác đồ điều trị thích hợp. Phác đồ điều trị ung thư phổi thường là sự kết hợp của nhiều phương pháp: phẫu thuật, xạ trị, hóa trị liệu, điều trị đích và liệu pháp miễn dịch. Đối với ung thư phổi không tế bào nhỏ giai đoạn di căn thì điều trị toàn thân giúp cải thiện triệu chứng, kéo dài thời gian sống thêm, nâng cao chất lượng cuộc sống của người bệnh.
Sau đây, chúng tôi trình bày một trường hợp bệnh nhân ung thư phổi giai đoạn muộn có đột biến gen EGFR dương tính được điều trị thành công với phương pháp điều trị nhắm trúng đích.
Họ tên bệnh nhân: Đ. V. T., nam, 56 tuổi
Lí do vào viện: Đau ngực phải
Tiền sử: Khỏe mạnh
Bệnh sử: Trước vào viện 2 tuần bệnh nhân xuất hiện đau ngực phải, khó thở tăng dần khi gắng sức, kèm theo có ho khan, ăn uống kém, gầy sút 2kg. Bệnh nhân đi khám được chụp phim Xquang ngực có hình ảnh tràn dịch màng phổi phải. Bệnh nhân được nhập viện vào Trung tâm Y học hạt nhân và ung bướu – Bệnh viện Bạch Mai.
Khám bệnh nhân lúc vào viện:
– Bệnh nhân tỉnh, tiếp xúc tốt, Glasgow 15 điểm.
– Thể trạng: trung bình, chiều cao: 165cm, cân nặng: 54kg.
– Mạch: 80chu kì/phút; Huyết áp: 120/70mmHg; Nhiệt độ 37độ C.
– Đau tức ngực phải, khó thở khi gắng sức
– Hạch ngoại vi không sờ thấy.
– Phổi rì rào phế nang rõ, không rales, hội chứng 3 giảm đáy phổi phải
– Tim đều, không thấy tiếng thổi bất thường.
– Các bộ phận khác: chưa phát hiện bất thường.
Các xét nghiệm cận lâm sàng:
– Xét nghiệm công thức máu, đông máu cơ bản, sinh hóa máu, chức năng gan thận bình thường.
– Xét nghiệm chất chỉ điểm u tăng: CEA: 186,6 ng/ml; Cyfra 21-1: 1,72 ng/ml
– Chụp cắt lớp vi tính lồng ngực: U thùy dưới phổi phải, tràn dịch màng phổi phải


Hình 1: Hình ảnh chụp cắt lớp vi tính lồng ngực
Bệnh nhân được chọc hút dịch màng phổi xét nghiệm cellblock: ung thư biểu mô tuyến di căn nguồn gốc từ phổi.
Xét nghiệm có đột biến gen EGFR trên exon 19, không thấy đột biến T790M
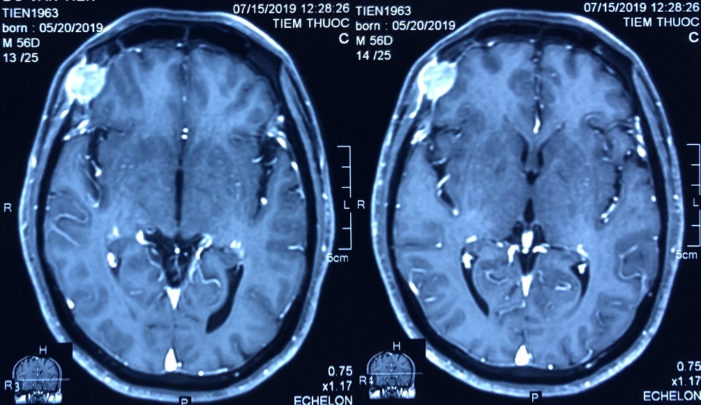
– Chụp cộng hưởng từ sọ não: Tổn thương xương trán phải kích thước 19x18mm, ngấm thuốc mạnh sau tiêm theo dõi tổn thương thứ phát. Không thấy hình ảnh tổn thương thứ phát nhu mô não.

Hình 2: Hình ảnh chụp cộng hưởng từ sọ não: tổn thương thứ phát xương sọ não (vòng tròn vàng)
– Chụp PET/CT với F-18 FDG:
U thùy giữa phổi phải kích thước 23x32mm, tăng hấp thu FDG, max SUV=8,13, xâm lấn màng phổi. Ngoài ra nhu mô phổi phải còn một vài nốt mờ, nốt lớn nhất kích thước 16x10mm, tăng hấp thu FDG, max SUV=4,37.
Dày lan tỏa màng phổi phải, tăng hấp thu FDG, max SUV=5,43. Tràn dịch màng phổi phải dày 38mm.
Nhiều hạch trung thất, hạch nách, kích thước lớn nhất 15x13mm, tăng hấp thu FDG, max SUV=4,75.
Tổn thương xương đa ổ: xương sườn 2 bên, các đốt sống, xương cùng S1, xương chậu hai bên, xương đùi phải, max SUV=9,79.




Hình 3: Hình ảnh chụp PET/CT: u phổi phải di căn hạch, màng phổi, di căn xương đa ổ
Chẩn đoán xác định: Ung thư biểu mô tuyến phổi phải di căn hạch, màng phổi, xương đa ổ.
Giai đoạn: T4N3M1, giai đoạn IV
Điều trị: Afatinib 40mg uống hàng ngày.
Sau điều trị 1 tuần bệnh nhân xuất hiện đi ngoài phân lỏng 3-5 lần ngày. Bệnh nhân được sử dụng thuốc loperamide 4mg x 4 viên/ngày, kết hợp giảm liều thuốc điều trị afatinib xuống 30mg/ngày. Sau 3 ngày bệnh nhân ổn định, hết đi ngoài phân lỏng và bệnh nhân được tiếp tục được sử dụng liều điều trị 30mg/ngày.
Đánh giá sau điều trị 3 tháng:
– Lâm sàng: Bệnh nhân ổn định, hết đau ngực, không khó thở, không xuất hiện các tác dụng phụ ảnh hưởng đến điều trị.
– Xét nghiệm chất chỉ điểm u:

– Hình ảnh chụp cắt lớp vi tính sau điều trị: Nốt thùy giữa phổi phải kích thước 14x11mm, bờ tua gai, không thấy tổn thương hình mờ dạng lưới, nốt. Không thấy dày màng phổi bất thường, không có dịch màng phổi 2 bên.
Kết quả: Đánh giá sau điều trị 3 tháng điều trị afatinib 30mg/ngày bệnh đáp ứng một phần, dung nạp thuốc tốt, không xảy ra tác dụng phụ ảnh hưởng tới điều trị. Sau đó bệnh nhân tiếp tục được điều trị tiếp afatinib 30mg/ngày.
GS.TS Mai Trọng Khoa, PGS.TS Phạm Cẩm Phương, BS. Lê Viết Nam
Trung tâm Y học hạt nhân và ung bướu – Bệnh viện Bạch Mai

