Ung thư biểu mô tế bào gan (UTBMTBG) là bệnh lý ác tính của gan. Tại Việt Nam, theo GLOBOCAN 2020, UTBMTBG là bệnh ung thư có tỉ lệ mắc mới hàng năm cao nhất với 26.418 trường hợp và đặc biệt tỷ lệ tử vong do căn bệnh này gần tương đương số người mắc bệnh với 25.272 ca. Nguyên nhân UTBMTBG liên quan với viêm gan virus B, C, xơ gan do rượu, nhiễm độc tố aflatoxin,…
Hiện nay có nhiều phương pháp điều trị UTBMTBG như phẫu thuật (cắt phần gan mang u, gép gan), phá hủy khối u tại chỗ (đốt sóng cao tần – RFA, MW, tiêm cồn), điều trị tại vùng (tắc mạch hóa dầu TACE…), điều trị toàn thân (hóa trị, thuốc điều trị đích phân tử nhỏ-TKI, liệu pháp miễn dịch). Tùy giai đoạn bệnh và tình trạng bệnh nhân mà lựa chọn phương pháp thích hợp.
Xạ trị trong chọn lọc (Selective Internal Radiation Therapy: SIRT) điều trị ung thư gan là phương pháp đưa các hạt vi cầu gắn đồng vị phóng xạ Y-90 chọn lọc vào động mạch nuôi khối u ác tính trong gan. Các hạt vi cầu Y-90 đi vào nhánh động mạch nhỏ trong khắp khối u gây tắc mạch đồng thời Y-90 phát ra bức xạ beta tiêu diệt tế bào ung thư. Như vậy, khối u sẽ bị tác dụng bởi 2 cơ chế: tắc mạch và xạ trị trong. Phương pháp xạ trị trong chọn lọc này là cơ hội cho bệnh nhân ung thư gan nguyên phát đã thất bại với các phương pháp điều trị khác như tái phát sau phẫu thuật, nút mạch, đốt sóng cao tần…, đặc biệt những bệnh nhân không phẫu thuật được, từ chối phẫu thuật, xâm lấn mạch máu. Từ năm 2013, kỹ thuật này đã được áp dụng điều trị cho bệnh nhân UTBMTBG tại Bệnh viện Bạch Mai và cho thấy đây là phương pháp điều trị an toàn, hiệu quả.
Sau đây, chúng tôi xin giới thiệu ca lâm sàng bệnh nhân ung thư biểu mô tế bào gan được điều trị thành công bằng kỹ thuật xạ trị trong chọn lọc (SIRT):
Họ tên : Đ. H. K. , nam, 64 tuổi.
Nghề nghiệp: tự do
Ngày vào viện: 31/10/2019
Lý do vào viện: Đau bụng âm ỉ vùng hạ sườn phải
Bệnh sử: Cách vào viện 1 tháng bệnh nhân đau bụng âm ỉ hạ sườn phải, không nôn, không sốt, không vàng da, không khó thở à nhập viện Trung tâm Y học hạt nhân và Ung bướu – Bệnh viện Bạch Mai.
Tiền sử: viêm gan B phát hiện cách đây 20 năm, chưa điều trị kháng virus.
Khám vào viện:
– Bệnh nhân tỉnh, tiếp xúc tốt.
– Thể trạng gầy, cao 161, nặng 59kg, PS: 0
– Da niêm mạc hồng, không phù, không xuất huyết dưới da, sao mạch (-).
– Tim đều, 75 chu kỳ/ phút, T1T2 rõ. Huyết áp: 130/80 mmHg.
– Phổi rì rào phế nang rõ, không ran.
– Bụng mềm, không chướng, gan lách không sờ thấy.
Cận lâm sàng:
– Công thức máu: Hồng cầu 4,61 T/l, Bạch cầu: 5,25 G/l, Tiểu cầu: 219 G/l (trong giới hạn bình thường).
– Sinh hóa máu: GOT: 29 U/L, GPT: 30 U/L, Billirubin toàn phần 14,8 µmol/l, Albumin 41,2 g/L (trong giới hạn bình thường).
AFP toàn phần: 5,2 ng/ml (trong giới hạn bình thường);
AFP – L3: <0,5 % (trong giới hạn bình thường); PIVKA-II: 3710 mAU/ml (tăng).
– Đông máu: PT-INR: 1,08
– Vi sinh: HBsAg: (+), anti HCV: (-), HIV: (-)
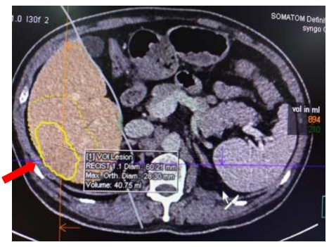
– Chụp MSCT ổ bụng: Hình ảnh u gan hạ phân thuỳ VI, kích thước 2,5×3,5cm, tính chất HCC (ung thư biểu mô tế bào gan). Cạnh khối có vùng ngấm thuốc kém trong cùng hạ phân thuỳ VI. Tĩnh mạch cửa đường kính 15mm, không có huyết khối.

Hình 1: hình ảnh khối u gan hạ phân thuỳ VI, kích thước 2,5×3,5cm, tính chất HCC (mũi tên màu đỏ)
– Nội soi dạ dày: viêm dạ dày
– Bệnh nhân được sinh thiết u gan à Giải phẫu bệnh: Ung thư biểu mô tế bào gan
Chẩn đoán xác định: Ung thư gan nguyên phát giai đoạn BCLC B/Viêm gan virus B/ Child pugh A5.
Điều trị:
Bệnh nhân được hội chẩn hội đồng chuyên môn, được chỉ định điều trị bằng kỹ thuật xạ trị trong chọn lọc (SIRT) bằng hạt vi cầu phóng xạ gắn Y-90 kết hợp điều trị viêm gan virus B bằng thuốc Tenofovir 300mg/ngày.

Hình 2. MSCT bụng: Đánh giá khối u (tính chất, số lượng, vị trí), mạch máu nuôi u gan, đánh giá tình trạng xâm lấn mạch máu, di căn ngoài gan, tính thể tích khối u, thể tích các thuỳ gan, toàn gan.
– Thể tích gan trái: 210 ml
– Thể tích gan phải: 894 ml
– Thể tích toàn bộ gan: 1104 ml
– Thể tích khối u: 40,75 ml
– Tỉ lệ u/gan: 0,037

Hình 3: Chụp mạch máu gan, u gan

Hình 4: Hình ảnh chụp SPECT với 99mTc-MAA, đo các số xung phóng xạ, đánh giá Shunt (luồng thông) gan – phổi, tính liều phóng xạ
– Tổng số xung ở phổi: 57.281
– Tổng số xung ở gan: 1.757.066
– Tổng số xung khối u: 1.373.448
– Shunt gan – phổi = 3,2%
– Tỷ số T/N= 10,6
(Nếu shunt gan-phổi >10% cần giảm liều Yttrium-90 và nếu >20% thì không chỉ định điều trị tắc mạch xạ trị với Yttrium-90).
Tính liều điều trị:
– Liều phóng xạ (các hạt vi cầu SIR-spheres) để điều trị được tính theo công thức SMAC (SIR-spheres microspheres activity calculator):
A = [(BSA – 0,2) + Vu/Vgan điều trị]x(Vgan điều trị/Vtoàn gan)
– Liều Y-90 = 1,3 GBq
– Liều vào u: 216,27 Gy
– Liều vào gan lành: 20,40 Gy
– Liều vào phổi: 2,58 Gy
Sau điều trị, bệnh nhân không gặp biến chứng như sốt, nôn, đau bụng, viêm phổi, … nên được ra viện ngay ngày hôm sau. Sau đó, bệnh nhân được tái khám định kỳ.
Đánh giá sau điều trị:
– Lâm sàng: sau điều trị bệnh nhân không đau bụng, không ho, không khó thở, không nôn, ăn ngủ tốt, tăng 2 kg.
– Các chỉ số sinh hóa:

Nhận xét: Các chỉ số dấu ấn ung thư AFP, AFP-L3 và men gan GOT, GPT trước và sau điều trị đều trong giá trị bình thường. Chỉ số PIVKA II trước điều trị tăng cao là 3710 mAU/ml (giá trị bình thường <40 mAU/ml ), tuy nhiên ngay sau điều trị 1 tháng chỉ số giảm về bình thường là 37mAU/ml.
– Đánh giá về hình ảnh:

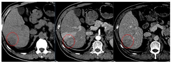
Hình 5: Hình ảnh CT ổ bụng trước điều trị (11/2019): U gan hạ phân thuỳ VI, kích thước 2,5×3,5cm, ngấm thuốc tính chất HCC (vòng tròn đỏ)

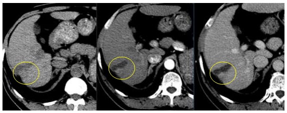
Hình 6: Hình ảnh CT bụng sau 9 tháng: Vùng giảm tỷ trọng hạ phân thùy VI, kích thước 2,6×3,2 cm, không ngấm thuốc (vòng tròn vàng)

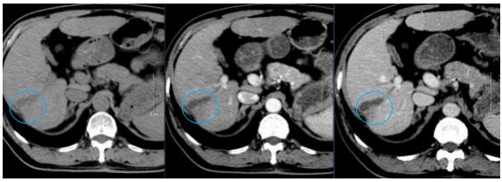
Hình 7: Hình ảnh CT bụng tháng sau 12 tháng: Vùng giảm tỷ trọng hạ phân thùy VI, KT 3,1×1,0cm, không ngấm thuốc, co kéo bờ gan (vòng tròn xanh nhạt)

Hình 8: Hình ảnh CT ổ bụng sau 24 tháng: Vùng giảm tỷ trọng hạ phân thùy VI, KT 3,0×1,0cm, không ngấm thuốc, gây co kéo bờ gan (vòng tròn tím)

Hình 9: Hình ảnh CT ổ bụng sau 36 tháng: Vùng giảm tỷ trọng hạ phân thùy VI, KT 2,9×1,0cm, sau tiêm không ngấm thuốc, co kéo bờ gan (vòng tròn xanh đậm)
Nhận xét: Trước điều trị khối u ngấm thuốc điển hình của HCC (hình 5), tuy nhiên sau điều trị ở thời điểm 9 tháng trở đi khối u giảm về kích thước, không ngấm thuốc sau tiêm nên đạt được bệnh đáp ứng hoàn toàn theo tiêu chuẩn mRECIST (hình 6,7,8,9).
Bàn luận:
Theo khuyến cáo, trong xạ trị ung thư gan, liều bức xạ đối với nhu mô của gan bình thường không nên vượt quá 70Gy ở các bệnh nhân có gan bình thường và 50Gy ở các bệnh nhân bị xơ gan. Liều đối với phổi không vượt quá 25Gy và tốt nhất là ít hơn 20Gy. Liều mà khối u nhận được không có giới hạn trên. Với liều phóng xạ vào u gan >120Gy sẽ tăng tỷ lệ đáp ứng của khối u cũng như tăng thời gian sống thêm.
Ở bệnh nhân trên, liều bức xạ đưa vào khối u đạt đến 216,27 Gy, trong khi đó liều bức xạ vào gan lành: 20,4 Gy, vào phổi: 2,58 Gy. Như vậy đã đưa được liều phóng xạ rất cao vào đích điều trị là khối u gan, trong khi đó liều phóng xạ thấp tại tổ chức lành cần bảo vệ, từ đó đem lại thời gian đáp ứng bệnh ổn định lâu dài, tránh được các tác dụng không mong muốn.
GS.TS. Mai Trọng Khoa, Ths. Lê Quang Hiển, PGS.TS Phạm Cẩm Phương, PGS.TS. Trần Đình Hà, TS. Phạm Văn Thái, Trung tâm YHHN&UB, BV Bạch Mai

