Ung thư phổi (UTP) là bệnh lý ác tính rất phổ biến đứng thứ 2 về số ca mắc mới (theo GLOBOCAN 2020) và là bệnh ung thư có tỉ lệ di căn não cao nhất hiện nay. Theo một số nghiên cứu chỉ ra rằng, bệnh nhân UTP không tế bào nhỏ (UTPKTBN) đột biến gen EGFR có tần suất di căn não cao hơn từ 1,6-2,4 lần bệnh nhân không có đột biến. Thuốc ức chế enzym tyrosine kinases (TKIs) thế hệ thứ 2 Afatinib giúp cải thiện tỷ lệ đáp ứng khách quan (ORR) và kiểm soát bệnh (DCR) trên bệnh nhân UTP di căn não vượt trội hơn so với hóa trị trong nghiên cứu Lux-lung 3 (70% so với 20%) và Lux-lung 6 (75% so với 28%). Thời gian sống thêm bệnh không tiến triển (PFS) cũng được cải thiện đáng kể so với hóa trị trong phân tích gộp 2 nghiên cứu Lux-lung 3 và 6 (Median PFS 8,2 so với 5,4 tháng, HR 0,50 (0,27-0,95, p< 0,03), giảm 50% nguy cơ bệnh tiến triển.
Sau đây, chúng tôi xin chia sẻ một trường hợp UTPKTBN có di căn não điều trị hiệu quả bằng Afatinib tại Trung tâm Y học hạt nhân và Ung bướu Bệnh viện Bạch Mai:
Bệnh nhân: H.V.H, 43 tuổi.
Ngày vào viện: 30/11/2021.
Lý do vào viện: Ho khan, đau tức ngực.
Bệnh sử: Bệnh nhân ho khan và đau tức ngực trái khoảng 1 tháng trước khi vào viện, đi khám chụp CT ngực phát hiện khối u thuỳ trên phổi trái, người bệnh nhập viện để chẩn đoán và điều trị.
Tiền sử: Khỏe mạnh
Khám lâm sàng
- Bệnh nhân tỉnh, tiếp xúc được
- Đau ngực trái
- Không đau đầu, không co giật, không liệt vận động
- Ho khan ít, không khó thở
- Phổi không rale, thông khí đều 2 bên
- Không sờ thấy hạch ngoại vi
- Mạch: 80 lần/phút; HA: 130/80mmHg
Cận lâm sàng
- Công thức máu: trong giới hạn bình thường
- Sinh hoá máu: chức năng gan thận bình thường, CEA=18,32 ng/ml; Cyfra 21-1=3,36 ng/ml.
Chẩn đoán hình ảnh
- Cắt lớp vi tính ổ bụng:Không thấy tổn thương di căn
- Mô bệnh học: Ung thư biểu mô tuyến
- Sinh học phân tử:đột biến xoá đoạn trên Exon 19, không có đột biến T790M.
- Không rõ tình trạng bộc lộ PD-L1.
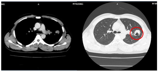
- Cắt lớp vi tính ngực:

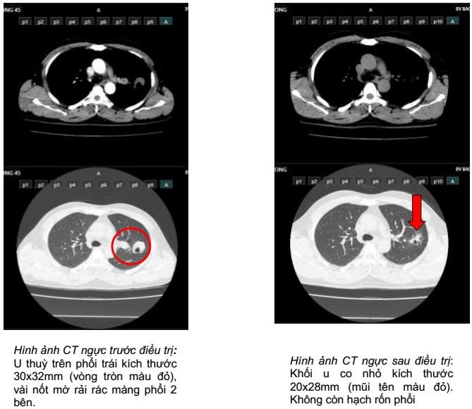
Hình ảnh u thuỳ trên phổi trái, kích thước 30x32mm (vòng tròn màu đỏ), vài nốt mờ rải rác màng phổi 2 bên, hạch trung thất
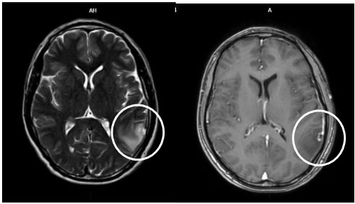
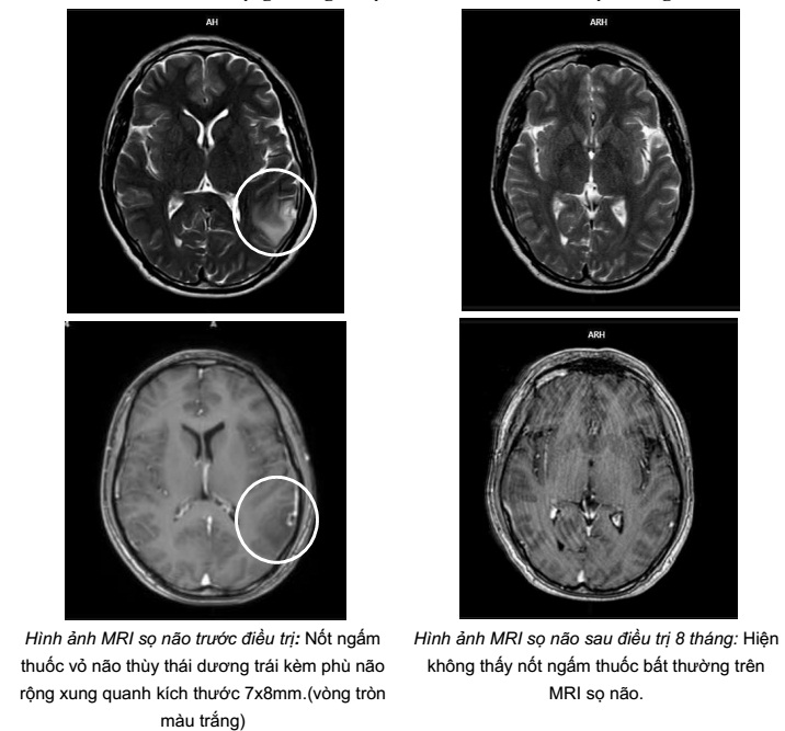
- Cộng hưởng từ sọ não:

Hình ảnh nốt ngấm thuốc vỏ não thùy thái dương trái kèm phù não rộng xung quanh kích thước 7x8mm (vòng tròn màu trắng) do di căn
Chẩn đoán xác định: Ung thư phổi trái, dạng biểu mô tuyến di căn não.
Giai đoạn cT2N1M1b (IVa), có đột biến EGFR, không có bộc lộ PD-L1 .
- Điều trị cụ thể: bệnh nhân được chỉ định điều trị với thuốc điều trị đích thế hệ thứ 2: Afatinib 40mg/ngày
- Tình trạng bệnh nhân sau 9 tháng điều trị:
– Đáp ứng lâm sàng: Người bệnh tỉnh, không còn ho, không đau ngực, không khó thở, hoạt động bình thường.
– Đáp ứng khách quan:
+ Chất chỉ điểm khối u giảm: CEA: 3,39 ng/ml, Cyfra 21=1,84 U/L
+ Các xét nghiệm khác trong giới hạn bình thường
So sánh hình ảnh cắt lớp vi tính ngực trước và sau điều trị 3 tháng


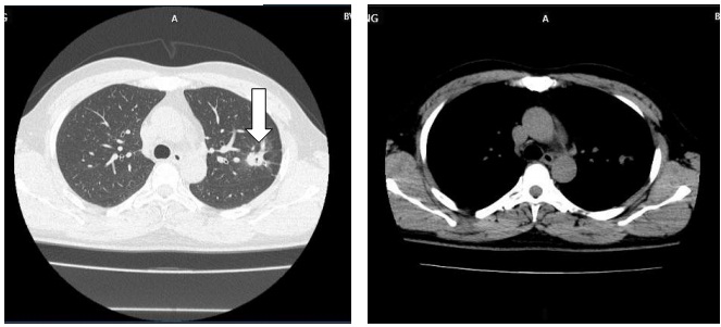
Hình ảnh CT ngực sau 9 tháng điều trị: Khối u phổi phải tiếp tục giảm kích thước 16x19mm (mũi tên màu trắng). Không còn hạch rốn phổi.
So sánh hình ảnh cộng hưởng từ sọ não trước và sau điều trị 8 tháng

Sau 9 tháng điều trị: U phổi giảm kích thước, hạch trung thất không còn, tổn thương di căn não đơn ổ biến mất, chất chỉ điểm khối u CEA, Cyfra 21-1 giảm về giới hạn bình thường. Bệnh nhân không gặp tác dụng phụ đáng kể nào trong quá trình điều trị.
Người bệnh dung nạp thuốc tốt, bệnh đáp ứng một phần.
Hướng điều trị tiếp theo
Tiếp tục điều trị Afatinib 40mg/ngày cho đến khi bệnh tiến triển hoặc không dung nạp được.
Đánh giá đáp ứng mỗi 3 tháng hoặc khi có bất thường tiến triển bệnh.
Như vậy, điều trị thuốc ức chế enzym tyrosine kinase và cụ thể ở đây là Afatinib đã cho thấy hiệu quả đáp ứng tốt trên cả khối u phổi nguyên phát và tổn thương di căn não, giúp kéo dài thời gian sống them cho người bệnh.
GS. TS. Mai Trọng Khoa, TS.BS. Nguyễn Thanh Hùng, PGS. TS. Phạm Cẩm Phương, Trung tâm YHHN&UB – BV Bạch Mai

