Tại Việt Nam, ung thư đại trực tràng đứng hàng thứ năm trong các bệnh ung thư. Một số yếu tố nguy cơ gây bệnh ung thư đại trực tràng như: chế độ ăn ít rau, nhiều chất béo, mắc các bệnh lý đại – trực tràng: viêm loét mạn tính, polyp, bệnh Crohn, bệnh đa polyp đại trực tràng…
Trong các loại ung thư đường tiêu hoá thì ung thư đại trực tràng là loại ung thư có liên quan chặt chẽ với các yếu tố nguy cơ gây bệnh cũng như các yếu tố di truyền. Bệnh nếu được chẩn đoán sớm thì tiên lượng tốt, có thể khỏi bệnh hoàn toàn, do vậy việc sàng lọc, chẩn đoán sớm đóng vai trò quan trọng. Chẩn đoán xác định dựa vào các triệu chứng lâm sàng, cận lâm sàng. Khi bệnh ở giai đoạn sớm phương pháp điều trị chủ yếu là phẫu thuật. Các phương pháp: hóa trị, điều trị đích trong bệnh ung thư đại trực tràng thường được chỉ định khi bệnh đã ở giai đoạn muộn, đã có di căn xa. Việc sử dụng các thuốc điều trị đích (các thuốc chống tăng sinh mạch, kháng thể đơn dòng như: Bevacizumab, Cetuximab…) kết hợp với hóa trị cho các bệnh nhân ung thư đại trực tràng giai đoạn di căn (bước 1, bước 2) đã giúp tăng thời gian sống và chất lượng sống cho người bệnh.
Sau đây chúng tôi xin giới thiệu 1 trường hợp bệnh nhân ung thư đại tràng sigma di căn phổi, gan đa ổ đã được điều trị hiệu quả bằng hóa trị kết hợp với thuốc kháng thể đơn dòng Cetuximab.
Bệnh cảnh:
- Họ tên BN: L.T.D, nam 68 tuổi
- Địa chỉ: Hà Nội
- Nghề nghiệp: Hưu trí
- Lý do vào viện: Đau bụng
Bệnh sử: Bệnh diễn biến trước ngày vào viện khoảng 3 tháng, bệnh nhân đau bụng vùng hố chậu trái, thỉnh thoảng rối loạn tiêu hóa (lúc lỏng, lúc táo), mệt mỏi, ăn kém, gầy sút 5 kg/3 tháng. Bệnh nhân vào Trung tâm Y học hạt nhân và Ung bướu, Bệnh viện Bạch Mai để khám bệnh và điều trị.
Tiền sử:
- Tiền sử bản thân: khỏe mạnh.
- Không có tiền sử dị ứng
- Không hút thuốc lá.
- Tiền sử gia đình: không ai bị ung thư.
Khám lúc vào viện:
- Tỉnh, thể trạng gầy, cao 165cm, nặng 50kg
- Không phù, không xuất huyết dưới da
- Hạch ngoại vi không sờ thấy
- Bụng mềm, không thấy khối bất thường.
- Tim: Nhịp đều 80 chu kì/phút, không có tiếng thổi bệnh lý
- Phổi: Rì rào phế nang rõ, không có rale
- Các cơ quan bộ phận khác chưa có gì đặc biệt
Xét nghiệm cơ bản lúc vào viện:
- Công thức máu: bình thường.
- Sinh hóa máu: chức năng gan, chức năng thận trong giới hạn bình thường.
- Chất chỉ điểm ung thư (Tumor markers): CEA tăng cao: 57,56 (ng/ml), CA 19-9: 21,4 (ng/ml)
- Vi sinh: HbsAg (-), HCV (-)
- Đông máu cơ bản: bình thường
Nội soi đại trực tràng: Khối u sùi loét vùng đại tràng sigma gây hẹp lòng đại tràng, máy soi vẫn đi qua được.
Sinh thiết tổn thương làm mô bệnh học: Ung thư biểu mô tuyến biệt hóa vừa.
Chụp cắt lớp vi tính ổ bụng: Hình ảnh khối nhu mô gan hạ phân thùy V gan phải kích thước 25×36 mm, sau tiêm ngấm thuốc. U đại tràng sigma kèm hạch vùng lân cận

Hình 1: Hình ảnh khối nhu mô gan hạ phân thùy V gan phải kích thước 25×36 mm, sau tiêm ngấm thuốc (vòng tròn đỏ)
Chụp cắt lớp lồng ngực: không thấy tổn thương thứ phát
Chụp cộng hưởng từ sọ não: không thấy hình ảnh bất thường.
Xạ hình xương: tổn thương xương đòn phải (do chấn thương), viêm gót chân phải.
Xét nghiệm gen: KRAS (-), BRAF (-), NRAS (-).
Tóm tắt thông tin bệnh nhân:
- Bệnh nhân nam, 68 tuổi, vào viện vì đau bụng
- Chẩn đoán xác định: Ung thư đại tràng sigma di căn gan (giai đoạn IV).
- Mô bệnh học: Ung thư biểu mô tuyến biệt hóa vừa. Xét nghiệm gen KRAS (-), BRAF (-), NRAS (-).
- Hội chẩn hội đồng chuyên môn: bệnh nhân có chỉ định phẫu thuật triệt căn (phẫu thuật cắt đoạn đại tràng Sigma và nhân di căn gan), sau đó điều trị bổ trợ sau phẫu thuật. Tuy nhiên, gia đình và bệnh nhân không đồng ý phẫu thuật. Vì vậy, chúng tôi đã lựa chọn phương án: Liệu pháp toàn thân kết hợp với đốt sóng cao tần nhân di căn gan.
- Hóa chất toàn thân: phác đồ FOLFOX-4 kết hợp CETUXIMAB với liều lượng như sau:
+ Oxaliplatin 85mg/m2, truyền tĩnh mạch, ngày 1
+ 5 – FU 400 mg/m2, truyền tĩnh mạch ngày 1
+ 5- FU 600 mg/m2, truyền tĩnh mạch ngày 1, 2
+ Leucovorin 200 mg/m2, truyền tĩnh mạch ngày 1, 2
+ Cetuximab 500 mg/m2, truyền tĩnh mạch ngày 1
Chu kỳ điều trị 2 tuần.
ĐÁNH GIÁ KẾT QUẢ ĐIỀU TRỊ SAU 6 CHU KỲ HÓA CHẤT.
Lâm sàng
- Bệnh nhân tỉnh
- Thể trạng tốt, tăng 2kg
- Sinh hoạt bình thường
- Không đau bụng.
- Không còn rối loạn tiêu hóa.
Công thức máu: trong giới hạn bình thường, không còn thiếu máu
Hóa sinh máu: chức năng gan, thận trong giới hạn bình thường
Chất chỉ điểm u: giảm rõ rệt và nằm trong giới hạn bình thường với: CEA: 3,02 ng/ml (trước điều trị CEA là 56,57 ng/ml).
Nội soi đại trực tràng: có khối u sùi đại tràng Sigma, máy soi đi qua được.
Chụp CT ổ bụng: Hình ảnh khối giảm tỉ trọng gan hạ phân thùy V kích thước 25×30 mm, không ngấm thuốc sau tiêm.

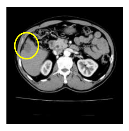
Hình 2: Hình ảnh chụp cắt lớp vi tính ổ bụng không thấy tổn thương di căn gan (vòng tròn vàng).
Điều trị tiếp theo:
+ Bệnh nhân được phẫu thuật cắt đoạn đại tràng Sigma, lập lại lưu thông tiêu hóa.
+ Điều trị hóa chất phác đồ FOLFOX kết hợp CETUXIMAB đủ 12 chu kỳ (chu kỳ 2 tuần)
+ Sau đó bệnh nhân được điều trị duy trì với Capecitabine đơn chất.
+ Khám định kỳ theo hẹn bệnh ổn định, không thấy tổn thương tái phát di căn, tổn thương gan giảm kích thước và không ngấm thuốc đối quang từ.

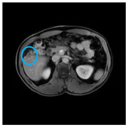
Hình 3. Hình ảnh khối gan phải hạ phân thùy V kích thước 19×14 mm, không ngấm thuốc sau tiêm (vòng tròn xanh).
Kết luận:
- Bệnh đáp ứng hoàn toàn.
- Các triệu chứng lâm sàng được cải thiện tốt.
- FOLFOX-4 kết hợp CETUXIMAB là phác đồ có hiệu quả trong điều trị ung thư đại tràng bên trái giai đoạn di căn có KRAS, BRAF và NRAS hoang dại (không đột biến)
- Phác đồ đã giúp kéo dài thời gian sống thêm không tiến triển, sống thêm toàn bộ cho người bệnh.
- Đốt sóng cao tần nhân di căn gan có thể là phương pháp điều trị thay thế phẫu thuật đối với bệnh nhân không đồng ý phẫu thuật hoặc không đủ điều kiện phẫu thuật.
GS.TS. Mai Trọng Khoa, BSCK II Nguyễn Đức Luân, PGS.TS. Phạm Cẩm Phương – Trung tâm YHHN & Ung bướu

