Được biên soạn bởi bác sĩ Nguyễn Anh Dũng
Khoa Chấn thương chỉnh hình và Cột sống bệnh viện Bạch Mai
Định nghĩa
Bệnh tạo xương bất toàn (Osteogenesis imperfecta: OI) là bệnh lý đột biến gen dẫn đến rối loạn chuyển hóa mô liên kết biểu hiện là xương dễ gãy đặc biệt là xương dài. Các biểu hiện lâm sàng khác bao gồm: giác mạc ngả màu xanh (blue sclerae), thấp lùn, thiểu sản răng, nghe kém…Các biểu hiện khác có thể gặp nhưng ít ngiêm trọng hơn như: lỏng khớp toàn thân, thoát vị rốn, dễ bầm tím, ra mồ hôi quá mức…

Giải phẫu bệnh
Collagen type I là thành phần chất cơ bản của hệ vận động (gân, xương, dây chằng) được cấu tạo gồm 3 dải: 2 dải alpha1, 1 dải alpha2. Các dải này được tạo thành từ tiền sợi collagen cấu tạo là chuỗi polypeptide. Tiền sợi collagen gồm pro- alpha1 và pro-alpha1 được mã hóa bởi các gen tương ứng COL1A1 nằm trên nhiễm sắc thể 17 và COL1A2 năm trên nhiễm sắc thể 7.
Các nghiên cứu trước đây về gen và rối loạn chuyển hóa collagen chỉ ra 90% bệnh OA là bất thường gen phụ trách chuyển hóa collagen type I. Chẩn đoán bất thường collagen type I có thể dựa vào điện di mẫu da bệnh nhân. Các dạng tổn thương có thể là không có collagen type I (bất thường số lượng) hoặc suy giảm chất lượng. Ở các bệnh nhân mang gen dị hợp tử thì vẫn có tổng hợp collagen type I bình thường nhưng chỉ có 1 gen nên thiếu về số lượng collagen.
Tổn thương cơ bản trong OI là giảm tổng hợp collagen type I chất lượng tốt mà thay vào là collagen kém chất lượng. Các bè xương mỏng và kém định hướng nên chịu lực kém dễ đến dễ gẫy. Giảm matrix nội bào, tăng tế bào xương nhưng thiếu liên kết ngoại bào. Trong khi đó các tế bào hủy xương lại bình thường về hình thái và chức năng, tăng về số lượng dẫn đến giảm mật độ xương.
Các vị trí tạo xương (osteoid) rất nhiều và giàu tế bào hủy xương và tạo xương nên dẫn đến hiện tượng tăng chu chuyển xương nên xương dễ gãy nhưng cũng nhanh liền.
❖ Xương dài: Hay gặp nhất là gãy xương do chấn thương nhẹ, thường gặp nhất là xương chi dưới trong đó xương đùi nhiều hơn xương chày. Có thể gãy xương không do chấn thương. Không có kiểu hình gãy nào là đặc hiệu cho OI. Thường xương gãy liền tốt ít khi tạo khớp giả. Ổ can xương thường mỏng. Gãy đi gãy lại dẫn đến biến dạng trục chi, cứng khớp, hạn chế hoặc mất vận động. Trẻ không lớn được do các vi chấn thương ở sụn tiếp. Tuổi thường hay bị gãy xương nhất là sau khi dậy thì và có thể kéo dài đến khi mãn kinh ở các trẻ gái. Biến dạng cong xương dài là do lặp đi lặp lại các đường gãy ngang và sự co kéo các cơ qua ổ gãy thân xương. Thường thì xương đùi sẽ cong ra phía trước ngoài, xương chày cong phía trước trong, xương cánh tay cong ra trước ngoài, xương cẳng tay hạn chế sấp và gập góc đầu gần. Khớp khuỷu hạn chế động tác gấp.

❖ Xương dẹt: Kiểu hình mặt của bệnh tạo xương bất toàn được mô tả như người đội mũ bảo hiểm (helmet head) với xương trán thì nhô ra trước, tai thì xuống dưới và ra ngoài… Khung chậu thì nhô ra trước.
❖ Cột sống: Đốt sống thường loãng và hay bị xẹp, lỏng các phức hợp dây chằng dẫn đến các biến dạng như vẹo, gù. Vẹo cột sống gặp khoảng 20 – 40% bệnh nhân, thường gặp đoạn cột sống ngực Một số bệnh nhân sẽ có trượt đốt sống tiến triển. Cột sống cổ có thể gãy hoặc mất vững nhưng hiếm, nhưng nếu biểu hiện có thể gây biến dạng cột sống cổ, chèn ép hạnh nhân tiểu não, thiếu sót thần kinh.
❖ Dáng đi: Người lùn thấp do hậu quả của (1) biến dạng chi như gập góc tại ổ gãy của các xương dài (2) chấn thương sụn tiếp. Dáng đi trendelenburg nếu có hiện tượng tăng góc cổ thân xương đùi (coxa vaga, 10%)
❖ Khớp: Hiện lượng lỏng do thiếu về chất lượng các thành phần làm vững (dây chằng, gân cơ). Có thể trật khớp háng, bánh chè đùi, khớp khuỷu…, thường thì khớp bánh chè đùi hay bị trật lại. Trật háng tiến triển có thể xảy ra vì vậy ở đối tượng này nếu nghi ngờ OI thì phải thăm khám nhẹ nhàng và siêu âm khớp háng nếu cần. Về gân thì thường đứt gân bánh chè, Achilles ở người lớn.
❖ Mô mềm: Cơ thì teo do gãy xương nhiều vị trí và tái diễn. Da thì mỏng, dễ xuất huyết dưới da chính vì vậy các sẹo mổ thường rộng. Củng mạc mắt xanh xuất hiện ở một số type. Da ẩm, hay tiết mồ hôi do tăng chuyển hóa.
❖ Răng: Thường bất thường răng sữa hơn là răng vĩnh viễn biểu hiện màu xanh hoặc ngà, ổ răng nông, giảm mật độ khoáng.


Dịch tễ
Tỉ lệ mắc ở Hoa Kỳ khoảng 1/15.000 trẻ. Tuy nhiên đó là các trường hợp biểu hiện bệnh rõ có thể chẩn đoán được, trong khi đó có rất nhiều thể nhẹ không phát hiện ra nên tỉ lệ mắc thực tế sẽ cao hơn. Tỉ lệ mắc chung trên thế giới cũng tương tự như trên và không có sự khác nhau giữa chủng tộc, giới tính [1].
Tuổi biểu hiện bệnh cũng đa dạng vì dựa vào mức độ nặng của bệnh. Với các thể trung bình thì thậm chí không biểu hiện gì cho tới tận khi trưởng thành bị gãy xương mới phát hiện ra. Các thể nặng thì xương biến dạng nặng dần từ lúc sinh ra, không đi được hoặc thậm chí gãy xương khi là bào thai.
Phân loại
Dựa trên các dấu hiệu lâm sàng, phân loại OI đầu tiên của David Sillence năm 1979. Tác giả này chia bệnh thành bốn loại (loại I đến IV). Phần lớn các trường hợp OI ( 85-90 %) là do đột biến gen mã hõa collagen type I. Phân loại này đã được sử dụng phổi biến; theo thời gian đã bổ sung 4 loại mới (loại V đến VIII). Thậm chí hiện nay phân loại này được bổ xung đến loại XV [2], [3]


Lâm sàng
❖ Hỏi về tiền sử bố mẹ bị OI, nhưng thông thường thì không khai thác được vì thường là đột biến mới.
❖ Bệnh nhân thường đến với triệu chứng của gãy xương do chấn thương nhẹ hoặc biến dạng chi, cột sống tiến triển, trẻ không đi được…
❖ Dấu hiệu khác ít hơn như của chèn ép nền sọ, hạnh nhân tiểu não: đau đầu, buồn nôn, tê chân tay hoặc liệt vận động chi. Dấu hiệu này thường gặp ở type III, IV. Hay đến vì vết thương chậm liền.
Khám:
– Dấu hiệu gãy xương nếu BN đến vì chấn thương.
– Trục chi, biến dạng cột sống, khung chậu, dấu hiệu lỏng khớp nếu trẻ đến khám vì không đi lại được.
– Dấu hiệu trendelenburg nếu tăng góc cổ thân xương đùi.
Xét nghiệm
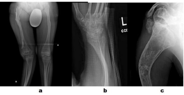
❖ Xquang: phát hiện gãy xương, biến dạng trục chi, các ổ gãy xương cũ. Các đặc điểm khác có thể phát hiện trên Xquang: vỏ xương mỏng, giảm khoáng hóa, xương sọ giống người đội mũ bảo hiểm… Trong trường hợp điển hình thì kết hợp Xquang và tiền sử gãy xương nhiều lần có thể chẩn đoán OI.
Hình 5: (A) Lồng ngực trẻ 5 tháng: nhiều ổ gãy xương đã liền tốt. (B) Lồng ngực trẻ 15 tuổi: Biến dạng, xương sườn mỏng, các xương sườn bên (P) biến dạng nặng, nhiều ổ gãy vẫn chưa liền tốt. (C–G) Các biến dạng chi dưới trên Xquang. (C) Chân, trẻ 5 tháng: hình ảnh giảm mật độ xương, biến dạng cong ở xương dài. (D) Xương đùi cong về phái trước của trẻ 5,5 tuổi. Nhận thấy cổ xương đùi gục quá mức, thân xương vẫn thấy thành xương cứng và thấy 2 ổ cắt xương chỉnh trục vẫn đang trong quá trình sửa chữa. (E) Xương đùi trẻ 8 tuổi: hình ảnh bất thương giống “bắp ngô” do canxi hóa hành xương. (F) Xương cẳng chân chụp trước sau/bên. (G) trẻ 15 tuổi với biến dạng 2 xương cẳng chân, thành xương mỏng, đầu dưới xương chày nhiều ổ gãy chưa liền, đầu trên xương chày canxi hóa. (H–I) Hình ảnh Xquang cột sống, trẻ 15 tuổi: Vẹo cột sống ngực, thấy nhiều đốt sống bị xẹp do lãng xương, cột sống gập góc, (J) Hình ảnh mật độ xương tại cột sống đã cải thiện sau khi điều trị biphosphonate
❖ Các xét nghiệm khác
- Sinh thiết da.
- Sinh thiết tủy xương làm mô bệnh học.
- Xét nghiệm AND.
- Đo mật độ xương: thường loãng xương (nếu trẻ nhỏ phải so sánh với Z–score).
- Đo calcium, phosphate máu và đánh giá chu chuyển xương.
- Chụp MRI nếu nghi nghờ chèn ép nền sọ.
- Khám chuyên khoa mắt và tai mũi họng đếu bất thường về thính lực, thị lực.
Chẩn đoán xác định
Thường dựa vào tiền sử gãy xương và cơ chế chấn thương và hình ảnh Xquang.
Điều trị
❖ OI là bệnh về gen nên không có phương pháp điểu trị hiệu quả.
❖ Mục tiêu điều trị: phòng ngừa, kiểm soát gãy xương, giúp bệnh nhân có thể tự vận động chăm sóc bản thân, tăng khối lượng xương và sức cơ. Điều trị OI phải cá thể hóa dựa vào mức độ của bệnh, tuổi bệnh nhân để đưa ra các phương án điều trị thích hợp.
Điều trị nội khoa
- Điều trị loãng xương bằng biphosphanantes. Giảm triệu chứng đau do vi gãy xương sau 1 – 6 tuần điều trị. Các bằng chứng hiện này không đủ mạnh để khuyến cao dùng biphosphonate thường quy ở các bệnh nhân OI [4]
- Cung cấp đủ dinh dưỡng, bổ sung vitamin D và canxi.
- Phục hồi chức năng, tăng cường sức cơ.
- Thuốc ức chế sinh học (Denosumab), hormone (GH, estrogen), ghép tế bào gốc, điều trị gen đang được áp dụng và đánh giá kết quả.
Điều trị phẫu thuật
Để điều trị (1) gãy xương, (2) biến dạng chi, (3) vẹo cột sống, (4) chèn ép nền sọ.
❖ Điều trị gãy xương
Phòng gãy xương
- Dùng nẹp hỗ trợ chi dưới sớm khi trẻ tập đi để giảm gãy xương và mức độ biến dạng.
- Điều trị nội khoa tích cực.
Điều trị gãy xương
- Điều trị bảo tồn: thường áp dụng trẻ dưới 2 tuổi, các phương pháp bột áp dụng như trẻ không bị OI.
- Điều trị phẫu thuật: Thường áp dụng trẻ trên 2 tuổi.
❖ Điều trị gãy xương dài và các biến dạng
- Mục đích: Tái tạo lại trục chi, giảm số lần gãy lại bằng nhiều đường cắt xương và đóng đinh nội tủy (phẫu thuật Miller).
- Chỉ định: biến dạng nặng, giúp bệnh nhân đi lại được.
- Dụng cụ: Đinh không lồng vào nhau (Rush, Williams), đinh lồng vào nhau giúp đinh tự kéo dài khi trẻ lớn (Sheffied rod, Bailey- Dubow rod, Fassier-Duval rod).
❖ Điều trị vẹo cột sống [5]
- Điều trị khó vì xương loãng và biến dạng thường nặng, tiến triển.
- Điều trị bảo tồn bằng nẹp không hiệu quả giảm vẹo tiến triển vì xương sườn dễ gãy. Một số bệnh nhân có thể cho đeo nẹp cột sống ngực đến xương cùng để cải thiện vận động.
- Điều trị phẫu thuật khi góc Cobb trên 35 độ ở OI thể nặng, Cobb trên 45 độ ở OI thể trung bình.
- Phương pháp: Dùng cấu hình vít nắn chỉnh đi đường sau đa số trường hợp, dùng đường trước với bệnh nhân rất trẻ để tránh hiện tượng trục khuỷu (crankshaft) do nếu hàn phía sau thì phần cột sống phía trước vẫn phát triển ở bệnh nhân trẻ.
- Điều trị phẫu thuật thường khó vì mổ lớn, mất máu nhiều, xương loãng.

❖ Điều trị chèn ép nền sọ [5]
- Chỉ định khi lâm sàng có triệu chứng, tổn thương rõ trên phim MRI cột sống cổ.
- Phương pháp: Thường giải ép và nẹp cổ chẩm (Đường sau)

Kĩ thuật cắt xương chỉnh trục và đặt đinh nội tủy

Các dụng cụ thường được dùng : (A) Đinh Bailey-Dubow; (B) Bailey-Dubow có chốt ngang đầu dưới (C) Đinh Fassier-Duval (D) dual Rush rods: áp dụng với trường hợp trẻ có xương dài ống tủy rộng, hiện nay chưa thấy biến chứng kiểu chồng nhau bên ngoài của đinh Rush
Kĩ thuật cắt xương chỉnh trục và đóng đinh (đinh Fassier-Duval) mổ mở. Các xương còn lại tương tự.

Các bước chính
- Bàn với bác sĩ gây mê về dự tính mất máu trong mổ.
- Xác định chiều dài của đinh trước mổ (C-arm), thường là chiều dài ước tính sau khi cắt xương chỉnh trục.
- Tư thế bệnh nhân: nằm nghiêng với chỉnh trục xương đùi, nằm ngửa với xương chày.
- Bộc lộ: Qua vách gian cơ trước ngoài nhẹ nhàng rạch dọc màng xương sau đó tách màng xương tại vị trí xương bị biến dạng cong
- Tiến hành cắt xương tại đầu trên của đoạn cong (A).
- Doa ổng tủy đầu trên của xương để dễ luồn đinh, sau đó doa ổng tủy đầu dưới. Xương thường có ổng tủy lệch tâm, hẹp nên bắt buộc phải doa qua đoạn hẹp nhất và doa đến số thích hợp.
- Lựa chọng đường kính của đinh (đinh to vừa phải để hạn chế di lệch xoay).
- Đặt đầu trên của đinh qua vị trí cắt vào ống tủy sau đó đóng ngược lên qua hố ngón tay (bờ trong mấu chuyển lớn. Gấp háng bệnh nhân để đầu đinh đi ra da gần mấu chuyển lớn (B).
- Dùng tay cầm đinh cầm đầu đinh từ phía mấu chuyển lớn.
- Tiếp tục cắt các đoạn xương phía dưới, số lượng cắt và góc cắt tùy độ mức độ biến dạng.
- Luồn đinh phía trên qua các đoạn xương đã cắt (C).
- Qua đường vào khớp gối, bộc lộ hõm gian lồi cầu đùi.
- Luồn đầu dưới của đinh của hõm gian lồi cầu đùi (D).
- Luồn 2 đầu đinh lồng nhau.
- Tiếp tục luồn để 2 đầu đinh tiến dần vào nhau (đầu trên ở đỉnh hố ngón tay, đầu dưới quay ngang tại hố gian lồi cầu) (E).
- Đóng màng xương, đóng vết mổ theo lớp.
Biến chứng

- 2 đầu đinh không kéo dài ra được do đinh lồng phía trong bị kéo lên trên khi xương dài ra mà do đầu dưới cố định vào xương dưới sụn chưa tốt.
- Đinh trôi vào mô mềm cũng do đầu dưới cố định chưa tốt vào phân xương dưới sụn.
- Đứt đầu dưới của đinh.
- Đầu đinh đâm thủng thành xương.
- Tiêu xương quanh đinh.
- Gãy xương quanh đinh.
- Các biến chứng khác: không liền, nhiễm trùng.
Hậu phẫu
- Chăm sóc vết thương, giảm đau.
- Tiếp tục điều trị nội khoa tích cực (biphosphonate, dinh dưỡng…).
- Khánh sinh dự phòng o Bột đùi cẳng chân khoảng 2 tháng.
Tài liệu tham khảo
Hearing loss in Finnish adults with osteogenesis imperfecta: a nationwide survey.
Sillence D.O., Senn A., and Danks D.M. (1979). Genetic heterogeneity in osteogenesis imperfecta. J Med Genet, 16(2), 101–116.
Starr S.R., Roberts T.T., and Fischer P.R. (2010). Osteogenesis imperfecta: primary care. Pediatr Rev, 31(8), e54-64.
Rauch F Pamidronate in children and adolescents with osteogenesis imperfecta: effect of treatment discontinuation. accessed: 03/17/2018.
Wallace M.J., Kruse R.W., and Shah S.A. (2017). The Spine in Patients With Osteogenesis Imperfecta:. J Am Acad Orthop Surg, 25(2), 100–109.


