Các tế bào ung thư có khả năng trốn tránh được sự phát hiện và kiểm soát của những tế bào miễn dịch trong cơ thể vì thế chúng không bị phát hiện và hệ miễn dịch không tiêu diệt được. Liệu pháp miễn dịch trong điều trị ung thư giúp chống lại cơ chế này của khối u bằng cách đánh dấu tế bào ung thư, kích thích hệ thống miễn dịch của cơ thể nhận ra và tấn công các tế bào ung thư. Từ đó, làm ngừng hoặc làm chậm sự phát triển của tế bào ung thư, ngăn tế bào ung thư lan rộng sang các cơ quan khác trong cơ thể và cải thiện hệ thống miễn dịch giúp tiêu diệt tế bào ung thư hiệu quả hơn.
Liệu pháp miễn dịch là một trong những phát minh quan trọng của nền y học thế giới trong việc điều trị ung thư. Đây cũng chính là phương pháp sử dụng thuốc giúp hệ miễn dịch phát hiện và tiêu diệt các tế bào ung thư. Dưới đây là trường hợp bệnh nhân ung thư phổi không tế bào nhỏ được điều trị bằng liệu pháp miễn dịch
Họ tên: N.V.P (nam, 50 tuổi)
Ngày vào viện: 8/2020
Lí do vào viện: Ho nhiều, đau tức ngực, khó thở
Tiền sử: Hút thuốc lá 25 năm, đã bỏ 5 năm
Bệnh sử: Bệnh nhân xuất hiện khó thở tăng dần, đau tức ngực, ho khạc đờm đục, thỉnh thoảng có sốt dao động 38,5 đến 39 độ. Đi khám tại bệnh viện huyện được chụp X-Quang ngực phát hiện đám mờ thùy trên phổi phải. Bệnh nhân được chuyển Trung tâm Y học hạt nhân và Ung bướu, Bệnh viện Bạch Mai điều trị tiếp.
Khám toàn thân lúc vào viện:
– Bệnh nhân tỉnh táo, tiếp xúc tốt
– Thể trạng gầy, cao: 168cm, nặng:60kg
– PS: 1
– Mạch: 80l/phút, Huyết Áp: 110/70mmHg
– Hạch ngoại vi không sờ thấy
Các xét nghiệm cận lâm sàng:
– Xét nghiệm: công thức máu, chức năng gan thận, điện giải đồ bình thường, HIV (-), HBsAg (-).
– Xét nghiệm chất chỉ điểm u: CEA : 435ng/ml; Cyfra21-1: 23ng/ml
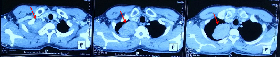
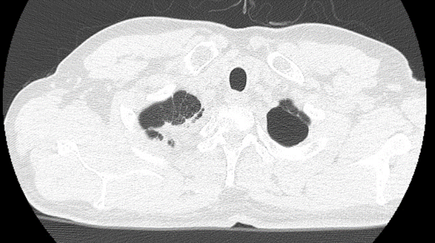
– Chụp cắt lớp vi tính lồng ngực:


Hình 1: Hình ảnh chụp cắt lớp vi tính lồng ngực: Hình ảnh khối u thùy trên phổi phải kích thước 5x6cm, hạch trung thất, rải rác tổn thương thứ phát hai phổi (Mũi tên màu đỏ).
Chụp cắt lớp vi tính ổ bụng:

Hình 2: Hình ảnh chụp cắt lớp vi tính ổ bụng chưa phát hiện tổn thương thứ phát.
Chụp cộng hưởng từ sọ não:

Hình 3: Chụp cộng hưởng từ sọ não: Chưa phát hiện tổn thương thứ phát.
Xạ hình xương:

Hình 4: Hình ảnh xạ hình xương chưa phát hiện tổn thương thứ phát trên hệ thống xương.
Bệnh nhân được sinh thiết khối u phổi phải xuyên thành ngực. Kết quả sinh thiết: Ung thư biểu mô tuyến.
Xét nghiệm sinh học phân tử: EGFR âm tính, ALK âm tính.
PD-L1: Âm tính.
Chẩn đoán xác định:
Ung thư phổi phải di căn phổi T3N2M1a. Giải phẫu bệnh: ung thư biểu mô tuyến, EGFR âm tính, ALK âm tính, PD-L1 âm tính.
Điều trị:
Hóa trị kết hợp liệu pháp miễn dịch
-Pembrolizumab 200mg truyền tĩnh mạch ngày 1
-Pemetrexed 500mg/m2 da truyền tĩnh mạch ngày 1
-Carboplatin AUC 6 truyền tĩnh mạch ngày 1.
Đánh giá sau điều trị:
Lâm sàng:
– Sau 3 tháng bệnh nhân đỡ khó thở, đỡ đau đầu, cải thiện triệu chứng tiểu khó.
– Sau 9 tháng bệnh hết khó thở, không ho, không đau tức ngực, tăng 3kg, hết tiểu khó
– Xét nghiệm chất chỉ điểm u:

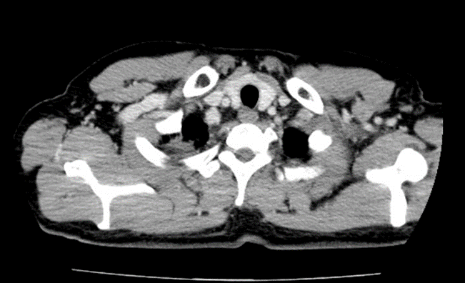
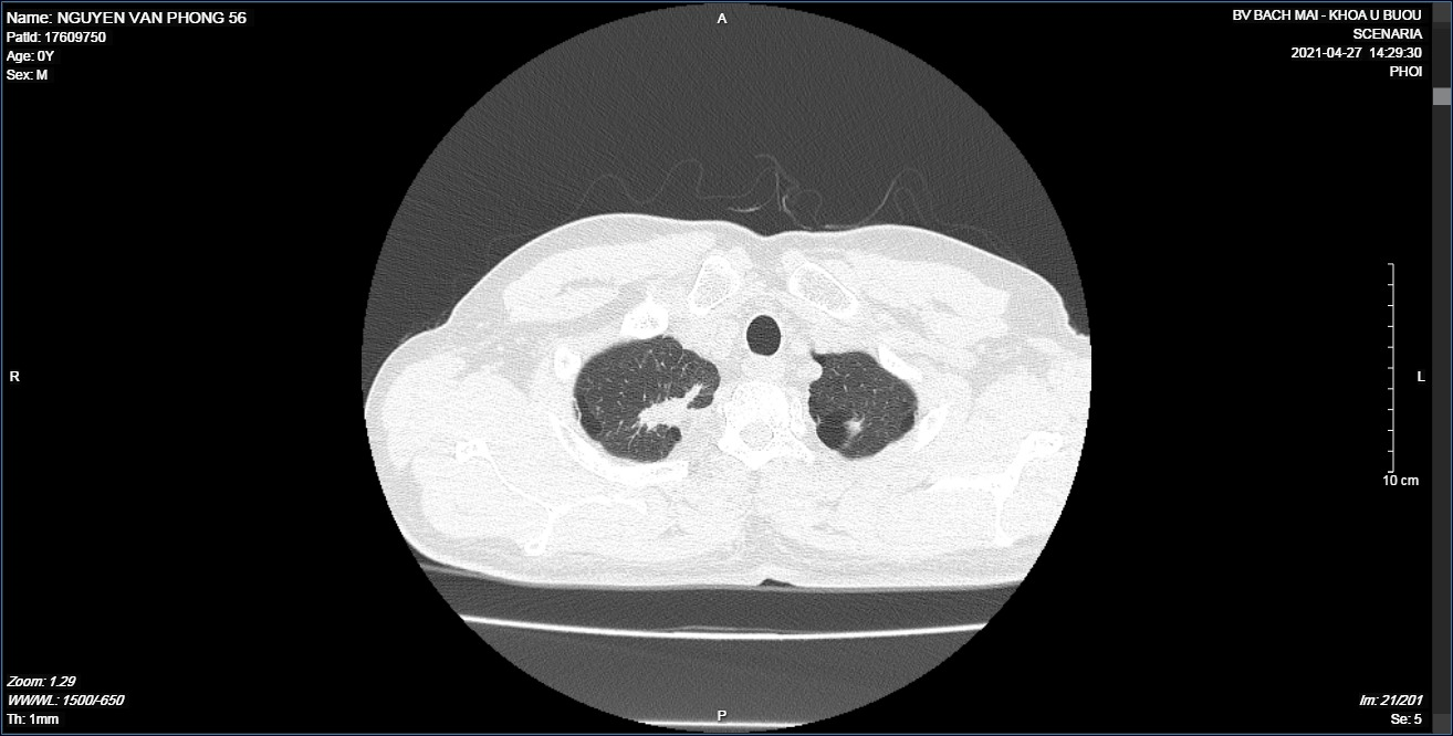
Chụp cắt lớp vi tính lồng ngực sau điều trị: Hình ảnh khối u thùy trên phổi phải kích thước 3×2 cm



So sánh trước và sau điều trị:

Trước điều trị: Hình ảnh khối u thùy trên phổi phải kích thước 5x6cm

Sau điều trị 6 tháng: Hình ảnh khối u thùy trên phổi phải kích thước 3×2 cm
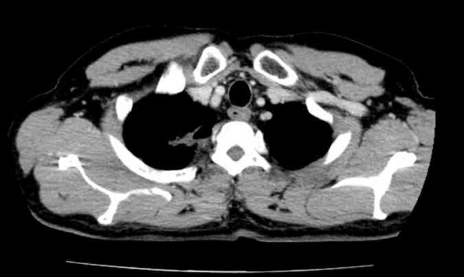
Sau điều trị 9 tháng:
![]() |
![]() |
![]() |
![]() |
Hình ảnh khối u thùy trên phổi phải kích thước 1×2 cm.
Bệnh nhân được tiếp tục duy trì phác đồ Pembrolizumab kết hợp Pemetrexed. Đánh giá lại sau mỗi 3 tháng.
Trong quá trình điều trị bệnh nhân xuất hiện một số tác dụng phụ: nôn, mệt mỏi, chán ăn. Không ghi nhận các tác dụng phụ liên quan đến hệ tạo huyết cũng như hệ miễn dịch.
GS.TS.Mai Trọng Khoa, PGS.TS.Phạm Cẩm Phương, BS. Võ Thị Huyền Trang, Trung tâm Y học hạt nhân và Ung bướu – BV Bạch Mai





